验证数据展示
经过测试的应用
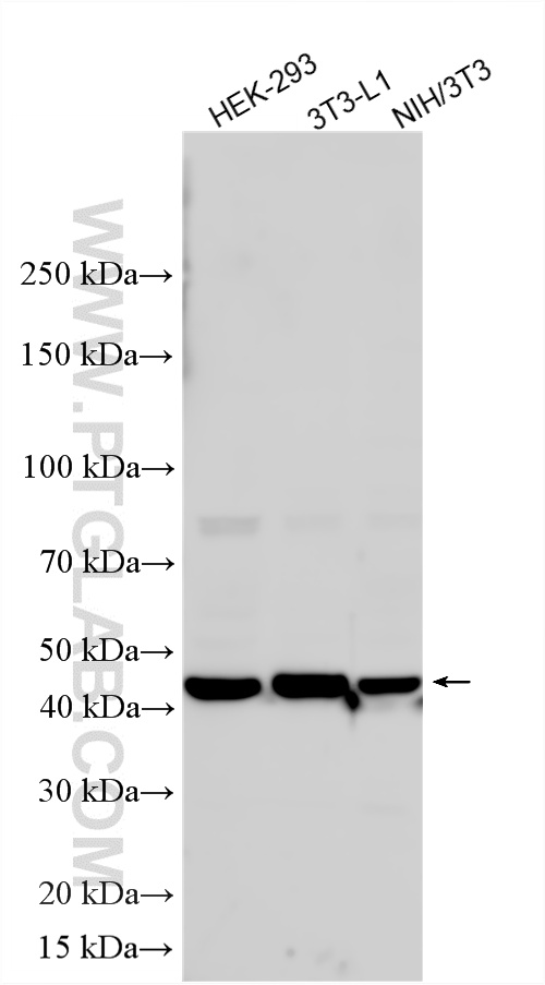
| Positive WB detected in | HEK-293 cells, 3T3-L1 cells, NIH/3T3 cells |
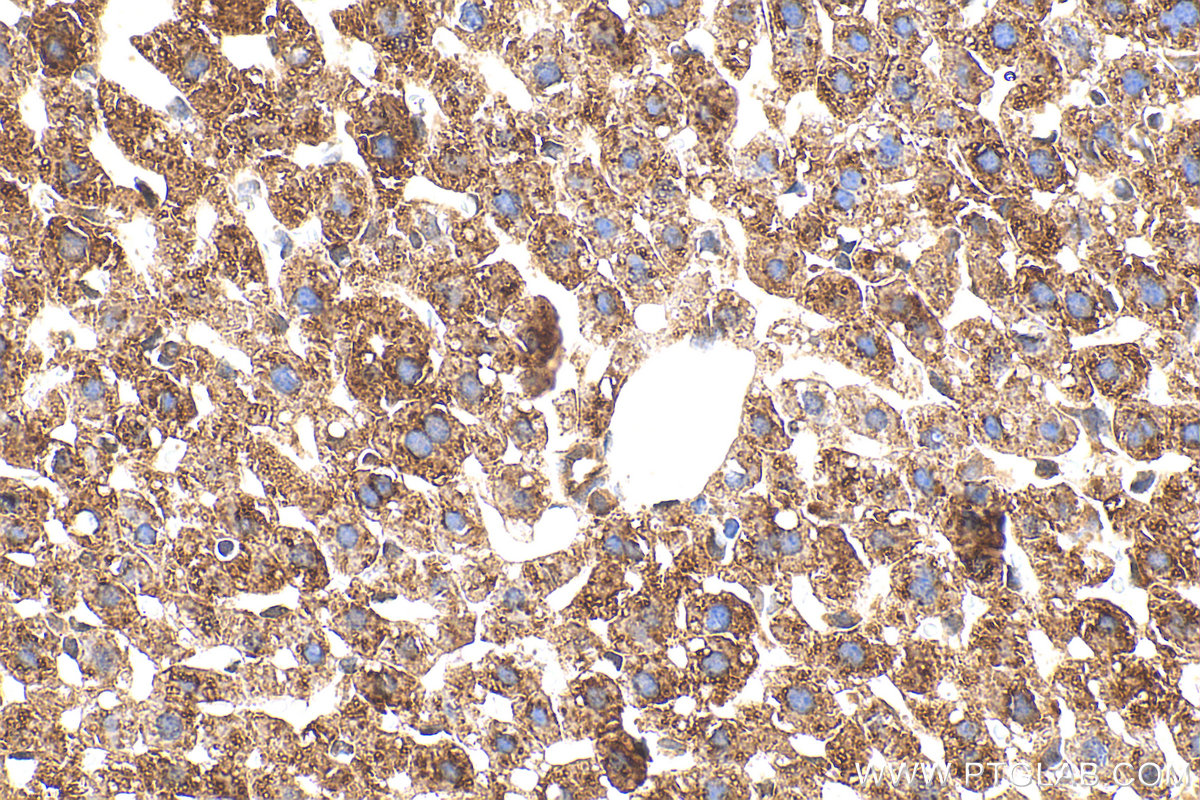
| Positive IHC detected in | mouse liver tissue Note: suggested antigen retrieval with TE buffer pH 9.0; (*) Alternatively, antigen retrieval may be performed with citrate buffer pH 6.0 |
推荐稀释比
| 应用 | 推荐稀释比 |
|---|---|
| Western Blot (WB) | WB : 1:500-1:2000 |
| Immunohistochemistry (IHC) | IHC : 1:50-1:500 |
| It is recommended that this reagent should be titrated in each testing system to obtain optimal results. | |
| Sample-dependent, Check data in validation data gallery. | |
产品信息
24704-1-AP targets AWAT1 in WB, IHC, ELISA applications and shows reactivity with human, mouse samples.
| 经测试应用 | WB, IHC, ELISA Application Description |
| 经测试反应性 | human, mouse |
| 免疫原 |
CatNo: Ag20183 Product name: Recombinant human AWAT1 protein Source: e coli.-derived, PGEX-4T Tag: GST Domain: 134-195 aa of BC153034 Sequence: LATLSWFFKIPFVREYLMAKGVCSVSQPAINYLLSHGTGNLVGIVVGGVGEALQSVPNTTTL 种属同源性预测 |
| 宿主/亚型 | Rabbit / IgG |
| 抗体类别 | Polyclonal |
| 产品类型 | Antibody |
| 全称 | acyl-CoA wax alcohol acyltransferase 1 |
