验证数据展示
经过测试的应用
| Positive WB detected in | mouse spleen tissue, rat spleen tissue, mouse thymus tissue, rat thymus tissue |
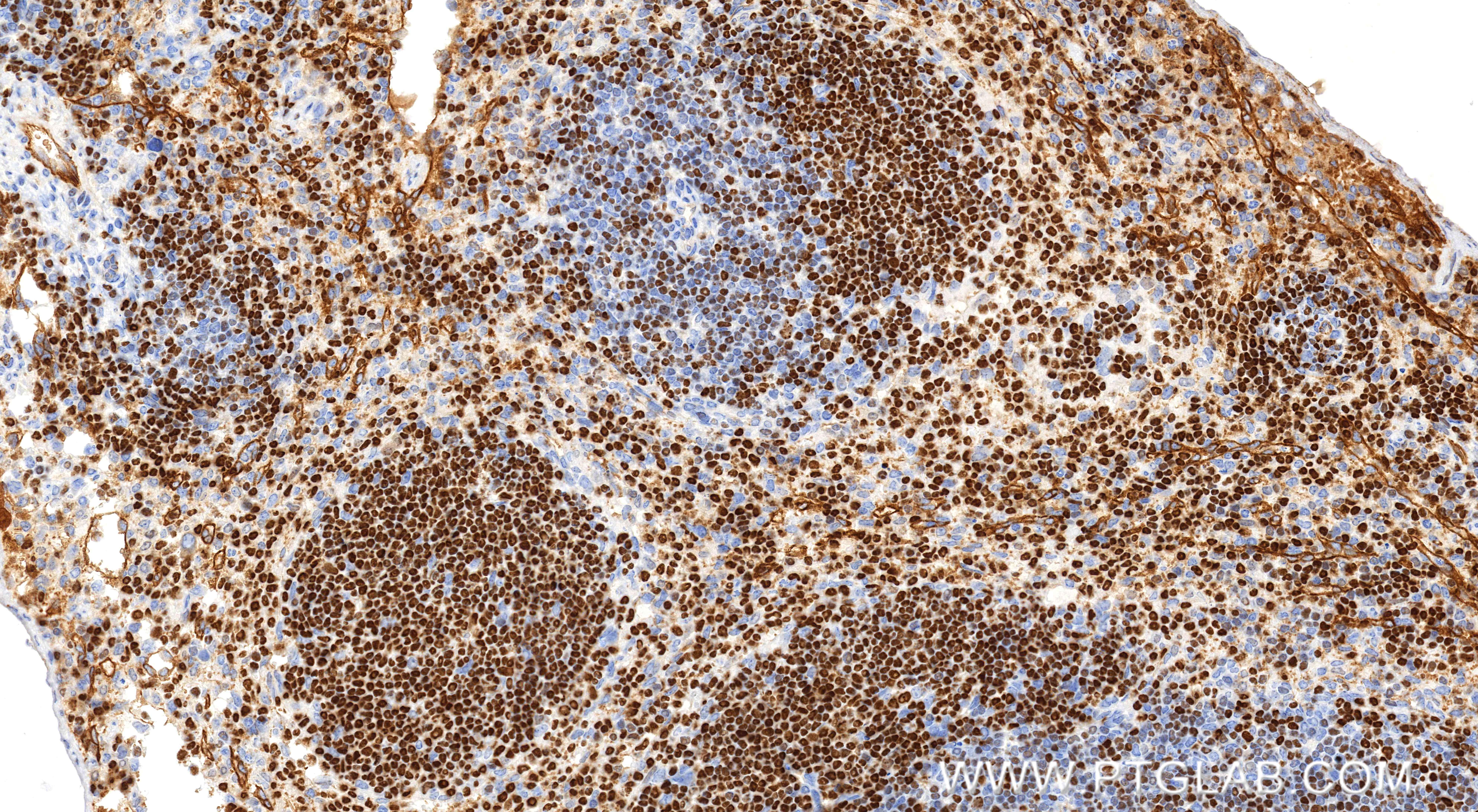
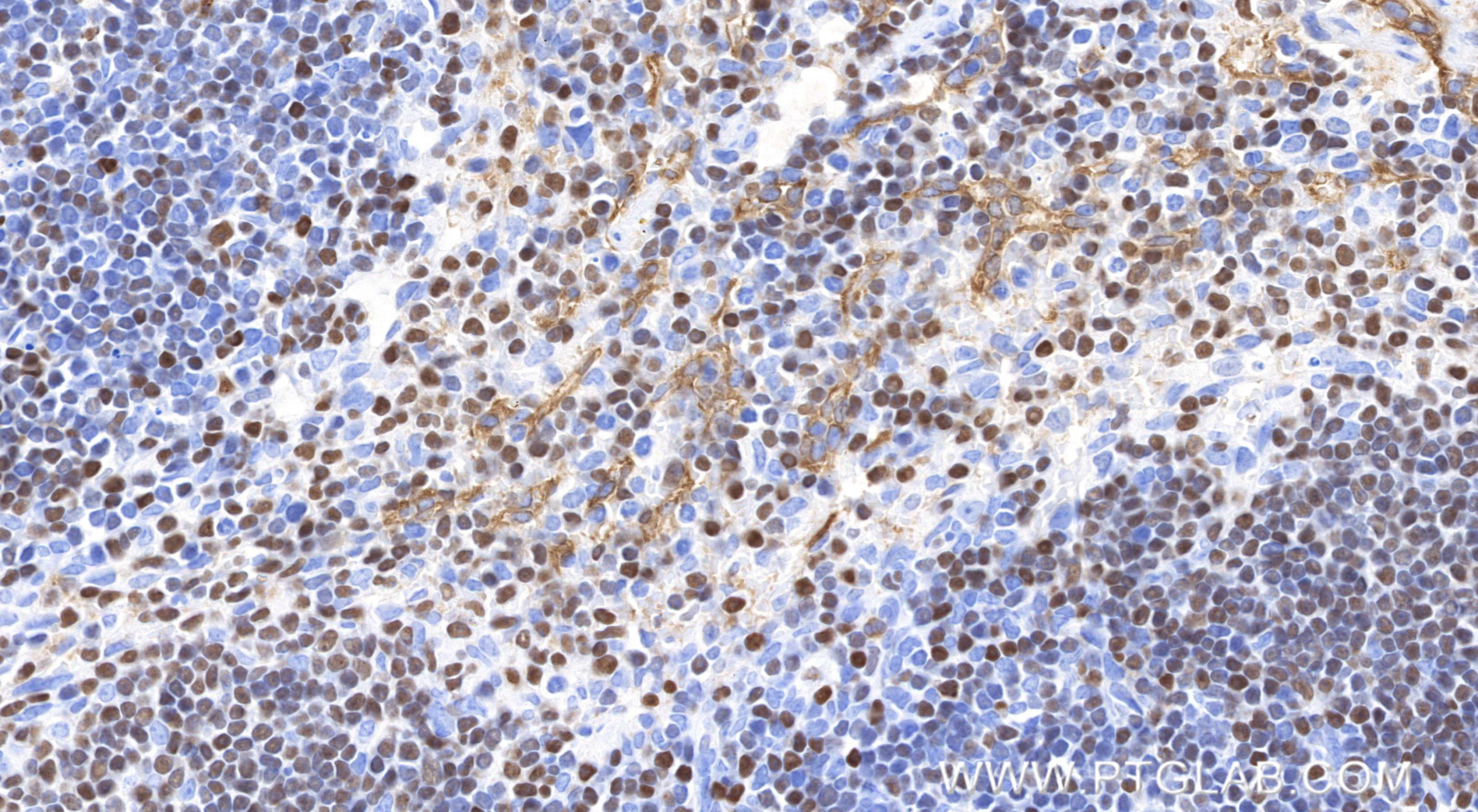
| Positive IHC detected in | mouse spleen tissue Note: suggested antigen retrieval with TE buffer pH 9.0; (*) Alternatively, antigen retrieval may be performed with citrate buffer pH 6.0 |
推荐稀释比
| 应用 | 推荐稀释比 |
|---|---|
| Western Blot (WB) | WB : 1:5000-1:50000 |
| Immunohistochemistry (IHC) | IHC : 1:2500-1:10000 |
| It is recommended that this reagent should be titrated in each testing system to obtain optimal results. | |
| Sample-dependent, Check data in validation data gallery. | |
产品信息
85752-2-RR targets Aiolos/IKZF3 in WB, IHC, ELISA applications and shows reactivity with human, mouse, rat samples.
