验证数据展示
经过测试的应用
| Positive WB detected in | 37°C incubated HEK-293 cells, 37°C incubated mouse brain tissue, 37°C incubated HeLa cells | 
| Positive IP detected in | HEK-293 cells | 
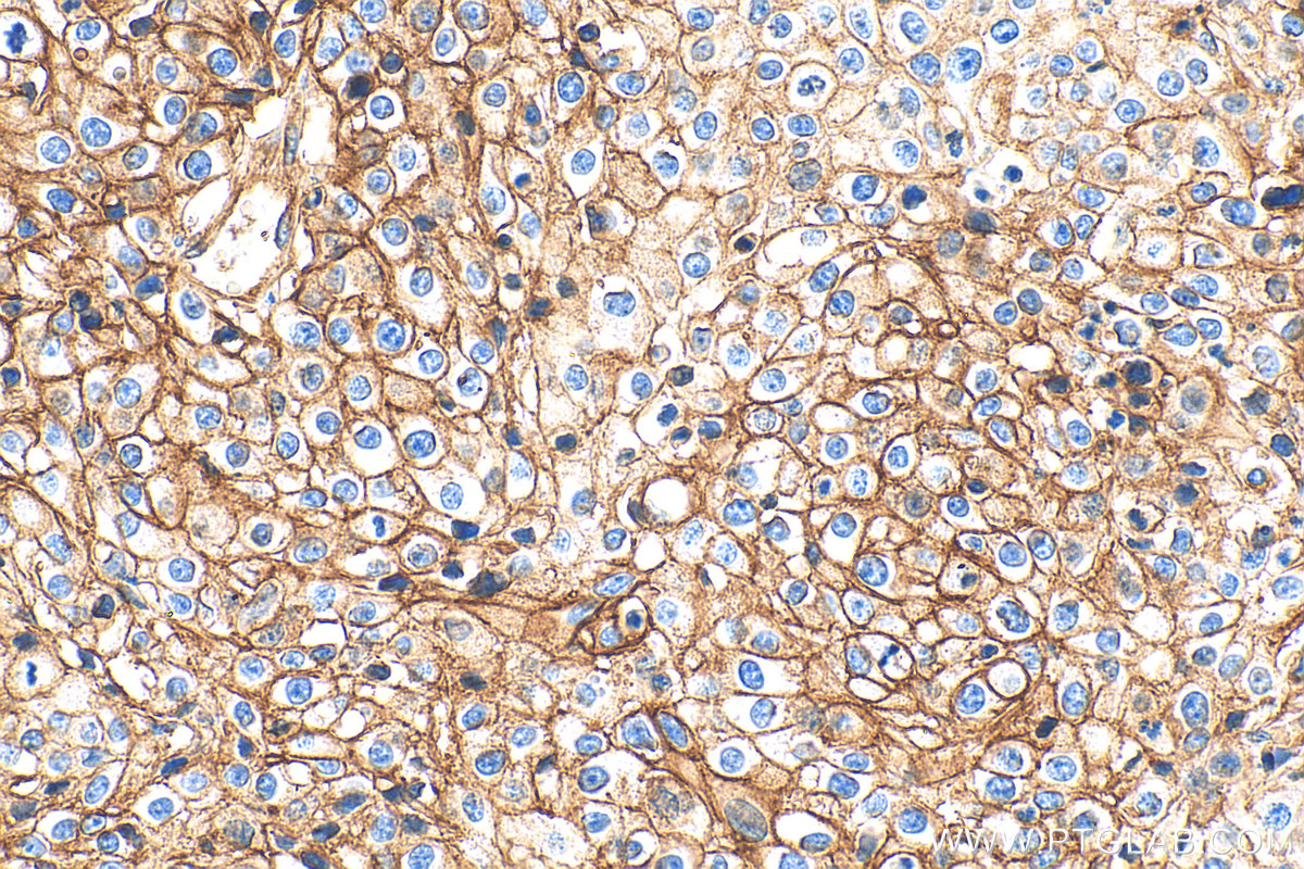
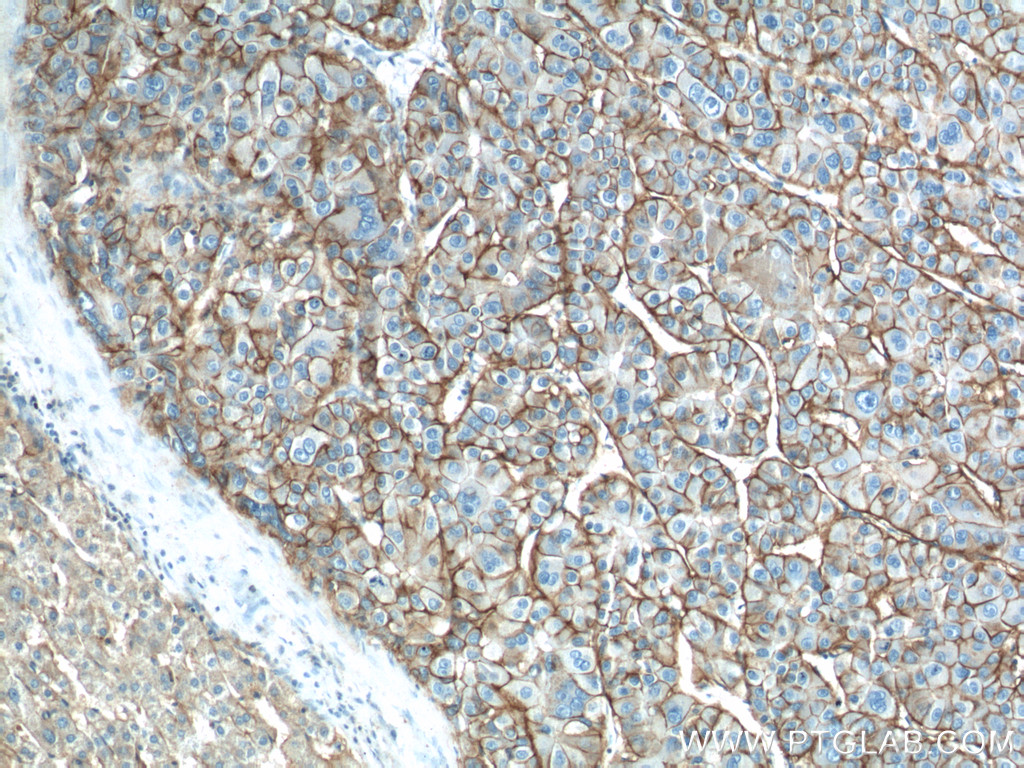
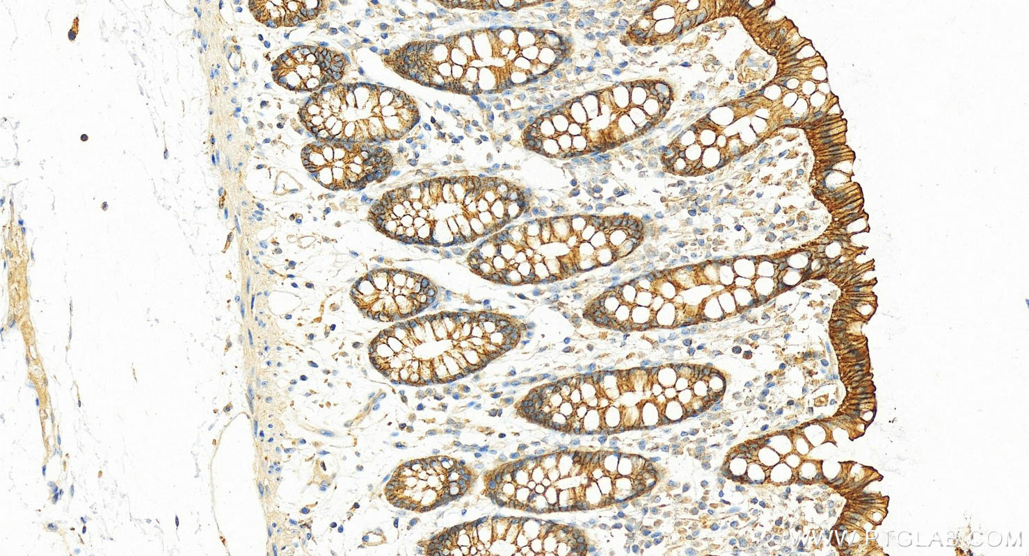
| Positive IHC detected in | human cervical cancer tissue, human colon tissue,  human liver cancer tissue,  human ovary tumor tissue Note: suggested antigen retrieval with TE buffer pH 9.0; (*) Alternatively, antigen retrieval may be performed with citrate buffer pH 6.0 | 
| Positive IF-P detected in | human ovary tumor tissue, human cervical cancer tissue | 
| Positive IF/ICC detected in | Caco-2 cells, HEK-293 cells | 
| Positive FC (Intra) detected in | HEK-293 cells | 
| Positive CoIP detected in | A431 cells | 
For optimal WB detection with 14418-1-AP, we do not recommend boiling the sample after lysis.
