验证数据展示
经过测试的应用
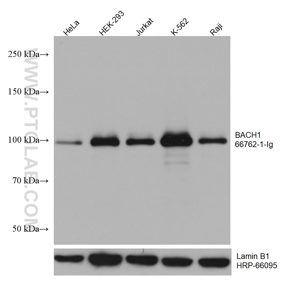
| Positive WB detected in | HeLa cells, HEK-293 cells, HSC-T6 cells, Jurkat cells, K-562 cells, Raji cells |
| Positive IHC detected in | human lung cancer tissue Note: suggested antigen retrieval with TE buffer pH 9.0; (*) Alternatively, antigen retrieval may be performed with citrate buffer pH 6.0 |
推荐稀释比
| 应用 | 推荐稀释比 |
|---|---|
| Western Blot (WB) | WB : 1:1000-1:6000 |
| Immunohistochemistry (IHC) | IHC : 1:50-1:500 |
| It is recommended that this reagent should be titrated in each testing system to obtain optimal results. | |
| Sample-dependent, Check data in validation data gallery. | |
产品信息
66762-1-Ig targets BACH1 in WB, IHC, IF, ChIP, ELISA applications and shows reactivity with human, rat samples.
| 经测试应用 | WB, IHC, ELISA Application Description |
| 文献引用应用 | WB, IHC, IF, ChIP |
| 经测试反应性 | human, rat |
| 文献引用反应性 | human, mouse |
| 免疫原 |
CatNo: Ag6011 Product name: Recombinant human BACH1 protein Source: e coli.-derived, PET28a Tag: 6*His Domain: 387-736 aa of BC063307 Sequence: SSVEREVAEHLAKGFWSDICSTDTPCQMQLSPAVAKDGSEQISQKRSECPWLGIRISESPEPGQRTFTTLSSVNCPFISTLSTEGCSSNLEIGNDDYVSEPQQEPCPYACVISLGDDSETDTEGDSESCSAREQECEVKLPFNAQRIISLSRNDFQSLLKMHKLTPEQLDCIHDIRRRSKNRIAAQRCRKRKLDCIQNLESEIEKLQSEKESLLKERDHILSTLGETKQNLTGLCQKVCKEAALSQEQIQILAKYSAADCPLSFLISEKDKSTPDGELALPSIFSLSDRPPAVLPPCARGNSEPGYARGQESQQMSTATSEQAGPAEQCRQSGGISDFCQQMTDKCTTDE 种属同源性预测 |
| 宿主/亚型 | Mouse / IgG1 |
| 抗体类别 | Monoclonal |
| 产品类型 | Antibody |
| 全称 | BTB and CNC homology 1, basic leucine zipper transcription factor 1 |
| 别名 | 2D12A4, BACH 1, BACH-1 |
| 计算分子量 | 82 kDa |
| 观测分子量 | 100-110 kDa |
| GenBank蛋白编号 | BC063307 |
| 基因名称 | BACH1 |
| Gene ID (NCBI) | 571 |
| ENSEMBL Gene ID | ENSG00000156273 |
| RRID | AB_2882108 |
| 偶联类型 | Unconjugated |
| 形式 | Liquid |
| 纯化方式 | Protein G purification |
| UNIPROT ID | O14867 |
| 储存缓冲液 | PBS with 0.02% sodium azide and 50% glycerol, pH 7.3. |
| 储存条件 | Store at -20°C. Stable for one year after shipment. Aliquoting is unnecessary for -20oC storage. |
背景介绍
BTB and CNC homology 1, basic leucine zipper transcription factor 1(BACH1) is a heme-regulated transcriptional regulator that acts as a repressor or activator and a member of the AP-a superfamily. MafK belongs to the small Maf family that can function as transcriptional activators or repressors depending on the proteins with which they form heterodimers. BACH1 has crucial roles in both stress responses and transformation by H-RasV12. The molecular weight of expected mobility Bach1 is 100-110 kDa.
实验方案
| Product Specific Protocols | |
|---|---|
| IHC protocol for BACH1 antibody 66762-1-Ig | Download protocol |
| WB protocol for BACH1 antibody 66762-1-Ig | Download protocol |
| Standard Protocols | |
|---|---|
| Click here to view our Standard Protocols |
发表文章
| Species | Application | Title |
|---|---|---|
Cell Rep Targeting CXCR1 alleviates hyperoxia-induced lung injury through promoting glutamine metabolism
| ||
Life Sci Alliance A new ferrocene derivative blocks K-Ras localization and function by oxidative modification at His95 | ||
Cell Mol Biol Lett MAFF alleviates hepatic ischemia-reperfusion injury by regulating the CLCF1/STAT3 signaling pathway | ||
Exp Neurol Gastrodin alleviates Aβ25-35-induced glycolytic dysfunction via activating PI3K/AKT/BACH1 signaling in Alzheimer's disease models | ||
Cancer Sci Crucial Contribution of BACH1 to Bladder Cancer Progression via Upregulating Epithelial-Mesenchymal Transition Pathway.
| ||
Cancer Sci BACH1 promotes clear cell renal cell carcinoma progression by upregulating oxidative stress-related tumorigenicity
|




