验证数据展示
产品信息
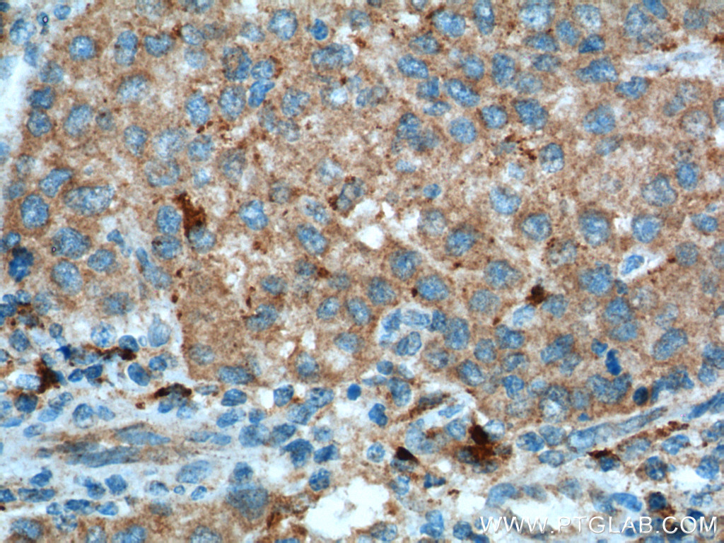
66036-1-PBS targets ASS1 in WB, IHC, IF/ICC, FC (Intra), Indirect ELISA applications and shows reactivity with human, pig samples.
| 经测试应用 | WB, IHC, IF/ICC, FC (Intra), Indirect ELISA Application Description |
| 经测试反应性 | human, pig |
| 免疫原 |
CatNo: Ag9314 Product name: Recombinant human ASS1 protein Source: e coli.-derived, PET28a Tag: 6*His Domain: 149-412 aa of BC009243 Sequence: EFYNRFKGRNDLMEYAKQHGIPIPVTPKNPWSMDENLMHISYEAGILENPKNQAPPGLYTKTQDPAKAPNTPDILEIEFKKGVPVKVTNVKDGTTHQTSLELFMYLNEVAGKHGVGRIDIVENRFIGMKSRGIYETPAGTILYHAHLDIEAFTMDREVRKIKQGLGLKFAELVYTGFWHSPECEFVRHCIAKSQERVEGKVQVSVLKGQVYILGRESPLSLYNEELVSMNVQGDYEPTDATGFININSLRLKEYHRLQSKVTAK 种属同源性预测 |
| 宿主/亚型 | Mouse / IgG1 |
| 抗体类别 | Monoclonal |
| 产品类型 | Antibody |
| 全称 | argininosuccinate synthetase 1 |
| 别名 | 1D1A11, ASS, EC:6.3.4.5 |
| 计算分子量 | 412 aa, 47 kDa |
| 观测分子量 | 40-45 kDa |
| GenBank蛋白编号 | BC009243 |
| 基因名称 | ASS1 |
| Gene ID (NCBI) | 445 |
| RRID | AB_11042883 |
| 偶联类型 | Unconjugated |
| 形式 | Liquid |
| 纯化方式 | Protein G purification |
| UNIPROT ID | P00966 |
| 储存缓冲液 | PBS only, pH 7.3. |
| 储存条件 | Store at -80°C. The product is shipped with ice packs. Upon receipt, store it immediately at -80°C |
背景介绍
ASS1 is a rate-limiting enzyme in the urea cycle. Citrullinemia type I is an autosomal recessive disorder that is caused by a deficiency of the urea cycle enzyme argininosuccinate synthetase (ASS1). Deficiency of ASS1 shows various clinical manifestations encompassing severely affected patients with fatal neonatal hyperammonemia as well as asymptomatic individuals with only a biochemical phenotype(PMID:19006241).













