验证数据展示
经过测试的应用
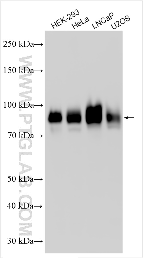
| Positive WB detected in | HEK-293 cells, HeLa cells, LNCaP cells, U2OS cells |
| Positive IP detected in | HuH-7 cells |
| Positive IHC detected in | human lung cancer tissue, human skin cancer tissue Note: suggested antigen retrieval with TE buffer pH 9.0; (*) Alternatively, antigen retrieval may be performed with citrate buffer pH 6.0 |
| Positive IF/ICC detected in | HEK-293 cells |
推荐稀释比
| 应用 | 推荐稀释比 |
|---|---|
| Western Blot (WB) | WB : 1:2000-1:16000 |
| Immunoprecipitation (IP) | IP : 0.5-4.0 ug for 1.0-3.0 mg of total protein lysate |
| Immunohistochemistry (IHC) | IHC : 1:200-1:800 |
| Immunofluorescence (IF)/ICC | IF/ICC : 1:50-1:500 |
| It is recommended that this reagent should be titrated in each testing system to obtain optimal results. | |
| Sample-dependent, Check data in validation data gallery. | |
发表文章中的应用
| WB | See 1 publications below |
产品信息
30052-1-AP targets B7-H3/CD276 in WB, IHC, IF/ICC, IP, ELISA applications and shows reactivity with human samples.
| 经测试应用 | WB, IHC, IF/ICC, IP, ELISA Application Description |
| 文献引用应用 | WB |
| 经测试反应性 | human |
| 文献引用反应性 | human |
| 免疫原 |
Recombinant protein 种属同源性预测 |
| 宿主/亚型 | Rabbit / IgG |
| 抗体类别 | Polyclonal |
| 产品类型 | Antibody |
| 全称 | CD276 molecule |
| 别名 | CD276, B7-H3, B7H3, B7 homolog 3, B7 H3 |
| 计算分子量 | 57 kDa |
| 观测分子量 | 95-100 kDa |
| GenBank蛋白编号 | NM_001024736 |
| 基因名称 | CD276 |
| Gene ID (NCBI) | 80381 |
| RRID | AB_3086220 |
| 偶联类型 | Unconjugated |
| 形式 | Liquid |
| 纯化方式 | Antigen affinity purification |
| UNIPROT ID | Q5ZPR3 |
| 储存缓冲液 | PBS with 0.02% sodium azide and 50% glycerol, pH 7.3. |
| 储存条件 | Store at -20°C. Stable for one year after shipment. Aliquoting is unnecessary for -20oC storage. |
背景介绍
B7-H3 (CD276) is a type I transmembrane protein expressed on many tissues and cell types. B7-H3 is a 100-kDa glycoprotein that belongs to the B7 immunoregulatory family and participates in the regulation of T-cell-mediated immune response probably by functioning as both a T cell costimulator and coinhibitor (PMID: 25567370; 20696859). Overexpressed on a wide range of human solid cancers, B7-H3 has been implicated in cancer progression and metastasis and becomes an attractive target for cancer immunotherapy (PMID: 27208063).
实验方案
| Product Specific Protocols | |
|---|---|
| IF protocol for B7-H3/CD276 antibody 30052-1-AP | Download protocol |
| IHC protocol for B7-H3/CD276 antibody 30052-1-AP | Download protocol |
| IP protocol for B7-H3/CD276 antibody 30052-1-AP | Download protocol |
| WB protocol for B7-H3/CD276 antibody 30052-1-AP | Download protocol |
| Standard Protocols | |
|---|---|
| Click here to view our Standard Protocols |






