验证数据展示
产品信息
86484-1-PBS targets B7-H4 as part of a matched antibody pair:
MP02632-1: 86484-1-PBS capture and 86484-2-PBS detection (validated in Sandwich ELISA)
Unconjugated rabbit recombinant monoclonal antibody in PBS only (BSA and azide free) storage buffer at a concentration of 1 mg/mL, ready for conjugation. Created using Proteintech’s proprietary in-house recombinant technology. Recombinant production enables unrivalled batch-to-batch consistency, easy scale-up, and future security of supply.
This conjugation ready format makes antibodies ideal for use in many applications including: ELISAs, multiplex assays requiring matched pairs, mass cytometry, and multiplex imaging applications.Antibody use should be optimized by the end user for each application and assay.
| 经测试应用 | WB, Sandwich ELISA, Indirect ELISA Application Description |
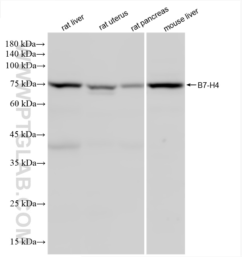
| 经测试反应性 | mouse, rat |
| 免疫原 |
CatNo: Eg3230 Product name: Recombinant Rat B7-H4 protein (rFc Tag) Source: mammalian cells-derived, pHZ-KIsec-C-rFc Tag: C-rFc Domain: 29-257 aa of NM_001024244.1 Sequence: FGISGKHFITVTTFTSAGNIGEDGTLSCTFEPDIKLNGIVIQWLKEGIKGLVHEFKEGKDDLSQQHEMFRGRTAVFADQVVVGNASLRLKNVQLTDAGTYTCYIHTSKGKGNANLEYKTGAFSMPEINVDYNASSESLRCEAPRWFPQPTVAWASQVDQGANFSEVSNTSFELNSENVTMKVVSVLYNVTINNTYSCMIENDIAKATGDIKVTDSEVKRRSQLELLNSG 种属同源性预测 |
| 宿主/亚型 | Rabbit / IgG |
| 抗体类别 | Recombinant |
| 产品类型 | Antibody |
| 全称 | V-set domain containing T cell activation inhibitor 1 |
| 别名 | B7H4, B7S1, B7x, V-set domain-containing T-cell activation inhibitor 1, Vtcn1 |
| 计算分子量 | 31 kDa |
| 观测分子量 | 75 kDa |
| GenBank蛋白编号 | NM_001024244.1 |
| 基因名称 | Vtcn1 |
| Gene ID (NCBI) | 295322 |
| 偶联类型 | Unconjugated |
| 形式 | Liquid |
| 纯化方式 | Protein A purification |
| UNIPROT ID | Q501W4 |
| 储存缓冲液 | PBS only, pH 7.3. |
| 储存条件 | Store at -80°C. The product is shipped with ice packs. Upon receipt, store it immediately at -80°C |
背景介绍
B7-H4, also named VTCN1, B7X, or B7S1, is a single-pass type I membrane protein, which contains two immunoglobulin-like domains and belongs to the immunoglobulin superfamily. B7-H4 negatively regulates T-cell mediated immune response by inhibiting T-cell activation, proliferation, cytokine production and development of cytotoxicity. B7-H4 is over-expressed in many cancers, including breast, ovarian, endometrial, renal cell and non-small-cell lung cancers. The predicted molecular weight of B7‑H4 is 31 kDa. The glycosylated B7‑H4 is 50 to 80 kDa, and the non-glycosylated form is 28 kDa.


