IHCeasy® IKZF3 Ready-To-Use IHC Kit
IKZF3 Ready-to-use reagent kit for IHC.
Reactivity
Human, Mouse, Rat
Sample Type
FFPE tissue
Cat no : KHC1995
Synonyms
AIO, AIOLOS, IKZF3, Zinc finger protein Aiolos, ZNFN1A3
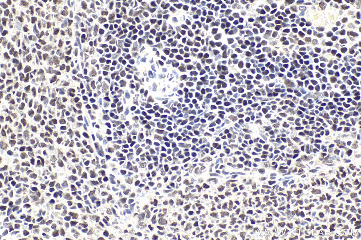
Validation Data Gallery
Product Information
KHC1995 is a ready-to-use IHC kit for staining of IKZF3. The kit provides all reagents, from antigen retrieval to cover slip mounting, that require little to no diluting or handling prior to use. Simply apply the reagents to your sample slide according to the protocol and you're steps away from obtaining high-quality IHC data.
| Product name | IHCeasy IKZF3 Ready-To-Use IHC Kit |
| Sample type | FFPE tissue |
| Assay type | Immunohistochemistry |
| Primary antibody type | Rabbit Polyclonal |
| Secondary antibody type | Polymer-HRP-Goat anti-Rabbit |
| Reactivity | Human, Mouse, Rat |
Kit components
| Component | Size | Concentration |
|---|---|---|
| Antigen Retrieval Buffer | 100 mL | 50× |
| Washing Buffer | 100 mL ×2 | 20× |
| Blocking Buffer | 5 mL | RTU |
| Primary Antibody | 5 mL | RTU |
| Secondary Antibody | 5 mL | RTU |
| Chromogen Component A | 0.2 mL | RTU |
| Chromogen Component B | 4 mL | RTU |
| Signal Enhancer | 5 mL | RTU |
| Counter Staining Reagent | 5 mL | RTU |
| Mounting Media | 5 mL | RTU |
| Datasheet | 1 Copy | |
| Manual | 1 Copy |
Background Information
IKZF3, also named as Zinc finger protein Aiolos or ZNFN1A3, is a 509 amino acid protein, which contains 6 C2H2-type zinc fingers and belongs to the Ikaros C2H2-type zinc-finger protein family. IKZF3 localizes in the nucleus and cytoplasm. IKZF3 can form homodimer, and heterodimer with other IKAROS family members. IKZF3 is expressed most strongly in peripheral blood leukocytes, the spleen, and the thymus. IKZF3 as a transcription factor plays an important role in the regulation of lymphocyte differentiation.
Properties
| Storage Instructions | All the reagents are stored at 2-8°C. The kit is stable for 6 months from the date of receipt. |
| Synonyms | AIO, AIOLOS, IKZF3, Zinc finger protein Aiolos, ZNFN1A3 |





