验证数据展示
经过测试的应用
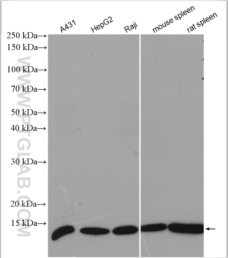
| Positive WB detected in | A431 cells, Hepa1-6 cells, human heart tissue, human stomach tissue, mouse lung tissue, HeLa cells, HepG2 cells, Jurkat cells, Raji cells, mouse spleen tissue, rat spleen tissue, rat lung tissue |
| Positive IP detected in | A431 cells |
| Positive IHC detected in | human tonsillitis tissue, mouse lung tissue, human liver cancer tissue, human prostate cancer tissue, human oesophagus cancer tissue Note: suggested antigen retrieval with TE buffer pH 9.0; (*) Alternatively, antigen retrieval may be performed with citrate buffer pH 6.0 |
| Positive IF/ICC detected in | A431 cells, NCCIT cells |
推荐稀释比
| 应用 | 推荐稀释比 |
|---|---|
| Western Blot (WB) | WB : 1:2000-1:16000 |
| Immunoprecipitation (IP) | IP : 0.5-4.0 ug for 1.0-3.0 mg of total protein lysate |
| Immunohistochemistry (IHC) | IHC : 1:2000-1:8000 |
| Immunofluorescence (IF)/ICC | IF/ICC : 1:375-1:1500 |
| It is recommended that this reagent should be titrated in each testing system to obtain optimal results. | |
| Sample-dependent, Check data in validation data gallery. | |
产品信息
13511-1-AP targets Beta-2-Microglobulin in WB, IHC, IF/ICC, IP, ELISA applications and shows reactivity with human, mouse, rat samples.
| 经测试应用 | WB, IHC, IF/ICC, IP, ELISA Application Description |
| 文献引用应用 | WB, IHC, IF, IP |
| 经测试反应性 | human, mouse, rat |
| 文献引用反应性 | human, mouse, rat |
| 免疫原 |
CatNo: Ag4433 Product name: Recombinant human B2M protein Source: e coli.-derived, PGEX-4T Tag: GST Domain: 22-119 aa of BC032589 Sequence: QRTPKIQVYSRHPAENGKSNFLNCYVSGFHPSDIEVDLLKNGERIEKVEHSDLSFSKDWSFYLLYYTEFTPTEKDEYACRVNHVTLSQPKIVKWDRDM 种属同源性预测 |
| 宿主/亚型 | Rabbit / IgG |
| 抗体类别 | Polyclonal |
| 产品类型 | Antibody |
| 全称 | beta-2-microglobulin |
| 别名 | B2M, beta 2 microglobulin, beta 2-Microglobulin, Beta-2-microglobulin form pI 5.3, CDABP0092 |
| 计算分子量 | 119 aa, 14 kDa |
| 观测分子量 | 12-14 kDa |
| GenBank蛋白编号 | BC032589 |
| 基因名称 | B2M |
| Gene ID (NCBI) | 567 |
| ENSEMBL Gene ID | ENSG00000166710 |
| RRID | AB_2062735 |
| 偶联类型 | Unconjugated |
| 形式 | Liquid |
| 纯化方式 | Antigen affinity purification |
| UNIPROT ID | P61769 |
| 储存缓冲液 | PBS with 0.02% sodium azide and 50% glycerol, pH 7.3. |
| 储存条件 | Store at -20°C. Stable for one year after shipment. Aliquoting is unnecessary for -20oC storage. |
背景介绍
Beta-2-microglobulin (B2M) is a component of MHC class I molecules, which are present on the surface of nearly all nucleated cells. It can be found in body fluids under physiologic conditions as a result of shedding from cell surfaces or intracellular release. B2M has various biological functions, including antigen presentation. Investigations reveal that increased synthesis and release of B2M are present in several malignant diseases.
实验方案
| Product Specific Protocols | |
|---|---|
| IF protocol for Beta-2-Microglobulin antibody 13511-1-AP | Download protocol |
| IHC protocol for Beta-2-Microglobulin antibody 13511-1-AP | Download protocol |
| IP protocol for Beta-2-Microglobulin antibody 13511-1-AP | Download protocol |
| WB protocol for Beta-2-Microglobulin antibody 13511-1-AP | Download protocol |
| Standard Protocols | |
|---|---|
| Click here to view our Standard Protocols |
发表文章
| Species | Application | Title |
|---|---|---|
Cell IRGQ-mediated autophagy in MHC class I quality control promotes tumor immune evasion | ||
Sci Adv Oncoprotein SND1 hijacks nascent MHC-I heavy chain to ER-associated degradation, leading to impaired CD8+ T cell response in tumor. | ||
Nat Commun Targeting Tyro3 ameliorates a model of PGRN-mutant FTLD-TDP via tau-mediated synaptic pathology. | ||
Theranostics Nintedanib enhances the efficacy of PD-L1 blockade by upregulating MHC-I and PD-L1 expression in tumor cells. | ||
Biomater Sci Enhanced β2-microglobulin binding of a "navigator" molecule bearing a single-chain variable fragment antibody for artificial switching of metabolic processing pathways. | ||
Aging (Albany NY) β2-microglobulin as a biomarker of pulmonary fibrosis development in COPD patients. |




















