验证数据展示
经过测试的应用
| Positive WB detected in | unboiled mouse lung tissue |
| Positive IP detected in | mouse lung tissue |
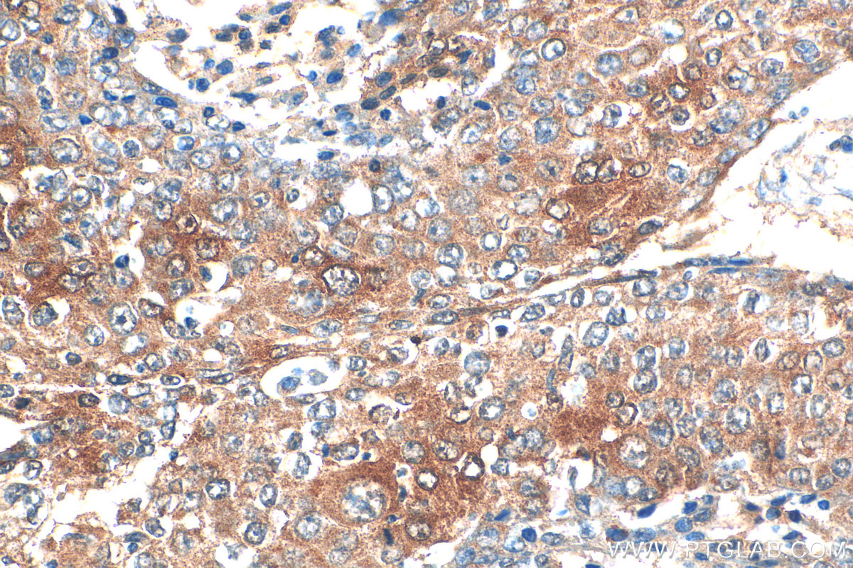
| Positive IHC detected in | human lung cancer tissue Note: suggested antigen retrieval with TE buffer pH 9.0; (*) Alternatively, antigen retrieval may be performed with citrate buffer pH 6.0 |
推荐稀释比
| 应用 | 推荐稀释比 |
|---|---|
| Western Blot (WB) | WB : 1:500-1:1000 |
| Immunoprecipitation (IP) | IP : 0.5-4.0 ug for 1.0-3.0 mg of total protein lysate |
| Immunohistochemistry (IHC) | IHC : 1:50-1:500 |
| It is recommended that this reagent should be titrated in each testing system to obtain optimal results. | |
| Sample-dependent, Check data in validation data gallery. | |
产品信息
55375-1-AP targets ATP7A-Specific in WB, IHC, IP, ELISA applications and shows reactivity with human, mouse samples.
| 经测试应用 | WB, IHC, IP, ELISA Application Description |
| 经测试反应性 | human, mouse |
| 免疫原 |
Peptide 种属同源性预测 |
| 宿主/亚型 | Rabbit / IgG |
| 抗体类别 | Polyclonal |
| 产品类型 | Antibody |
| 全称 | ATPase, Cu++ transporting, alpha polypeptide |
| 别名 | ATP7A, ATPase, Cu++ transporting, alpha polypeptide, Copper transporting ATPase 1 |
| 计算分子量 | 165 kDa |
| 观测分子量 | 170 kDa |
| GenBank蛋白编号 | NM_000052 |
| 基因名称 | ATP7A |
| Gene ID (NCBI) | 538 |
| 偶联类型 | Unconjugated |
| 形式 | Liquid |
| 纯化方式 | Antigen affinity purification |
| UNIPROT ID | Q04656 |
| 储存缓冲液 | PBS with 0.02% sodium azide and 50% glycerol, pH 7.3. |
| 储存条件 | Store at -20°C. Stable for one year after shipment. Aliquoting is unnecessary for -20oC storage. |
背景介绍
ATPase copper transporting alpha(ATP7A) is a type of transmembrane P-type ATPase for copper transport. ATP7A and ATP7B are homologous genes responsible for copper transport across cell membranes. ATP7A transports copper ions from the Golgi membrane to copper-dependent enzymes (such as dopamine β-hydroxylase) in the secretory pathway. When copper ion concentrations rise, ATP7A relocalizes from the Golgi apparatus to the plasma membrane, promoting copper efflux and thereby protecting cells from copper toxicity. Mutations in ATP7A are associated with Menkes disease (MNK)( PMID: 28389643, 30341172).
实验方案
| Product Specific Protocols | |
|---|---|
| IHC protocol for ATP7A-Specific antibody 55375-1-AP | Download protocol |
| IP protocol for ATP7A-Specific antibody 55375-1-AP | Download protocol |
| WB protocol for ATP7A-Specific antibody 55375-1-AP | Download protocol |
| Standard Protocols | |
|---|---|
| Click here to view our Standard Protocols |


