验证数据展示
经过测试的应用
| Positive WB detected in | Jurkat cells, THP-1 cells |
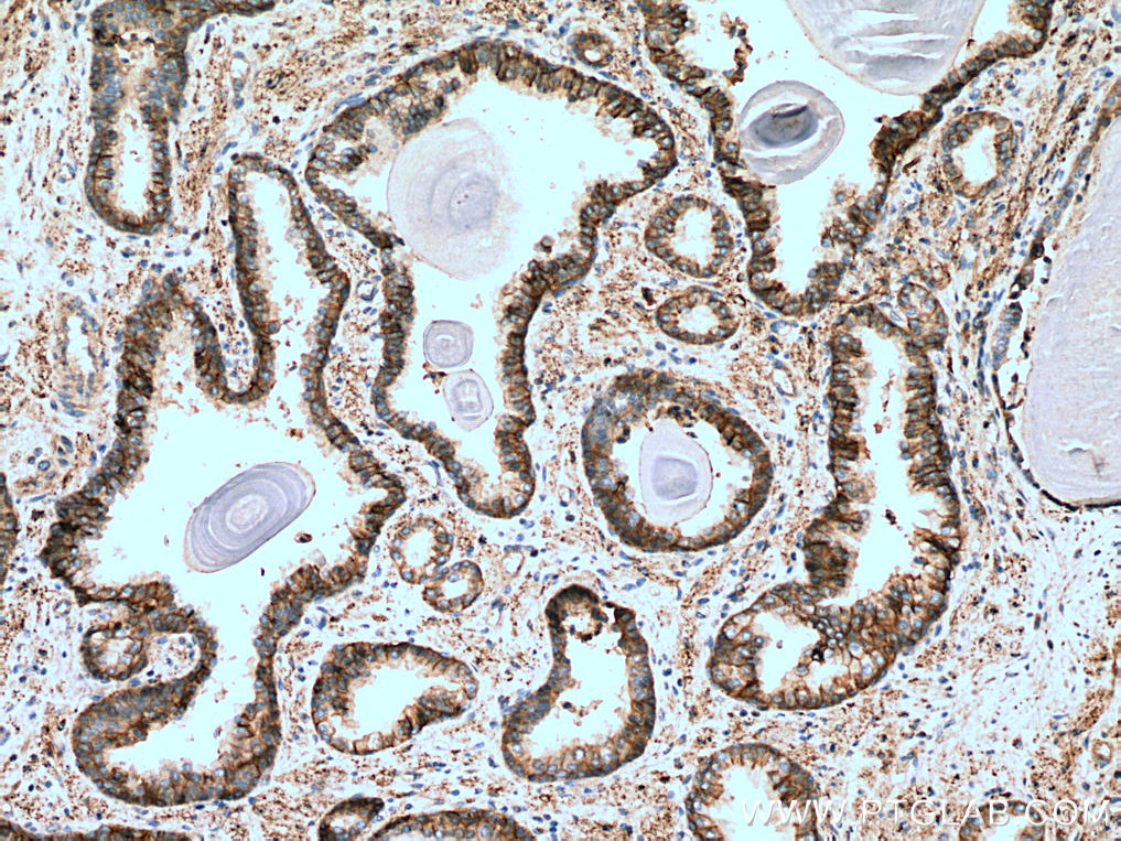
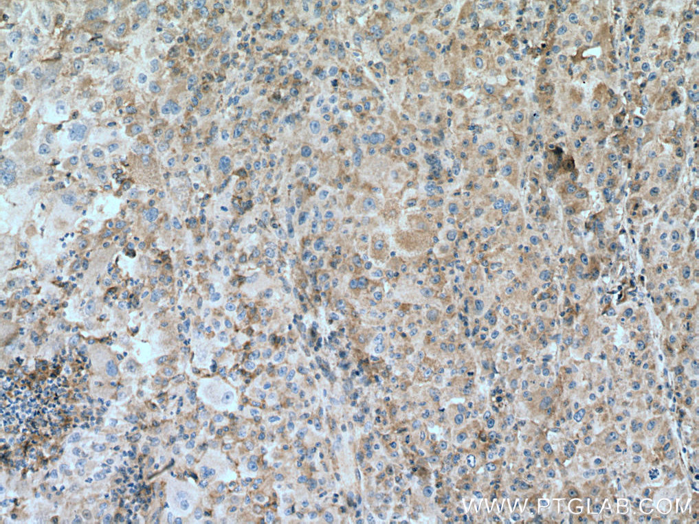
| Positive IHC detected in | human prostate cancer tissue, human liver cancer tissue Note: suggested antigen retrieval with TE buffer pH 9.0; (*) Alternatively, antigen retrieval may be performed with citrate buffer pH 6.0 |
| Positive IF/ICC detected in | A431 cells |
推荐稀释比
| 应用 | 推荐稀释比 |
|---|---|
| Western Blot (WB) | WB : 1:1000-1:4000 |
| Immunohistochemistry (IHC) | IHC : 1:50-1:500 |
| Immunofluorescence (IF)/ICC | IF/ICC : 1:50-1:500 |
| It is recommended that this reagent should be titrated in each testing system to obtain optimal results. | |
| Sample-dependent, Check data in validation data gallery. | |
发表文章中的应用
| KD/KO | See 1 publications below |
| WB | See 3 publications below |
产品信息
11142-1-AP targets ATP1B3 in WB, IHC, IF/ICC, ELISA applications and shows reactivity with human samples.