推荐稀释比
| 应用 | 推荐稀释比 | 
|---|---|
| Western Blot (WB) | WB : 1:5000-1:50000 | 
| Immunoprecipitation (IP) | IP : 0.5-4.0 ug for 1.0-3.0 mg of total protein lysate | 
| Immunohistochemistry (IHC) | IHC : 1:2000-1:8000 | 
| Immunofluorescence (IF)-P | IF-P : 1:500-1:2000 | 
| Immunofluorescence (IF)/ICC | IF/ICC : 1:400-1:1600 | 
| Flow Cytometry (FC) (INTRA) | FC (INTRA) : 0.40 ug per 10^6 cells in a 100 µl suspension | 
| Co-Immunoprecipitation (CoIP) | COIP : 0.5-4.0 ug for 1.0-3.0 mg of total protein lysate | 
| It is recommended that this reagent should be titrated in each testing system to obtain optimal results. | |
| Sample-dependent, Check data in validation data gallery. | |
产品信息
14418-1-AP targets ATP1A1 in WB, IHC, IF/ICC, IF-P, FC (Intra), IP, CoIP, ELISA applications and shows reactivity with human, mouse, rat samples.
| 经测试应用 | WB, IHC, IF/ICC, IF-P, FC (Intra), IP, CoIP, ELISA Application Description | 
| 文献引用应用 | WB, IHC, IF, IP, CoIP | 
| 经测试反应性 | human, mouse, rat | 
| 文献引用反应性 | human, mouse, rat, pig, chicken, bovine | 
| 免疫原 | CatNo: Ag5763 Product name: Recombinant human ATP1A1 protein Source: e coli.-derived, PGEX-4T Tag: GST Domain: 347-681 aa of BC050359 Sequence: TAKRMARKNCLVKNLEAVETLGSTSTICSDKTGTLTQNRMTVAHMWFDNQIHEADTTENQSGVSFDKTSATWLALSRIAGLCNRAVFQANQENLPILKRAVAGDASESALLKCIELCCGSVKEMRERYAKIVEIPFNSTNKYQLSIHKNPNTSEPQHLLVMKGAPERILDRCSSILLHGKEQPLDEELKDAFQNAYLELGGLGERVLGFCHLFLPDEQFPEGFQFDTDDVNFPIDNLCFVGLISMIDPPRAAVPDAVGKCRSAGIKVIMVTGDHPITAKAIAKGVGIISEGNETVEDIAARLNIPVSQVNPRDAKACVVHGSDLKDMTSEQLDDI种属同源性预测 | 
| 宿主/亚型 | Rabbit / IgG | 
| 抗体类别 | Polyclonal | 
| 产品类型 | Antibody | 
| 全称 | ATPase, Na+/K+ transporting, alpha 1 polypeptide | 
| 别名 | ATP1A 1, Atpa 1, EC:7.2.2.13, Na(+)/K(+) ATPase 1, Na(+)/K(+) ATPase alpha-1 subunit | 
| 计算分子量 | 113 kDa | 
| 观测分子量 | 100-110 kDa | 
| GenBank蛋白编号 | BC050359 | 
| 基因名称 | ATP1A1 | 
| Gene ID (NCBI) | 476 | 
| ENSEMBL Gene ID | ENSG00000163399 | 
| RRID | AB_2227873 | 
| 偶联类型 | Unconjugated | 
| 形式 | Liquid | 
| 纯化方式 | Antigen affinity purification | 
| UNIPROT ID | P05023 | 
| 储存缓冲液 | PBS with 0.02% sodium azide and 50% glycerol, pH 7.3. | 
| 储存条件 | Store at -20°C. Stable for one year after shipment. Aliquoting is unnecessary for -20oC storage. | 
背景介绍
ATP1A1 is the catalytic component of Na+/K+-ATPase which is a membrane bound enzyme primarily involved in generation of Na+ and K+ gradients across plasma membranes and in determination of cytoplasmic Na+ levels. ATP1A1 is a ubiquitously expressed membrane protein and often used as the marker or internal control for plasma membrane protein. For optimal WB detection of this membrane protein, we recommend to avoid boiling the sample after lysis.
实验方案
| Product Specific Protocols | |
|---|---|
| IF protocol for ATP1A1 antibody 14418-1-AP | Download protocol | 
| IHC protocol for ATP1A1 antibody 14418-1-AP | Download protocol | 
| IP protocol for ATP1A1 antibody 14418-1-AP | Download protocol | 
| WB protocol for ATP1A1 antibody 14418-1-AP | Download protocol | 
| Standard Protocols | |
|---|---|
| Click here to view our Standard Protocols | 
发表文章
| Species | Application | Title | 
|---|---|---|
| Immunity Disruption of the Na+/K+-ATPase-purinergic P2X7 receptor complex in microglia promotes stress-induced anxiety | ||
| Adv Mater Ultrasound Imaging of Tumor Vascular CD93 with MMRN2 Modified Microbubbles for Immune Microenvironment Prediction | ||
| ACS Nano Biomimetic Nanomedicine Targeting Orchestrated Metabolism Coupled with Regulatory Factors to Disrupt the Metabolic Plasticity of Breast Cancer | ||
| Mol Cell MLKL activity requires a splicing-regulated, druggable intramolecular interaction | ||
| Adv Sci (Weinh) Ultrasound Responsive Nanovaccine Armed with Engineered Cancer Cell Membrane and RNA to Prevent Foreseeable Metastasis | 


















