验证数据展示
经过测试的应用
| Positive WB detected in | A431 cells, HeLa cells |
| Positive IP detected in | A431 cells |
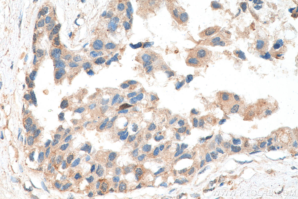
| Positive IHC detected in | human breast cancer tissue Note: suggested antigen retrieval with TE buffer pH 9.0; (*) Alternatively, antigen retrieval may be performed with citrate buffer pH 6.0 |
推荐稀释比
| 应用 | 推荐稀释比 |
|---|---|
| Western Blot (WB) | WB : 1:1000-1:4000 |
| Immunoprecipitation (IP) | IP : 0.5-4.0 ug for 1.0-3.0 mg of total protein lysate |
| Immunohistochemistry (IHC) | IHC : 1:50-1:500 |
| It is recommended that this reagent should be titrated in each testing system to obtain optimal results. | |
| Sample-dependent, Check data in validation data gallery. | |
产品信息
28657-1-AP targets ATF4 in WB, IHC, IF, IP, ChIP, ELISA applications and shows reactivity with human samples.
| 经测试应用 | WB, IHC, IP, ELISA Application Description |
| 文献引用应用 | WB, IHC, IF, ChIP |
| 经测试反应性 | human |
| 文献引用反应性 | human, mouse, rat |
| 免疫原 |
CatNo: Ag29844 Product name: Recombinant human ATF4 protein Source: e coli.-derived, PGEX-4T Tag: GST Domain: 206-351 aa of BC022088 Sequence: QCIKEEDTPSDNDSGICMSPESYLGSPQHSPSTRGSPNRSLPSPGVLCGSARPKPYDPPGEKMVAAKVKGEKLDKKLKKMEQNKTAATRYRQKKRAEQEALTGECKELEKKNEALKERADSLAKEIQYLKDLIEEVRKARGKKRVP 种属同源性预测 |
| 宿主/亚型 | Rabbit / IgG |
| 抗体类别 | Polyclonal |
| 产品类型 | Antibody |
| 全称 | activating transcription factor 4 (tax-responsive enhancer element B67) |
| 别名 | cAMP-dependent transcription factor ATF-4, CREB2, Cyclic AMP-responsive element-binding protein 2, Tax-responsive enhancer element-binding protein 67, TXREB |
| 计算分子量 | 39 kDa |
| 观测分子量 | 45-50 kDa |
| GenBank蛋白编号 | BC022088 |
| 基因名称 | ATF4 |
| Gene ID (NCBI) | 468 |
| RRID | AB_2881187 |
| 偶联类型 | Unconjugated |
| 形式 | Liquid |
| 纯化方式 | Antigen affinity purification |
| UNIPROT ID | P18848 |
| 储存缓冲液 | PBS with 0.02% sodium azide and 50% glycerol, pH 7.3. |
| 储存条件 | Store at -20°C. Stable for one year after shipment. Aliquoting is unnecessary for -20oC storage. |
背景介绍
ATF4 is a transcription factor, that accumulates predominantly in osteoblasts, where it regulates terminal osteoblast differentiation and bone formation[PMID: 19016586]. As a basic leucine-zipper (bZip) transcription factor, ATF4 can regulate amino acid metabolism, cellular redox state, and anti-stress responses. It also regulates age-related and diet-induced obesity and glucose homeostasis in mammals, and has conserved metabolic functions in flies[PMID: 19726872]. Due to its location at chromosome 22q13, a region linked to schizophrenia, ATF4 is considered as a positional candidate gene for schizophrenia[PMID: 18163433]. Otherwise, since ATF4 is induced by tumour microenvironmental factors, and regulates processes relevant to cancer progression, it might serve as a potential therapeutic target in cancer. Endogenous ATF4 protein has a molecular mass of 50kd. [PMID: 17726049]. ATF4 can bind DNA as a homodimer and as a heterodimer. ATF4 is ubiquitinated by SCF(BTRC) in response to mTORC1 signal, followed by proteasomal degradation and leading to down-regulate expression of SIRT4, so the molecular weight of ATF4 may be 70 kDa.
实验方案
| Product Specific Protocols | |
|---|---|
| IHC protocol for ATF4 antibody 28657-1-AP | Download protocol |
| IP protocol for ATF4 antibody 28657-1-AP | Download protocol |
| WB protocol for ATF4 antibody 28657-1-AP | Download protocol |
| Standard Protocols | |
|---|---|
| Click here to view our Standard Protocols |
发表文章
| Species | Application | Title |
|---|---|---|
Autophagy Epg5 deficiency leads to primary ovarian insufficiency due to WT1 accumulation in mouse granulosa cells. | ||
J Hazard Mater Endoplasmic reticulum stress manipulates autophagic response that antagonizes polybrominated diphenyl ethers quinone induced cytotoxicity in microglial BV2 cells. | ||
Inflammation CCAAT/Enhancer-Binding Protein Homologous Protein (CHOP) Deficiency Attenuates Heatstroke-Induced Intestinal Injury | ||
Int J Ophthalmol SIRT1 inhibits apoptosis of human lens epithelial cells through suppressing endoplasmic reticulum stress in vitro and in vivo | ||
bioRxiv The Integrated Stress Response Suppresses PINK1-dependent Mitophagy by Preserving Mitochondrial Import Efficiency | ||
Int J Mol Sci Epalrestat Alleviates Reactive Oxygen Species and Endoplasmic Reticulum Stress by Maintaining Glycosylation in IMS32 Schwann Cells Under Exposure to Galactosemic Conditions |


