验证数据展示
产品信息
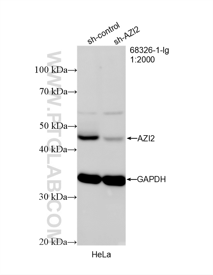
68326-1-PBS targets AZI2 in WB, IF/ICC, ELISA applications and shows reactivity with human, mouse, rat samples.
| 经测试应用 | WB, IF/ICC, ELISA Application Description |
| 经测试反应性 | human, mouse, rat |
| 免疫原 |
CatNo: Ag6755 Product name: Recombinant human AZI2 protein Source: e coli.-derived, PET28a Tag: 6*His Domain: 1-264 aa of BC001139 Sequence: MDALVEDDICILNHEKAHKRDTVTPVSIYSGDESVASHFALVTAYEDIKKRLKDSEKENSLLKKRIRFLEEKLIARFEEETSSVGREQVNKAYHAYREVCIDRDNLKSKLDKMNKDNSESLKVLNEQLQSKEVELLQLRTEVETQQVMRNLNPPSSNWEVEKLSCDLKIHGLEQELELMRKECSDLKIELQKAKQTDPYQEDNLKSRDLQKLSISSDNMQHAYWELKREMSNLHLVTQVQAELLRKLKTSTAIKKGKSLFTGNH 种属同源性预测 |
| 宿主/亚型 | Mouse / IgG1 |
| 抗体类别 | Monoclonal |
| 产品类型 | Antibody |
| 全称 | 5-azacytidine induced 2 |
| 别名 | AZI2/NAP1, 2F1G5, 5 azacytidine induced 2, 5-azacytidine-induced protein 2, Nak associated protein 1 |
| 计算分子量 | 45 kDa |
| 观测分子量 | 45 kDa |
| GenBank蛋白编号 | BC001139 |
| 基因名称 | AZI2 |
| Gene ID (NCBI) | 64343 |
| RRID | AB_2935398 |
| 偶联类型 | Unconjugated |
| 形式 | Liquid |
| 纯化方式 | Protein G purification |
| UNIPROT ID | Q9H6S1 |
| 储存缓冲液 | PBS only, pH 7.3. |
| 储存条件 | Store at -80°C. The product is shipped with ice packs. Upon receipt, store it immediately at -80°C |
背景介绍
AZI2, also known as NAP1, is a TNF receptor (TNFR)-associated factor family member-associated NF-κB activator-binding kinase 1-binding protein that regulates the production of IFNs. It is an adapter protein which binds TBK1 and IKBKE playing a role in antiviral innate immunity. NAP1 is a kind of adapter protein which binds TBK1 and IKBKE playing a role in antiviral innate immunity. (PMID: 21931631)


