验证数据展示
经过测试的应用
| Positive WB detected in | mouse liver tissue, rat liver tissue |
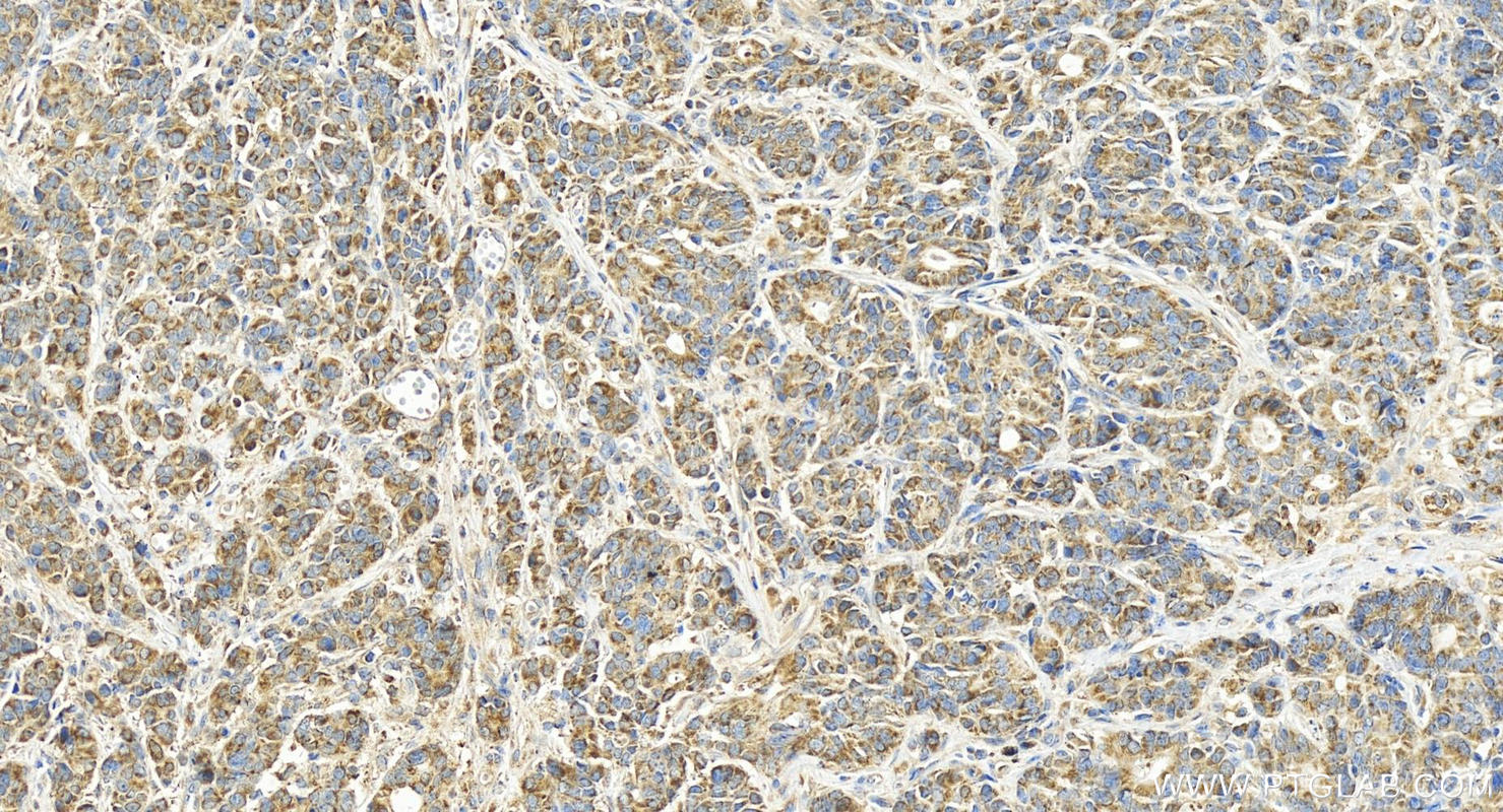
| Positive IHC detected in | human stomach cancer tissue Note: suggested antigen retrieval with TE buffer pH 9.0; (*) Alternatively, antigen retrieval may be performed with citrate buffer pH 6.0 |
推荐稀释比
| 应用 | 推荐稀释比 |
|---|---|
| Western Blot (WB) | WB : 1:1000-1:4000 |
| Immunohistochemistry (IHC) | IHC : 1:200-1:800 |
| It is recommended that this reagent should be titrated in each testing system to obtain optimal results. | |
| Sample-dependent, Check data in validation data gallery. | |
发表文章中的应用
| WB | See 4 publications below |
产品信息
16307-1-AP targets ATP5L in WB, IHC, ELISA applications and shows reactivity with human, mouse, rat samples.