| 经测试应用 | WB, IHC, IF/ICC, ELISA Application Description |
| 文献引用应用 | WB |
| 经测试反应性 | human |
| 文献引用反应性 | human |
| 免疫原 |
CatNo: Ag1589 Product name: Recombinant human ATP1B3 protein Source: e coli.-derived, PGEX-4T Tag: GST Domain: 1-279 aa of BC011835 Sequence: MTKNEKKSLNQSLAEWKLFIYNPTTGEFLGRTAKSWGLILLFYLVFYGFLAALFSFTMWVMLQTLNDEVPKYRDQIPSPGLMVFPKPVTALEYTFSRSDPTSYAGYIEDLKKFLKPYTLEEQKNLTVCPDGALFEQKGPVYVACQFPISLLQACSGMNDPDFGYSQGNPCILVKMNRIIGLKPEGVPRIDCVSKNEDIPNVAVYPHNGMIDLKYFPYYGKKLHVGYLQPLVAVQVSFAPNNTGKEVTVECKIDGSANLKSQDDRDKFLGRVMFKITARA 种属同源性预测 |
| 宿主/亚型 | Rabbit / IgG |
| 抗体类别 | Polyclonal |
| 产品类型 | Antibody |
| 全称 | ATPase, Na+/K+ transporting, beta 3 polypeptide |
| 别名 | ATPB 3, ATPB-3, CD298, Sodium/potassium-dependent ATPase subunit beta-3, Sodium/potassium-transporting ATPase subunit beta-3 |
| 计算分子量 | 32 kDa |
| 观测分子量 | 32-43 kDa |
| GenBank蛋白编号 | BC011835 |
| 基因名称 | ATP1B3 |
| Gene ID (NCBI) | 483 |
| RRID | AB_2274459 |
| 偶联类型 | Unconjugated |
| 形式 | Liquid |
| 纯化方式 | Antigen affinity purification |
| UNIPROT ID | P54709 |
| 储存缓冲液 | PBS with 0.02% sodium azide and 50% glycerol, pH 7.3. |
| 储存条件 | Store at -20°C. Stable for one year after shipment. Aliquoting is unnecessary for -20oC storage. |
背景介绍
ATP1B3 (also known as CD298) is the β3 subunit of Na+/K+-ATPase which functions to maintain sodium and potassium gradients across membranes involved in cellular activities. ATP1B3 is a glycosylated protein and there are fully and intermediately glycosylated forms of ATP1B3 in mammalian cells. The predicted MW of ATP1B3 is around 32 kDa, while various forms (38-43 kDa) can be observed due to the different level of glycosylation (PMID: 30792309, 16339171, 17176442).
实验方案
| Product Specific Protocols | |
|---|---|
| IF protocol for ATP1B3 antibody 11142-1-AP | Download protocol |
| IHC protocol for ATP1B3 antibody 11142-1-AP | Download protocol |
| WB protocol for ATP1B3 antibody 11142-1-AP | Download protocol |
| Standard Protocols | |
|---|---|
| Click here to view our Standard Protocols |
发表文章
| Species | Application | Title |
|---|---|---|
Cell Rep ATP6V0D1 promotes alkaliptosis by blocking STAT3-mediated lysosomal pH homeostasis | ||
Front Oncol ATP1B3 may promote glioma proliferation and migration through MAPK/NF-KB signaling pathway | ||
Sci Rep Cell-specific α and β subunit expression patterns of Na+/K+-ATPases in the common marmoset cochlea | ||
J Hepatocell Carcinoma Integrative Multi-Omics and Functional Validation Reveal the Role of the TACE Refractoriness-Associated Gene ATP1B3 in Hepatocellular Carcinoma.
|





