验证数据展示
经过测试的应用
| Positive WB detected in | HepG2 cells, U-251 cells, A431 cells, human heart tissue |
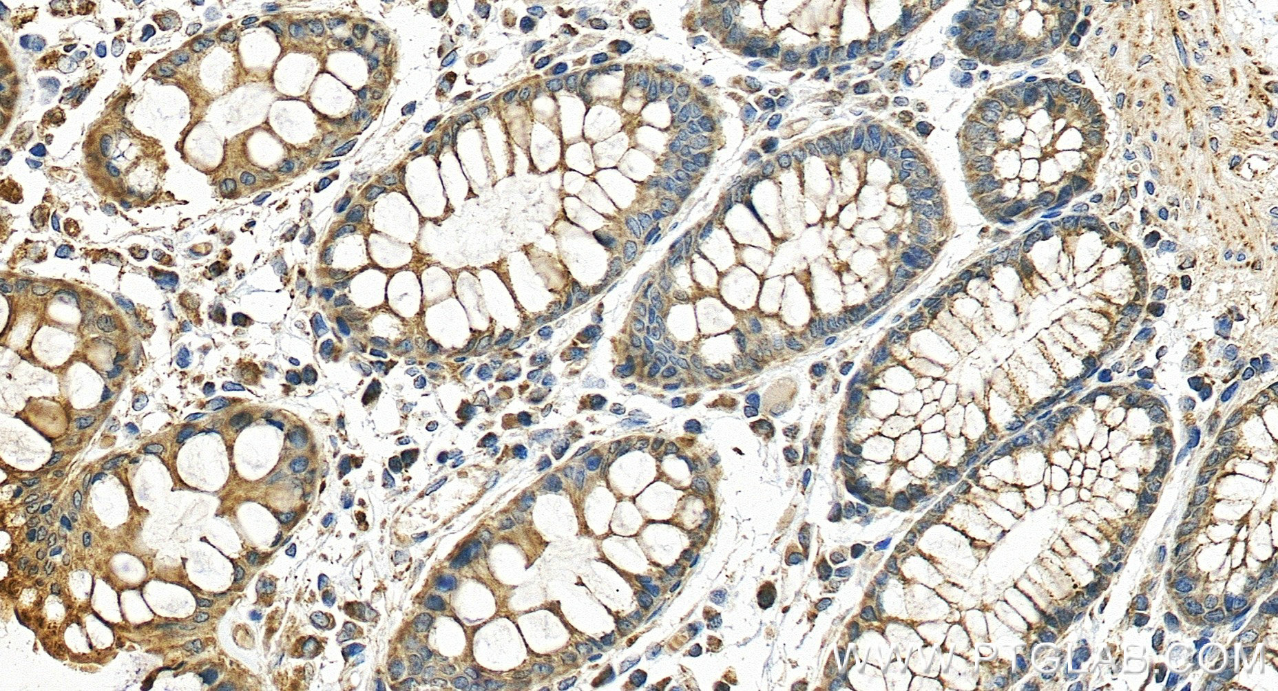
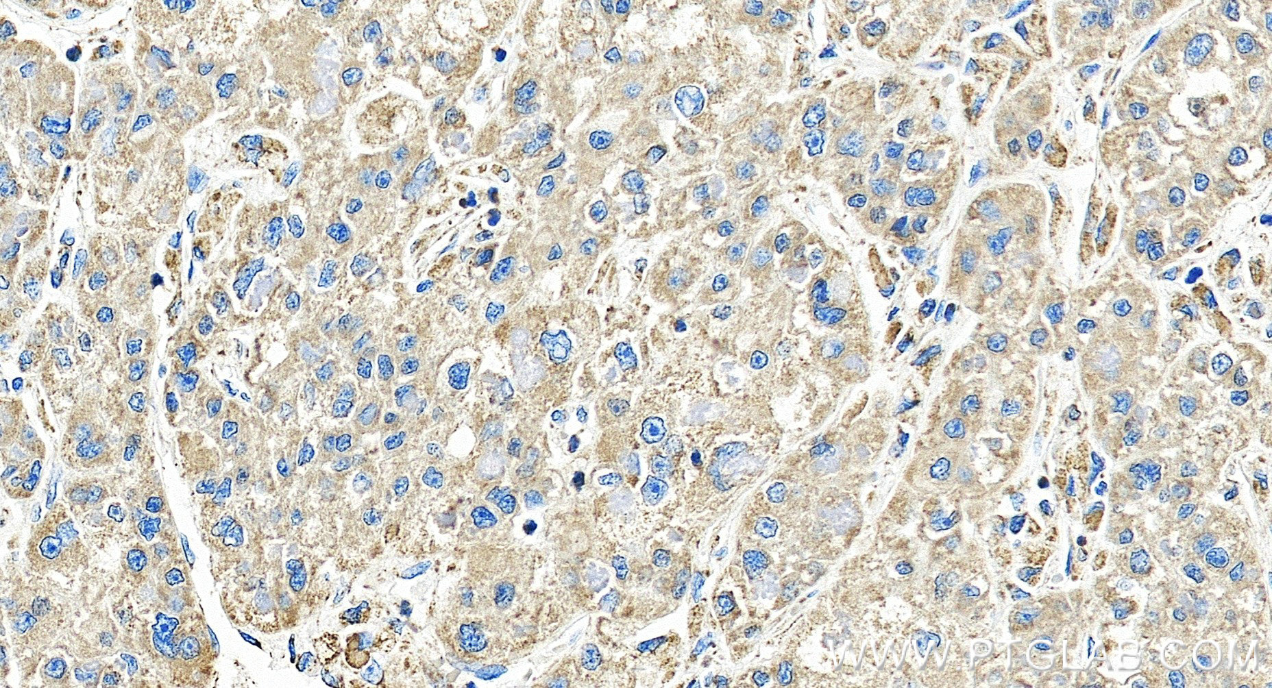
| Positive IHC detected in | human colon tissue, human liver cancer tissue Note: suggested antigen retrieval with TE buffer pH 9.0; (*) Alternatively, antigen retrieval may be performed with citrate buffer pH 6.0 |
| Positive IF/ICC detected in | HeLa cells |
推荐稀释比
| 应用 | 推荐稀释比 |
|---|---|
| Western Blot (WB) | WB : 1:1000-1:6000 |
| Immunohistochemistry (IHC) | IHC : 1:500-1:2000 |
| Immunofluorescence (IF)/ICC | IF/ICC : 1:500-1:2000 |
| It is recommended that this reagent should be titrated in each testing system to obtain optimal results. | |
| Sample-dependent, Check data in validation data gallery. | |
产品信息
86218-2-RR targets ATP5I in WB, IHC, IF/ICC, ELISA applications and shows reactivity with human samples.
| 经测试应用 | WB, IHC, IF/ICC, ELISA Application Description |
| 经测试反应性 | human |
| 免疫原 |
CatNo: Ag9605 Product name: Recombinant human ATP5I protein Source: e coli.-derived, PGEX-4T Tag: GST Domain: 1-69 aa of BC003679 Sequence: MVPPVQVSPLIKLGRYSALFLGVAYGATRYNYLKPRAEEERRIAAEEKKKQDELKRIARELAEDDSILK 种属同源性预测 |
| 宿主/亚型 | Rabbit / IgG |
| 抗体类别 | Recombinant |
| 产品类型 | Antibody |
| 全称 | ATP synthase, H+ transporting, mitochondrial F0 complex, subunit E |
