验证数据展示
经过测试的应用
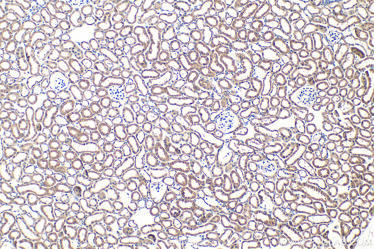
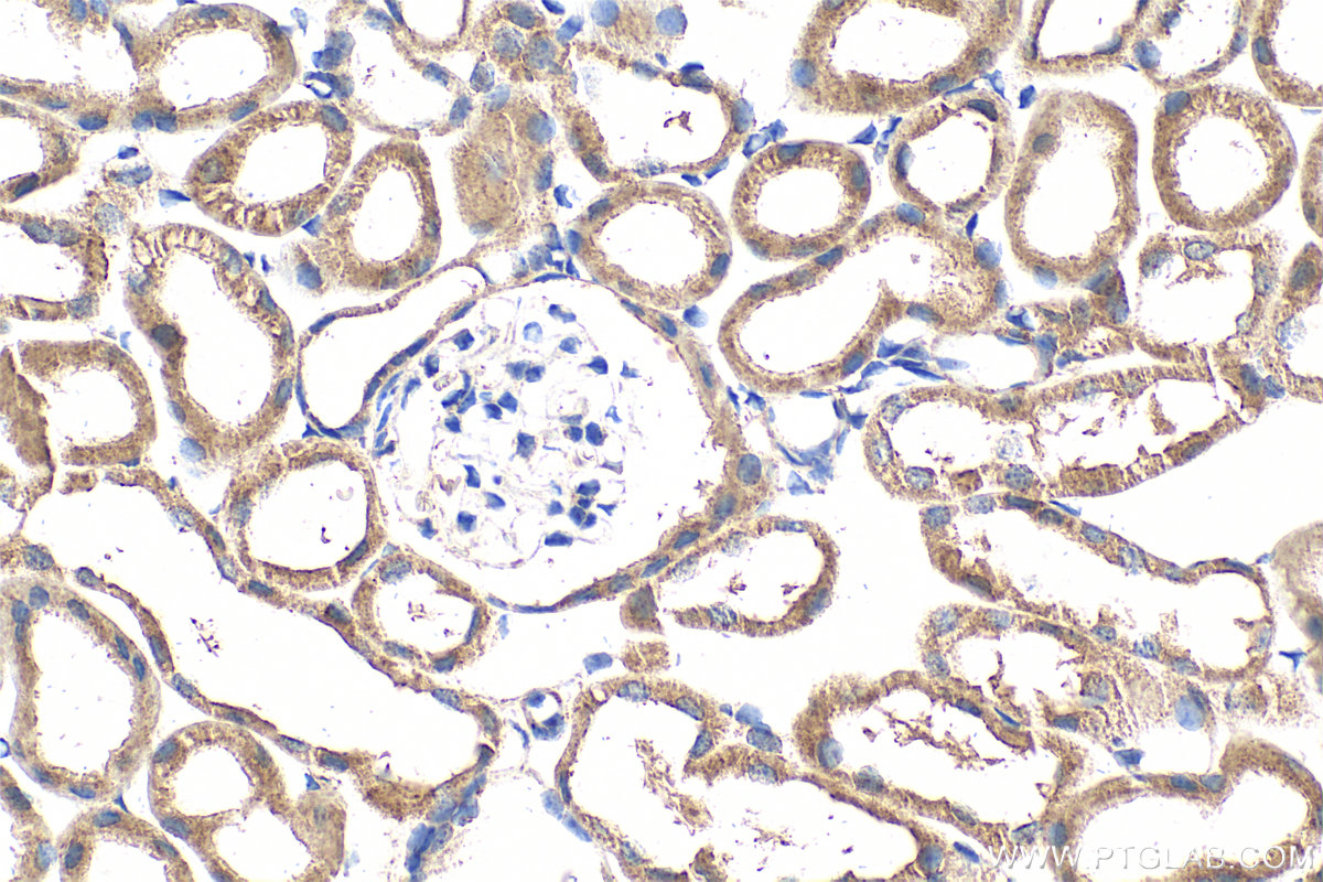
| Positive IHC detected in | mouse kidney tissue, mouse brain tissue Note: suggested antigen retrieval with TE buffer pH 9.0; (*) Alternatively, antigen retrieval may be performed with citrate buffer pH 6.0 |
| Positive IF-P detected in | rat brain tissue |
推荐稀释比
| 应用 | 推荐稀释比 |
|---|---|
| Immunohistochemistry (IHC) | IHC : 1:50-1:500 |
| Immunofluorescence (IF)-P | IF-P : 1:50-1:500 |
| It is recommended that this reagent should be titrated in each testing system to obtain optimal results. | |
| Sample-dependent, Check data in validation data gallery. | |
产品信息
24676-1-AP targets ATP13A5 in IHC, IF-P, ELISA applications and shows reactivity with human, mouse, rat samples.
| 经测试应用 | IHC, IF-P, ELISA Application Description |
| 经测试反应性 | human, mouse, rat |
| 免疫原 |
CatNo: Ag20337 Product name: Recombinant human ATP13A5 protein Source: e coli.-derived, PET28a Tag: 6*His Domain: 1123-1218 aa of BC156652 Sequence: TQFCVAFFVEDSILQNHELWLLIKREFGFYSKSQYRTWQKKLAEDSTWPPINRTDYSGDGKNGFYINGGYESHEQIPKRKLKLGGQPTEQHFWARL 种属同源性预测 |
| 宿主/亚型 | Rabbit / IgG |
| 抗体类别 | Polyclonal |
| 产品类型 | Antibody |
| 全称 | ATPase type 13A5 |
| 别名 | ATPase type 13A5, P5 ATPase isoform 5 |
| 计算分子量 | 1218 aa, 137 kDa |
| GenBank蛋白编号 | BC156652 |
| 基因名称 | ATP13A5 |
| Gene ID (NCBI) | 344905 |
| 偶联类型 | Unconjugated |
| 形式 | Liquid |
| 纯化方式 | Antigen affinity purification |
| UNIPROT ID | Q4VNC0 |
| 储存缓冲液 | PBS with 0.02% sodium azide and 50% glycerol, pH 7.3. |
| 储存条件 | Store at -20°C. Stable for one year after shipment. Aliquoting is unnecessary for -20oC storage. |
背景介绍
ATP13A5 is a member of the P5 subfamily of P-type transport ATPases. ATP13A5 functions within the intracellular membrane system and is mainly responsible for maintaining the ionic homeostasis and phospholipid balance of the intracellular membrane system.
实验方案
| Product Specific Protocols | |
|---|---|
| IF protocol for ATP13A5 antibody 24676-1-AP | Download protocol |
| IHC protocol for ATP13A5 antibody 24676-1-AP | Download protocol |
| Standard Protocols | |
|---|---|
| Click here to view our Standard Protocols |



