验证数据展示
经过测试的应用
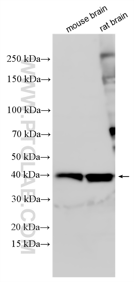
| Positive WB detected in | mouse brain tissue, HeLa cells, human brain tissue, rat brain tissue |
| Positive IP detected in | mouse brain tissue |
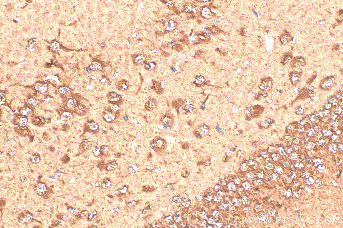
| Positive IHC detected in | mouse brain tissue Note: suggested antigen retrieval with TE buffer pH 9.0; (*) Alternatively, antigen retrieval may be performed with citrate buffer pH 6.0 |
| Positive IF/ICC detected in | HepG2 cells |
推荐稀释比
| 应用 | 推荐稀释比 |
|---|---|
| Western Blot (WB) | WB : 1:1000-1:6000 |
| Immunoprecipitation (IP) | IP : 0.5-4.0 ug for 1.0-3.0 mg of total protein lysate |
| Immunohistochemistry (IHC) | IHC : 1:50-1:500 |
| Immunofluorescence (IF)/ICC | IF/ICC : 1:200-1:800 |
| It is recommended that this reagent should be titrated in each testing system to obtain optimal results. | |
| Sample-dependent, Check data in validation data gallery. | |
发表文章中的应用
| KD/KO | See 3 publications below |
| WB | See 7 publications below |
产品信息
15450-1-AP targets ASNA1 in WB, IHC, IF/ICC, IP, ELISA applications and shows reactivity with human, mouse, rat samples.
| 经测试应用 | WB, IHC, IF/ICC, IP, ELISA Application Description |
| 文献引用应用 | WB |
| 经测试反应性 | human, mouse, rat |
| 文献引用反应性 | human |
| 免疫原 |
CatNo: Ag7713 Product name: Recombinant human ASNA1 protein Source: e coli.-derived, PGEX-4T Tag: GST Domain: 1-348 aa of BC002651 Sequence: MAAGVAGWGVEAEEFEDAPDVEPLEPTLSNIIEQRSLKWIFVGGKGGVGKTTCSCSLAVQLSKGRESVLIISTDPAHNISDAFDQKFSKVPTKVKGYDNLFAMEIDPSLGVAELPDEFFEEDNMLSMGKKMMQEAMSAFPGIDEAMSYAEVMRLVKGMNFSVVVFDTAPTGHTLRLLNFPTIVERGLGRLMQIKNQISPFISQMCNMLGLGDMNADQLASKLEETLPVIRSVSEQFKDPEQTTFICVCIAEFLSLYETERLIQELAKCKIDTHNIIVNQLVFPDPEKPCKMCEARHKIQAKYLDQMEDLYEDFHIVKLPLLPHEVRGADKVNTFSALLLEPYKPPSAQ 种属同源性预测 |
| 宿主/亚型 | Rabbit / IgG |
| 抗体类别 | Polyclonal |
| 产品类型 | Antibody |
| 全称 | arsA arsenite transporter, ATP-binding, homolog 1 (bacterial) |
| 别名 | TRC40, ARSA, Arsenical pump-driving ATPase, Arsenite-stimulated ATPase, ASNA 1 |
| 计算分子量 | 38.7 kDa |
| 观测分子量 | 37-41 kDa |
| GenBank蛋白编号 | BC002651 |
| 基因名称 | ASNA1 |
| Gene ID (NCBI) | 439 |
| RRID | AB_2060110 |
| 偶联类型 | Unconjugated |
| 形式 | Liquid |
| 纯化方式 | Antigen affinity purification |
| UNIPROT ID | O43681 |
| 储存缓冲液 | PBS with 0.02% sodium azide and 50% glycerol, pH 7.3. |
| 储存条件 | Store at -20°C. Stable for one year after shipment. Aliquoting is unnecessary for -20oC storage. |
背景介绍
ASNA1 (also known as TRC40) is a highly conserved ATPase involved in efflux of arsenite and antimonite. Reduced ASNA1 expression is associated with significant inhibition of cell growth, increased apoptosis and increased sensitivity to DDP and arsenite.Thus ASNA1 is proposed to be a target to overcome resistance to cancer chemotherapy. In addition, ASNA1 has been identified as an ER targeting factor for tail-anchored proteins in the posttranslational membrane insertion pathway.
实验方案
| Product Specific Protocols | |
|---|---|
| IF protocol for ASNA1 antibody 15450-1-AP | Download protocol |
| IHC protocol for ASNA1 antibody 15450-1-AP | Download protocol |
| IP protocol for ASNA1 antibody 15450-1-AP | Download protocol |
| WB protocol for ASNA1 antibody 15450-1-AP | Download protocol |
| Standard Protocols | |
|---|---|
| Click here to view our Standard Protocols |
发表文章
| Species | Application | Title |
|---|---|---|
Mol Cell Molecular machinery for insertion of tail-anchored membrane proteins into the endoplasmic reticulum membrane in mammalian cells. | ||
J Cell Sci Emery-Dreifuss muscular dystrophy mutations impair TRC40-mediated targeting of emerin to the inner nuclear membrane.
| ||
J Cell Sci An alternative membrane topology permits lipid droplet localization of peroxisomal fatty acyl-CoA reductase 1.
| ||
J Biol Chem ER entry pathway and glycosylation of GPI-anchored proteins are determined by N-terminal signal sequence and C-terminal GPI-attachment sequence | ||
FEBS Lett Human SND2 mediates ER targeting of GPI-anchored proteins with low hydrophobic GPI attachment signals. |