| 经测试应用 | WB, IHC, ELISA Application Description |
| 经测试反应性 | human, mouse, rat |
| 免疫原 |
CatNo: Ag5537 Product name: Recombinant human IKZF3 protein Source: e coli.-derived, PET28a Tag: 6*His Domain: 209-509 aa of BC032707 Sequence: RSYKQRSSLEEHKERCRTFLQSTDPGDTASAEARHIKAEMGSERALVLDRLASNVAKRKSSMPQKFIGEKRHCFDVNYNSSYMYEKESELIQTRMMDQAINNAISYLGAEALRPLVQTPPAPTSEMVPVISSMYPIALTRAEMSNGAPQELEKKSIHLPEKSVPSERGLSPNNSGHDSTDTDSNHEERQNHIYQQNHMVLSRARNGMPLLKEVPRSYELLKPPPICPRDSVKVINKEGEVMDVYRCDHCRVLFLDYVMFTIHMGCHGFRDPFECNMCGYRSHDRYEFSSHIARGEHRALLK 种属同源性预测 |
| 宿主/亚型 | Rabbit / IgG |
| 抗体类别 | Recombinant |
| 产品类型 | Antibody |
| 全称 | IKAROS family zinc finger 3 (Aiolos) |
| 别名 | IKZF3, AIO, AIOLOS, IKZF 3, Zinc finger protein Aiolos |
| 计算分子量 | 509 aa, 58 kDa |
| 观测分子量 | 70 kDa |
| GenBank蛋白编号 | BC032707 |
| 基因名称 | IKZF3 |
| Gene ID (NCBI) | 22806 |
| RRID | AB_3744346 |
| 偶联类型 | Unconjugated |
| 形式 | Liquid |
| 纯化方式 | Protein A purification |
| UNIPROT ID | Q9UKT9 |
| 储存缓冲液 | PBS with 0.02% sodium azide and 50% glycerol, pH 7.3. |
| 储存条件 | Store at -20°C. Stable for one year after shipment. Aliquoting is unnecessary for -20oC storage. |
背景介绍
IKZF3, also named as Zinc finger protein Aiolos or ZNFN1A3, is a 509 amino acid protein, which contains 6 C2H2-type zinc fingers and belongs to the Ikaros C2H2-type zinc-finger protein family. IKZF3 localizes in the nucleus and cytoplasm. IKZF3 can form homodimer, and heterodimer with other IKAROS family members. IKZF3 is expressed most strongly in peripheral blood leukocytes, the spleen, and the thymus. IKZF3 as a transcription factor plays an important role in the regulation of lymphocyte differentiation. The calculated molecular weight of IKZF3 is 58 kDa, but the modified IKZF3 protein is about 65-70 kDa.
实验方案
| Product Specific Protocols | |
|---|---|
| IHC protocol for Aiolos/IKZF3 antibody 85752-2-RR | Download protocol |
| WB protocol for Aiolos/IKZF3 antibody 85752-2-RR | Download protocol |
| Standard Protocols | |
|---|---|
| Click here to view our Standard Protocols |