| 别名 | ATP synthase membrane subunit e, ATP synthase subunit e, mitochondrial, N-terminally processed, ATP5K, ATP5ME, ATPase subunit e |
| 计算分子量 | 69 aa, 8 kDa |
| 观测分子量 | 8 kDa |
| GenBank蛋白编号 | BC003679 |
| 基因名称 | ATP5I |
| Gene ID (NCBI) | 521 |
| RRID | AB_3744723 |
| 偶联类型 | Unconjugated |
| 形式 | Liquid |
| 纯化方式 | Protein A purification |
| UNIPROT ID | P56385 |
| 储存缓冲液 | PBS with 0.02% sodium azide and 50% glycerol, pH 7.3. |
| 储存条件 | Store at -20°C. Stable for one year after shipment. Aliquoting is unnecessary for -20oC storage. |
背景介绍
ATP5I(ATP synthase subunit e) is also named as ATP5K and belongs to the ATPase e subunit family. The ATP5I gene encodes the e subunit of the mitochondrial ATP synthase Fo complex. Mitochondrial membrane ATP synthase(F1F0 ATP synthase or Complex V) produces ATP from ADP in the presence of a proton gradient across the membrane which is generated by electron transport complexes of the respiratory chain. Antisense ATP5I in a human HCC cell line inhibited cell growth suggesting that ATP5I acts through the MAP kinase pathway(PMID:11939412).
实验方案
| Product Specific Protocols | |
|---|---|
| IF protocol for ATP5I antibody 86218-2-RR | Download protocol |
| IHC protocol for ATP5I antibody 86218-2-RR | Download protocol |
| WB protocol for ATP5I antibody 86218-2-RR | Download protocol |
| Standard Protocols | |
|---|---|
| Click here to view our Standard Protocols |






