验证数据展示
经过测试的应用
| Positive WB detected in | HeLa cells, HepG2 cells |
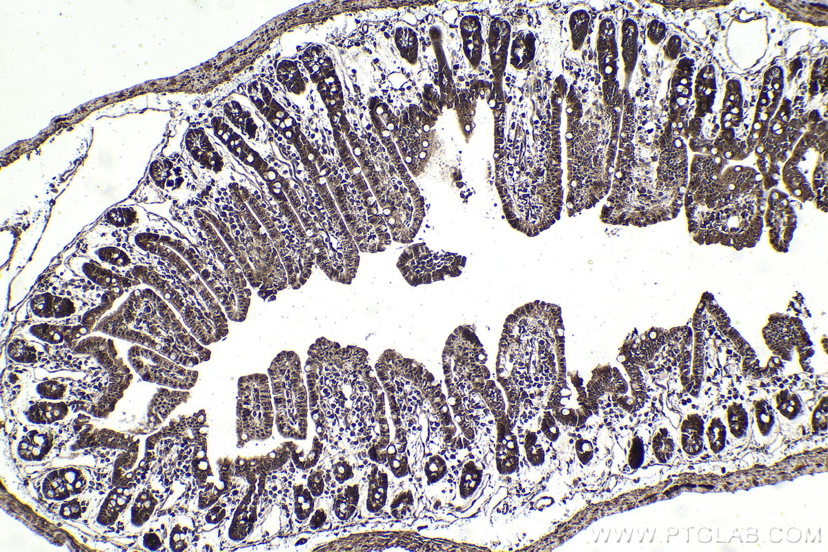
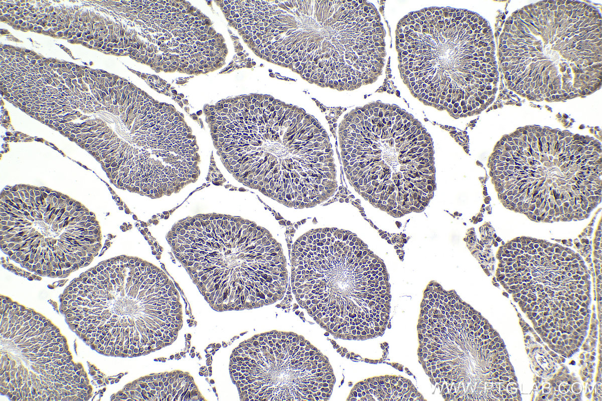
| Positive IHC detected in | mouse skin tissue, human thyroid cancer tissue, mouse small intestine tissue, mouse testis tissue, rat skin tissue, rat small intestine tissue, rat testis tissue Note: suggested antigen retrieval with TE buffer pH 9.0; (*) Alternatively, antigen retrieval may be performed with citrate buffer pH 6.0 |
推荐稀释比
| 应用 | 推荐稀释比 |
|---|---|
| Western Blot (WB) | WB : 1:1000-1:6000 |
| Immunohistochemistry (IHC) | IHC : 1:500-1:2000 |
| It is recommended that this reagent should be titrated in each testing system to obtain optimal results. | |
| Sample-dependent, Check data in validation data gallery. | |
发表文章中的应用
| WB | See 1 publications below |
产品信息
28686-1-AP targets Ajuba in WB, IHC, ELISA applications and shows reactivity with Human, mouse, rat samples.
| 经测试应用 | WB, IHC, ELISA Application Description |
| 文献引用应用 | WB |
| 经测试反应性 | Human, mouse, rat |
| 文献引用反应性 | human |
| 免疫原 |
CatNo: Ag29725 Product name: Recombinant human JUB protein Source: e coli.-derived, PGEX-4T Tag: GST Domain: 1-173 aa of BC007580 Sequence: MERLGEKASRLLEKFGRRKGESSRSGSDGTPGPGKGRLSGLGGPRKSGPRGATGGPGDEPLEPAREQGSLDAERNQRGSFEAPRYEGSFPAGPPPTRALPLPQSLPPDFRLEPTAPALSPRSSFASSSASDASKPSSPRGSLLLDGAGAGGAGGSRPCSNRTSGISMGYDQRH 种属同源性预测 |
| 宿主/亚型 | Rabbit / IgG |
| 抗体类别 | Polyclonal |
| 产品类型 | Antibody |
| 全称 | jub, ajuba homolog (Xenopus laevis) |
| 别名 | Ajuba, JUB, Protein ajuba |
| 计算分子量 | 57 kDa |
| 观测分子量 | 57 kDa |
| GenBank蛋白编号 | BC007580 |
| 基因名称 | Ajuba |
| Gene ID (NCBI) | 84962 |
| RRID | AB_2881194 |
| 偶联类型 | Unconjugated |
| 形式 | Liquid |
| 纯化方式 | Antigen affinity purification |
| UNIPROT ID | Q96IF1 |
| 储存缓冲液 | PBS with 0.02% sodium azide and 50% glycerol, pH 7.3. |
| 储存条件 | Store at -20°C. Stable for one year after shipment. Aliquoting is unnecessary for -20oC storage. |
背景介绍
Ajuba belongs to the LIM domain proteins, which are involved in the assembly of the extracellular matrix and, along with associated proteins, regulate target genes that connect the extracellular matrix and the cytoskeleton. Ajuba consists of three LIM domains at the C-terminal and is located in the cytoplasm where it interacts with a variety of other proteins. Ajuba contributes to the formation or strengthening of cell-cell adhesion and regulates cell growth and differentiation decisions. Ajuba participates in the assembly of the extracellular matrix. Ajuba also plays an important role in some diseases.
实验方案
| Product Specific Protocols | |
|---|---|
| IHC protocol for Ajuba antibody 28686-1-AP | Download protocol |
| WB protocol for Ajuba antibody 28686-1-AP | Download protocol |
| Standard Protocols | |
|---|---|
| Click here to view our Standard Protocols |














