验证数据展示
经过测试的应用
| Positive WB detected in | HepG2 cells, mouse liver tissue, HeLa cells, Jurkat cells |
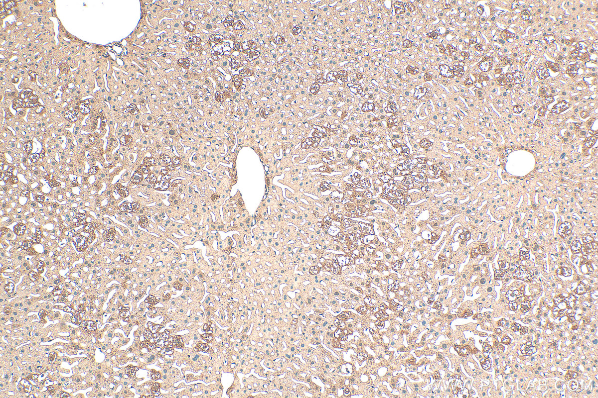
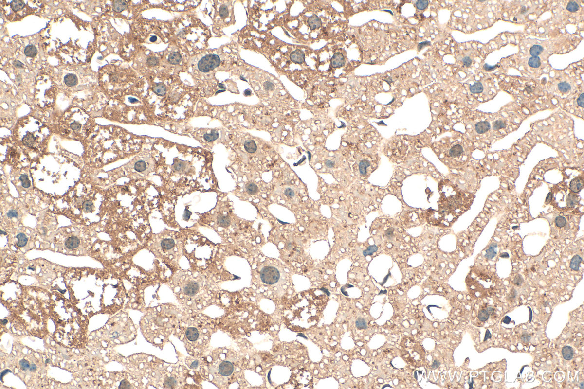
| Positive IHC detected in | mouse liver tissue Note: suggested antigen retrieval with TE buffer pH 9.0; (*) Alternatively, antigen retrieval may be performed with citrate buffer pH 6.0 |
推荐稀释比
| 应用 | 推荐稀释比 |
|---|---|
| Western Blot (WB) | WB : 1:1000-1:6000 |
| Immunohistochemistry (IHC) | IHC : 1:50-1:500 |
| It is recommended that this reagent should be titrated in each testing system to obtain optimal results. | |
| Sample-dependent, Check data in validation data gallery. | |
产品信息
13973-1-AP targets ATE1 in WB, IHC, ELISA applications and shows reactivity with human, mouse, rat samples.
| 经测试应用 | WB, IHC, ELISA Application Description |
| 经测试反应性 | human, mouse, rat |
| 免疫原 |
CatNo: Ag5006 Product name: Recombinant human ATE1 protein Source: e coli.-derived, PGEX-4T Tag: GST Domain: 219-518 aa of BC022026 Sequence: KLMQQNPAGELEGFQAQGHPPSLFPPKAKSNQPKSLEDLIFESLPENASHKLEVRLVPVSFEDPEFKSSFSQSFSLYVKYQVAIHQDPPDECGKTEFTRFLCSSPLEAETPPNGPDCGYGSFHQQYWLDGKIIAVGVIDILPNCVSSVYLYYDPDYSFLSLGVYSALREIAFTRQLHEKTSQLSYYYMGFYIHSCPKMKYKGQYRPSDLLCPETYVWVPIEQCLPSLENSKYCRFNQDPEAVDEDRSTEPDRLQVFHKRAIMPYGVYKKQQKDPSEEAAVLQYASLVGQKCSERMLLFRN 种属同源性预测 |
| 宿主/亚型 | Rabbit / IgG |
| 抗体类别 | Polyclonal |
| 产品类型 | Antibody |
| 全称 | arginyltransferase 1 |
| 别名 | Arginine-tRNA--protein transferase 1, Arginyl-tRNA--protein transferase 1, ATE 1, EC:2.3.2.8, R-transferase 1 |
| 计算分子量 | 59 kDa |
| 观测分子量 | 59-65 kDa |
| GenBank蛋白编号 | BC022026 |
| 基因名称 | ATE1 |
| Gene ID (NCBI) | 11101 |
| RRID | AB_2060763 |
| 偶联类型 | Unconjugated |
| 形式 | Liquid |
| 纯化方式 | Antigen affinity purification |
| UNIPROT ID | O95260 |
| 储存缓冲液 | PBS with 0.02% sodium azide and 50% glycerol, pH 7.3. |
| 储存条件 | Store at -20°C. Stable for one year after shipment. Aliquoting is unnecessary for -20oC storage. |
背景介绍
Arginyltransferases (ATE1s) are eukaryotic enzymes that catalyze the non-ribosomal, post-translational addition of the amino acid arginine to an acceptor protein. ATE1 plays critical roles in many biological functions including cardiovascular development, angiogenesis, adipogenesis, muscle contraction, and metastasis of cancer.
实验方案
| Product Specific Protocols | |
|---|---|
| IHC protocol for ATE1 antibody 13973-1-AP | Download protocol |
| WB protocol for ATE1 antibody 13973-1-AP | Download protocol |
| Standard Protocols | |
|---|---|
| Click here to view our Standard Protocols |