| 别名 | DGA2, DGAT2L3 |
| 计算分子量 | 328 aa, 38 kDa |
| 观测分子量 | 45 kDa |
| GenBank蛋白编号 | BC153034 |
| 基因名称 | AWAT1 |
| Gene ID (NCBI) | 158833 |
| 偶联类型 | Unconjugated |
| 形式 | Liquid |
| 纯化方式 | Antigen affinity purification |
| UNIPROT ID | Q58HT5 |
| 储存缓冲液 | PBS with 0.02% sodium azide and 50% glycerol, pH 7.3. |
| 储存条件 | Store at -20°C. Stable for one year after shipment. Aliquoting is unnecessary for -20oC storage. |
背景介绍
AWAT1 is an ER-localized acyltransferase specialized for wax ester biosynthesis in sebaceous and meibomian glands. By esterifying long-chain fatty acyl-CoAs with fatty alcohols, AWAT1 generates crucial lipids that maintain skin barrier function, sebaceous secretion, and tear film stability. Dysregulation of AWAT1 contributes to meibomian gland dysfunction, dry eye disease, and sebaceous lipid imbalance, positioning AWAT1 as a key enzymatic regulator of surface lipid homeostasis.
实验方案
| Product Specific Protocols | |
|---|---|
| IHC protocol for AWAT1 antibody 24704-1-AP | Download protocol |
| WB protocol for AWAT1 antibody 24704-1-AP | Download protocol |
| Standard Protocols | |
|---|---|
| Click here to view our Standard Protocols |

