验证数据展示
产品信息
66120-1-PBS targets Aldolase C as part of a matched antibody pair:
MP51427-1: 66120-1-PBS capture and 66120-2-PBS detection (validated in Cytometric bead array)
Unconjugated mouse monoclonal antibody pair in PBS only (BSA and azide free) storage buffer at a concentration of 1 mg/mL, ready for conjugation.
This conjugation ready format makes antibodies ideal for use in many applications including: ELISAs, multiplex assays requiring matched pairs, mass cytometry, and multiplex imaging applications.Antibody use should be optimized by the end user for each application and assay.
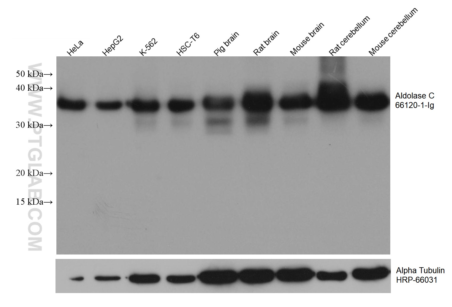
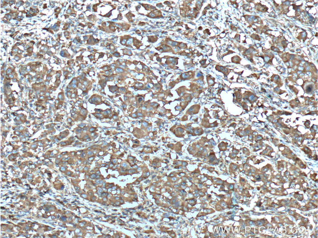
| 经测试应用 | WB, IHC, IF/ICC, Cytometric bead array, Indirect ELISA Application Description |
| 经测试反应性 | human, mouse, rat, pig |
| 免疫原 |
CatNo: Ag6779 Product name: Recombinant human ALDOC protein Source: e coli.-derived, PET28a Tag: 6*His Domain: 1-364 aa of BC003613 Sequence: MPHSYPALSAEQKKELSDIALRIVAPGKGILAADESVGSMAKRLSQIGVENTEENRRLYRQVLFSADDRVKKCIGGVIFFHETLYQKDDNGVPFVRTIQDKGIVVGIKVDKGVVPLAGTDGETTTQGLDGLSERCAQYKKDGADFAKWRCVLKISERTPSALAILENANVLARYASICQQNGIVPIVEPEILPDGDHDLKRCQYVTEKVLAAVYKALSDHHVYLEGTLLKPNMVTPGHACPIKYTPEEIAMATVTALRRTVPPAVPGVTFLSGGQSEEEASFNLNAINRCPLPRPWALTFSYGRALQASALNAWRGQRDNAGAATEEFIKRAEVNGLAAQGKYEGSGEDGGAAAQSLYIANHAY 种属同源性预测 |
| 宿主/亚型 | Mouse / IgG1 |
| 抗体类别 | Monoclonal |
| 产品类型 | Antibody |
| 全称 | aldolase C, fructose-bisphosphate |
| 别名 | ALDOC, 5H7A5, ALDC, ALDO, Brain-type aldolase |
| 计算分子量 | 39 kDa |
| 观测分子量 | 39 kDa |
| GenBank蛋白编号 | BC003613 |
| 基因名称 | Aldolase C |
| Gene ID (NCBI) | 230 |
| RRID | AB_2881519 |
| 偶联类型 | Unconjugated |
| 形式 | Liquid |
| 纯化方式 | Protein G purification |
| UNIPROT ID | P09972 |
| 储存缓冲液 | PBS only, pH 7.3. |
| 储存条件 | Store at -80°C. The product is shipped with ice packs. Upon receipt, store it immediately at -80°C |
背景介绍
Fructose-bisphosphate aldolase C (ALDOC) reversibly cleaves FBP and F1-P to glyceraldehyde 3-phosphate and dihydroxyacetone phosphate and is strongly expressed in mammalian brain together with ALDOA and is alsopresent in the heart and spleen of some species(PMID:9363598). It is involed in glycolysis as an important enzyme. Phospholipase D2 and inositol 1,4,5-triphosphate interact with ALDOC in signal transduction. Meanwhile, the protein expression of ALDOC has been reported to be regulated in brain tumor, hepatomas, and lung cancer(PMID:21548097).












