验证数据展示
经过测试的应用
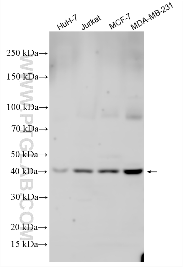
| Positive WB detected in | HuH-7 cells, Jurkat cells, MCF-7 cells, MDA-MB-231 cells |
推荐稀释比
| 应用 | 推荐稀释比 |
|---|---|
| Western Blot (WB) | WB : 1:1000-1:4000 |
| It is recommended that this reagent should be titrated in each testing system to obtain optimal results. | |
| Sample-dependent, Check data in validation data gallery. | |
产品信息
16586-1-AP targets B3GAT3 in WB, ELISA applications and shows reactivity with human samples.
| 经测试应用 | WB, ELISA Application Description |
| 经测试反应性 | human |
| 免疫原 |
CatNo: Ag8362 Product name: Recombinant human B3GAT3 protein Source: e coli.-derived, PET28a Tag: 6*His Domain: 1-335 aa of BC007906 Sequence: MKLKLKNVFLAYFLVSIAGLLYALVQLGQPCDCLPPLRAAAEQLRQKDLRISQLQAELRRPPPAPAQPPEPEALPTIYVVTPTYARLVQKAELVRLSQTLSLVPRLHWLLVEDAEGPTPLVSGLLAASGLLFTHLVVLTPKAQRLREGEPGWVHPRGVEQRNKALDWLRGRGGAVGGEKDPPPPGTQGVVYFADDDNTYSRELFEEMRWTRGVSVWPVGLVGGLRFEGPQVQDGRVVGFHTAWEPSRPFPVDMAGFAVALPLLLDKPNAQFDSTAPRGHLESSLLSHLVDPKDLEPRAANCTRVLVWHTRTEKPKMKQEEQLQRQGRGSDPAIEV 种属同源性预测 |
| 宿主/亚型 | Rabbit / IgG |
| 抗体类别 | Polyclonal |
| 产品类型 | Antibody |
| 全称 | beta-1,3-glucuronyltransferase 3 (glucuronosyltransferase I) |
| 别名 | Beta-1,3-glucuronyltransferase 3, EC:2.4.1.135, Galactosylgalactosylxylosylprotein 3-beta-glucuronosyltransferase 3, GlcAT I, GLCATI |
| 计算分子量 | 335 aa, 37 kDa |
| 观测分子量 | 37-40 kDa |
| GenBank蛋白编号 | BC007906 |
| 基因名称 | B3GAT3 |
| Gene ID (NCBI) | 26229 |
| RRID | AB_3741889 |
| 偶联类型 | Unconjugated |
| 形式 | Liquid |
| 纯化方式 | Antigen affinity purification |
| UNIPROT ID | O94766 |
| 储存缓冲液 | PBS with 0.02% sodium azide and 50% glycerol, pH 7.3. |
| 储存条件 | Store at -20°C. Stable for one year after shipment. Aliquoting is unnecessary for -20oC storage. |
背景介绍
B3GAT3 (Beta-1,3-Glucuronyltransferase 3), also known as Glucuronosyltransferase I (GlcAT-I), is an enzyme encoded by the B3GAT3 gene. This enzyme belongs to the glycosyltransferase family and catalyzes the transfer of glucuronic acid (GlcA) from UDP-GlcA to the terminal galactose residue of the linkage region tetrasaccharide (GlcA-Gal-Gal-Xyl-) during the biosynthesis of proteoglycans. The addition of glucuronic acid is a critical step in forming the glycosaminoglycan-protein linkage region, which serves as the attachment site for heparan sulfate and chondroitin sulfate chains. Mutations in the B3GAT3 gene cause a rare autosomal recessive disorder known as linkeropathy or B3GAT3-related multiple joint dislocations.
实验方案
| Product Specific Protocols | |
|---|---|
| WB protocol for B3GAT3 antibody 16586-1-AP | Download protocol |
| Standard Protocols | |
|---|---|
| Click here to view our Standard Protocols |
