验证数据展示
经过测试的应用
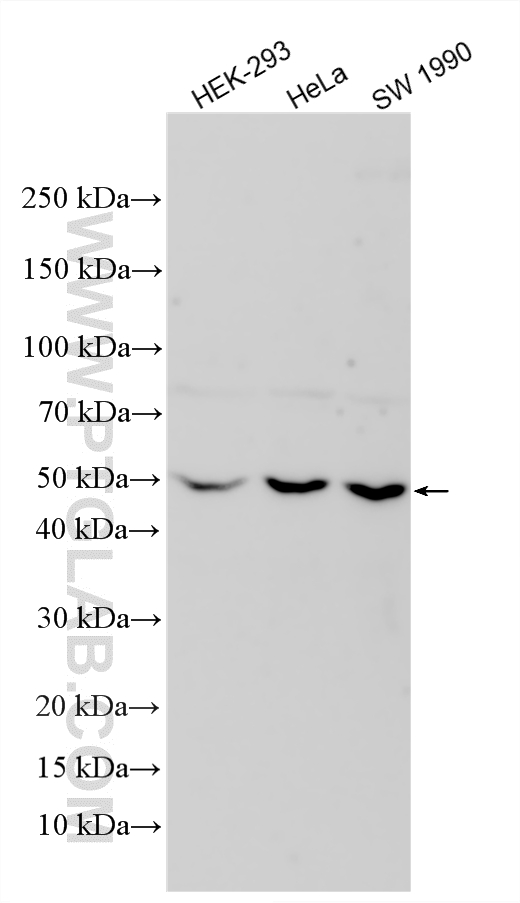
| Positive WB detected in | HEK-293 cells |
| Positive IF/ICC detected in | Caco-2 cells, HeLa cells |
推荐稀释比
| 应用 | 推荐稀释比 |
|---|---|
| Western Blot (WB) | WB : 1:500-1:2000 |
| Immunofluorescence (IF)/ICC | IF/ICC : 1:200-1:800 |
| It is recommended that this reagent should be titrated in each testing system to obtain optimal results. | |
| Sample-dependent, Check data in validation data gallery. | |
产品信息
28371-1-AP targets AURKA in WB, IHC, IF/ICC, ELISA applications and shows reactivity with human samples.
| 经测试应用 | WB, IF/ICC, ELISA Application Description |
| 文献引用应用 | WB, IHC, IF |
| 经测试反应性 | human |
| 文献引用反应性 | human |
| 免疫原 |
CatNo: Ag29006 Product name: Recombinant human AURKA protein Source: e coli.-derived, PGEX-4T Tag: GST Domain: 1-132 aa of BC002499 Sequence: MDRSKENCISGPVKATAPVGGPKRVLVTQQFPCQNPLPVNSGQAQRVLCPSNSSQRVPLQAQKLVSSHKPVQNQKQKQLQATSVPHPVSRPLNNTQKSKQPLPSAPENNPEEELASKQKNEESKKRQWALED 种属同源性预测 |
| 宿主/亚型 | Rabbit / IgG |
| 抗体类别 | Polyclonal |
| 产品类型 | Antibody |
| 全称 | aurora kinase A |
| 别名 | Aurora A, AIRK1, ARK-1, AURA, AURK |
| 计算分子量 | 46 kDa |
| 观测分子量 | 45-50 kDa |
| GenBank蛋白编号 | BC002499 |
| 基因名称 | AURKA |
| Gene ID (NCBI) | 6790 |
| RRID | AB_3086047 |
| 偶联类型 | Unconjugated |
| 形式 | Liquid |
| 纯化方式 | Antigen affinity purification |
| UNIPROT ID | O14965 |
| 储存缓冲液 | PBS with 0.02% sodium azide and 50% glycerol, pH 7.3. |
| 储存条件 | Store at -20°C. Stable for one year after shipment. Aliquoting is unnecessary for -20oC storage. |
背景介绍
AURKA(Aurora kinase A), also named as STK6, STK15 or AIK, belongs to the Ser/Thr protein kinase family. This protein may play a role in cell cycle regulation during anaphase and/or telophase by being involved in microtubule formation and/or stabilization. Some recent evidence revealed that AURKA may also be implicated in tumor development and progression. AURKA is expressed highly in testis and various proliferating cells, migrating as a 46 kDa protein in SDS PAGE.Nuclear staining for AURKA is weak or nonexistent in normal tissue but strong in tumor tissue(PMID:19107951).
实验方案
| Product Specific Protocols | |
|---|---|
| IF protocol for AURKA antibody 28371-1-AP | Download protocol |
| WB protocol for AURKA antibody 28371-1-AP | Download protocol |
| Standard Protocols | |
|---|---|
| Click here to view our Standard Protocols |



