验证数据展示
经过测试的应用
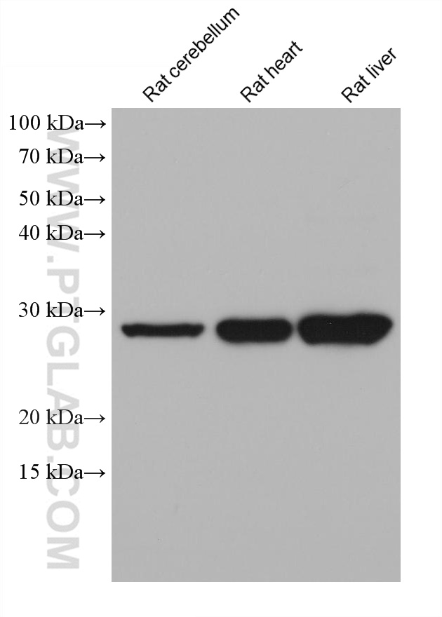
| Positive WB detected in | rat cerebellum tissue, Rat heart tissue, Rat liver tissue |
推荐稀释比
| 应用 | 推荐稀释比 |
|---|---|
| Western Blot (WB) | WB : 1:5000-1:50000 |
| It is recommended that this reagent should be titrated in each testing system to obtain optimal results. | |
| Sample-dependent, Check data in validation data gallery. | |
发表文章中的应用
| WB | See 3 publications below |
产品信息
68442-1-Ig targets ATP6 in WB, ELISA applications and shows reactivity with Human, Rat samples.
| 经测试应用 | WB, ELISA Application Description |
| 文献引用应用 | WB |
| 经测试反应性 | Human, Rat |
| 文献引用反应性 | human, rat |
| 免疫原 |
CatNo: Ag31940 Product name: Recombinant human ATP6 protein Source: e coli.-derived, PET28a Tag: 6*His Domain: 26-68 aa of YP_003024031 Sequence: FPPLLIPTSKYLINNRLITTQQWLIKLTSKQMMTMHNTKGRTW 种属同源性预测 |
| 宿主/亚型 | Mouse / IgG1 |
| 抗体类别 | Monoclonal |
| 产品类型 | Antibody |
| 全称 | ATP synthase 6; ATPase subunit 6 |
| 别名 | ATP synthase subunit a, ATP6, ATPASE6, F ATPase protein 6, MT ATP6, MTATP6 |
| 计算分子量 | 25 kDa |
| 观测分子量 | 25-30 kDa |
| GenBank蛋白编号 | YP_003024031 |
| 基因名称 | ATP6 |
| Gene ID (NCBI) | 4508 |
| RRID | AB_3085155 |
| 偶联类型 | Unconjugated |
| 形式 | Liquid |
| 纯化方式 | Protein G purification |
| UNIPROT ID | P00846 |
| 储存缓冲液 | PBS with 0.02% sodium azide and 50% glycerol, pH 7.3. |
| 储存条件 | Store at -20°C. Stable for one year after shipment. Aliquoting is unnecessary for -20oC storage. |
背景介绍
ATP synthase, also known as FoF1 complex, is a critical mitochondrial OXPHOS enzyme involved in the regulation of mitochondrial ATP production and in the maintenance of the mitochondrial membrane potential. It is composed of three components (F1, Fo and the peripheral stalk). F1, the soluble catalytic core, is above the membrane, inside the matrix of the mitochondria; consists of 5 different subunits (alpha, beta, gamma, delta, and epsilon); Fo, comprising the proton channel, is within the membrane; Fo seems to have nine subunits (a, b, c, d, e, f, g, F6 and 8). ATP6 is the a subunit of Fo region.
实验方案
| Product Specific Protocols | |
|---|---|
| WB protocol for ATP6 antibody 68442-1-Ig | Download protocol |
| Standard Protocols | |
|---|---|
| Click here to view our Standard Protocols |
发表文章
| Species | Application | Title |
|---|---|---|
J Hazard Mater ZLN005 alleviates PBDE-47 induced impairment of mitochondrial translation and neurotoxicity through PGC-1α/ERRα axis | ||
J Biol Chem Leber's hereditary optic neuropathy-associated ND1 3733G>C mutation ameliorates the mitochondrial quality control and cellular homeostasis | ||
Cell Commun Signal Mitochondrial ribosomal protein L12 mediates metabolic reorganization in clear cell renal cell carcinoma by regulating mitochondrial biosynthesis |
