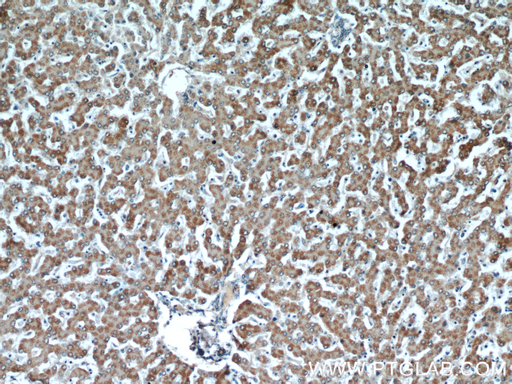
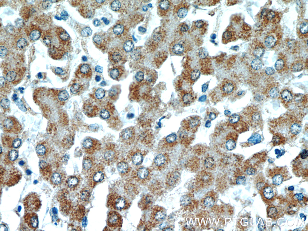
验证数据展示
产品信息
66037-1-PBS targets ATP5A1 in WB, IHC, IF/ICC, IP, Indirect ELISA applications and shows reactivity with human, mouse, rat, monkey samples.
| 经测试应用 | WB, IHC, IF/ICC, IP, Indirect ELISA Application Description |
| 经测试反应性 | human, mouse, rat, monkey |
| 免疫原 |
CatNo: Ag8119 Product name: Recombinant human ATP5A1 protein Source: e coli.-derived, PET28a Tag: 6*His Domain: 203-553 aa of BC064562 Sequence: GRGQRELIIGDRQTGKTSIAIDTIINQKRFNDGSDEKKKLYCIYVAIGQKRSTVAQLVKRLTDADAMKYTIVVSATASDAAPLQYLAPYSGCSMGEYFRDNGKHALIIYDDLSKQAVAYRQMSLLLRRPPGREAYPGDVFYLHSRLLERAAKMNDAFGGGSLTALPVIETQAGDVSAYIPTNVISITDGQIFLETELFYKGIRPAINVGLSVSRVGSAAQTRAMKQVAGTMKLELAQYREVAAFAQFGSDLDAATQQLLSRGVRLTELLKQGQYSPMAIEEQVAVIYAGVRGYLDKLEPSKITKFENAFLSHVVSQHQALLGTIRADGKISEQSDAKLKEIVTNFLAGFEA 种属同源性预测 |
| 宿主/亚型 | Mouse / IgG2b |
| 抗体类别 | Monoclonal |
| 产品类型 | Antibody |
| 全称 | ATP synthase, H+ transporting, mitochondrial F1 complex, alpha subunit 1, cardiac muscle |
| 别名 | 1B10H3, ATP synthase F1 subunit alpha, ATP5A, ATP5A 1 |
| 计算分子量 | 60 kDa |
| 观测分子量 | 50 kDa |
| GenBank蛋白编号 | BC064562 |
| 基因名称 | ATP5A1 |
| Gene ID (NCBI) | 498 |
| RRID | AB_11044196 |
| 偶联类型 | Unconjugated |
| 形式 | Liquid |
| 纯化方式 | Protein A purification |
| UNIPROT ID | P25705 |
| 储存缓冲液 | PBS only, pH 7.3. |
| 储存条件 | Store at -80°C. The product is shipped with ice packs. Upon receipt, store it immediately at -80°C |
背景介绍
The ATP5A1 gene encodes the α subunit of mitochondrial ATP synthase which produces ATP from ADP in the presence of a proton gradient across the membrane. The mitochondrial ATP synthase, also known as Complex V or F1F0 ATP synthase, is a multi-subunit enzyme complex consisting of two functional domains, the F1-containing the catalytic core and the Fo- containing the membrane proton channel. F0 domain has 10 subunits: a, b, c, d, e, f, g, OSCP, A6L, and F6. F1 is composed of subunits α, β, γ, δ, ε, and a loosely attached inhibitor protein IF1. Recently defect in ATP5A1 has been linked to the fatal neonatal mitochondrial encephalopathy. ATP5A1 is localized in the mitochondria and anti-ATP5A1 can be used as the loading control for mitochondrial or Complex V proteins. This antibody recognizes the endogenous ATP5A1 protein in lysates from various cell lines and tissues. The predicted MW of ATP5A1 is 60 kDa, while it undergoes the transit peptide cleavage to become a mature form around 50-55 kDa. Several isoforms of ATP5A1 exist due to the alternative splicing.