| 经测试应用 | WB, IHC, ELISA Application Description |
| 文献引用应用 | WB |
| 经测试反应性 | human, mouse, rat |
| 文献引用反应性 | human, mouse, rat |
| 免疫原 |
CatNo: Ag9287 Product name: Recombinant human ATP5L protein Source: e coli.-derived, PGEX-4T Tag: GST Domain: 1-103 aa of BC015128 Sequence: MAQFVRNLVEKTPALVNAAVTYSKPRLATFWYYAKVELVPPTPAEIPRAIQSLKKIANSAQTGSFKQLTVKEAVLNGLVATEVLMWFYVGEIIGKRGIIGYDV 种属同源性预测 |
| 宿主/亚型 | Rabbit / IgG |
| 抗体类别 | Polyclonal |
| 产品类型 | Antibody |
| 全称 | ATP synthase, H+ transporting, mitochondrial F0 complex, subunit G |
| 别名 | ATP synthase membrane subunit g, ATP5JG, ATP5MG, ATPase subunit g |
| 计算分子量 | 11 kDa |
| 观测分子量 | 11 kDa |
| GenBank蛋白编号 | BC015128 |
| 基因名称 | ATP5L |
| Gene ID (NCBI) | 10632 |
| RRID | AB_10699871 |
| 偶联类型 | Unconjugated |
| 形式 | Liquid |
| 纯化方式 | Antigen affinity purification |
| UNIPROT ID | O75964 |
| 储存缓冲液 | PBS with 0.02% sodium azide and 50% glycerol, pH 7.3. |
| 储存条件 | Store at -20°C. Stable for one year after shipment. Aliquoting is unnecessary for -20oC storage. |
背景介绍
Mitochondrial membrane ATP synthase (F1-Fo ATP synthase or Complex V) produces ATP from ADP in the presence of a proton gradient across the membrane which is generated by electron transport complexes of the respiratory chain. It is composed of the soluble catalytic core, F1, and the membrane-spanning component and Fo, which comprises the proton channel. The Fo seems to have nine subunits (a, b, c, d, e, f, g, F6 and 8). ATP5L gene encodes ATP synthase subunit g of the Fo complex.
实验方案
| Product Specific Protocols | |
|---|---|
| IHC protocol for ATP5L antibody 16307-1-AP | Download protocol |
| WB protocol for ATP5L antibody 16307-1-AP | Download protocol |
| Standard Protocols | |
|---|---|
| Click here to view our Standard Protocols |
发表文章
| Species | Application | Title |
|---|---|---|
EBioMedicine Mitochonic Acid 5 (MA-5) Facilitates ATP Synthase Oligomerization and Cell Survival in Various Mitochondrial Diseases. | ||
J Proteome Res Quantitative proteome of medulla oblongata in spontaneously hypertensive rats. | ||
Front Cell Dev Biol Multi-omics study on the effect of moderate-intensity exercise on protein lactylation in mouse muscle tissue |

