验证数据展示
经过测试的应用
| Positive WB detected in | HeLa cells |
| Positive IP detected in | HeLa cells |
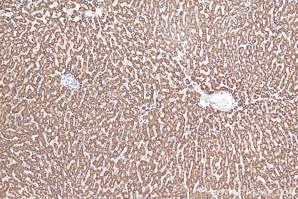
| Positive IHC detected in | human liver tissue Note: suggested antigen retrieval with TE buffer pH 9.0; (*) Alternatively, antigen retrieval may be performed with citrate buffer pH 6.0 |
| Positive IF/ICC detected in | HeLa cells, HepG2 cells |
推荐稀释比
| 应用 | 推荐稀释比 |
|---|---|
| Western Blot (WB) | WB : 1:500-1:2400 |
| Immunoprecipitation (IP) | IP : 0.5-4.0 ug for 1.0-3.0 mg of total protein lysate |
| Immunohistochemistry (IHC) | IHC : 1:50-1:500 |
| Immunofluorescence (IF)/ICC | IF/ICC : 1:50-1:500 |
| It is recommended that this reagent should be titrated in each testing system to obtain optimal results. | |
| Sample-dependent, Check data in validation data gallery. | |
产品信息
12067-1-AP targets ATPIF1 in WB, IHC, IF/ICC, IP, ELISA applications and shows reactivity with human samples.
| 经测试应用 | WB, IHC, IF/ICC, IP, ELISA Application Description |
| 文献引用应用 | WB, IHC, IF |
| 经测试反应性 | human |
| 文献引用反应性 | human |
| 免疫原 |
CatNo: Ag2704 Product name: Recombinant human ATPIF1 protein Source: e coli.-derived, PGEX-4T Tag: GST Domain: 1-106 aa of BC009677 Sequence: MAVTALAARTWLGVWGVRTMQARGFGSDQSENVDRGAGSIREAGGAFGKREQAEEERYFRAQSREQLAALKKHHEEEIVHHKKEIERLQKEIERHKQKIKMLKHDD 种属同源性预测 |
| 宿主/亚型 | Rabbit / IgG |
| 抗体类别 | Polyclonal |
| 产品类型 | Antibody |
| 全称 | ATPase inhibitory factor 1 |
| 别名 | ATP synthase F1 subunit epsilon, ATP5IF1, ATPase inhibitory factor 1, ATPI, ATPIP |
| 计算分子量 | 106 aa, 12 kDa |
| 观测分子量 | 12 kDa |
| GenBank蛋白编号 | BC009677 |
| 基因名称 | ATPIF1 |
| Gene ID (NCBI) | 93974 |
| RRID | AB_2063159 |
| 偶联类型 | Unconjugated |
| 形式 | Liquid |
| 纯化方式 | Antigen affinity purification |
| UNIPROT ID | Q9UII2 |
| 储存缓冲液 | PBS with 0.02% sodium azide and 50% glycerol, pH 7.3. |
| 储存条件 | Store at -20°C. Stable for one year after shipment. Aliquoting is unnecessary for -20oC storage. |
背景介绍
The H(+)-ATP synthase is a reversible engine of mitochondria that synthesizes or hydrolyzes ATP upon changes in cell physiology. ATP synthase dysfunction is involved in the onset and progression of diverse human pathologies. ATPIF1 gene encodes mitochondrial ATPase Inhibitory Factor 1 (IF1), also named ATPI, ATPIP or IP. Endogenous IF1 limits ATP depletion when the mitochondrial membrane potential falls below a threshold and the ATP synthase starts hydrolyzing ATP to pump protons out of the mitochondrial matrix. Mitochondrial content of IF1 controls the activity of oxidative phosphorylation mediating the shift of cancer cells to an enhanced aerobic glycolysis, thus supporting an oncogenic role of IF1 in cancer.
实验方案
| Product Specific Protocols | |
|---|---|
| IF protocol for ATPIF1 antibody 12067-1-AP | Download protocol |
| IHC protocol for ATPIF1 antibody 12067-1-AP | Download protocol |
| IP protocol for ATPIF1 antibody 12067-1-AP | Download protocol |
| WB protocol for ATPIF1 antibody 12067-1-AP | Download protocol |
| Standard Protocols | |
|---|---|
| Click here to view our Standard Protocols |
发表文章
| Species | Application | Title |
|---|---|---|
Nat Biotechnol Magnify is a universal molecular anchoring strategy for expansion microscopy | ||
Br J Pharmacol The compound BTB06584 is an IF1 -dependent selective inhibitor of the mitochondrial F1 Fo-ATPase. | ||
Cell Biosci ATPIF1 maintains normal mitochondrial structure which is impaired by CCM3 deficiency in endothelial cells. | ||
Lab Invest ATP synthase inhibitory factor subunit 1 regulates islet β-cell function via repression of mitochondrial homeostasis
| ||
Lab Invest ATP synthase inhibitory factor subunit 1 regulates islet β-cell function via repression of mitochondrial homeostasis.
| ||
Front Physiol F1F0-ATP Synthase Inhibitory Factor 1 in the Normal Pancreas and in Pancreatic Ductal Adenocarcinoma: Effects on Bioenergetics, Invasion and Proliferation. |





