验证数据展示
经过测试的应用
| Positive WB detected in | HepG2 cells, human liver tissue, mouse liver tissue, rat liver tissue |
| Positive IP detected in | mouse liver tissue |
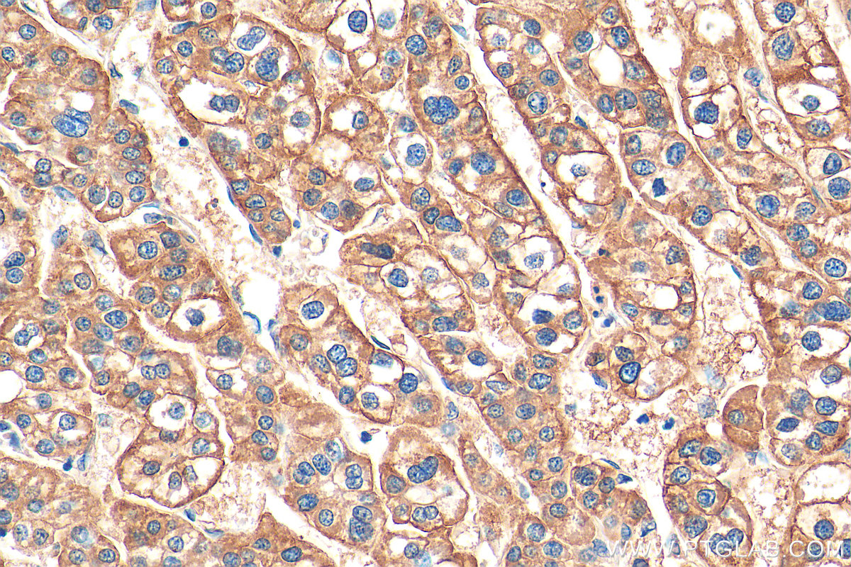
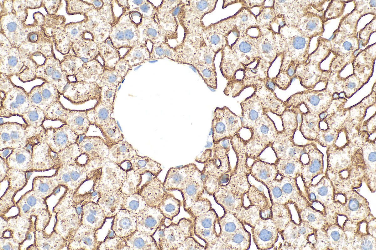
| Positive IHC detected in | rat liver tissue, human liver cancer tissue, mouse liver tissue Note: suggested antigen retrieval with TE buffer pH 9.0; (*) Alternatively, antigen retrieval may be performed with citrate buffer pH 6.0 |
| Positive IF-P detected in | human liver cancer tissue, human liver tissue, rat liver tissue, mouse liver tissue |
| Positive FC detected in | HepG2 cells |
推荐稀释比
| 应用 | 推荐稀释比 |
|---|---|
| Western Blot (WB) | WB : 1:5000-1:50000 |
| Immunoprecipitation (IP) | IP : 0.5-4.0 ug for 1.0-3.0 mg of total protein lysate |
| Immunohistochemistry (IHC) | IHC : 1:1000-1:4000 |
| Immunofluorescence (IF)-P | IF-P : 1:50-1:500 |
| Flow Cytometry (FC) | FC : 0.40 ug per 10^6 cells in a 100 µl suspension |
| It is recommended that this reagent should be titrated in each testing system to obtain optimal results. | |
| Sample-dependent, Check data in validation data gallery. | |
产品信息
11739-1-AP targets ASGR1 in WB, IHC, IF-P, FC, IP, CoIP, ELISA, Blocking assay applications and shows reactivity with human, mouse, rat samples.
| 经测试应用 | WB, IHC, IF-P, FC, IP, ELISA Application Description |
| 文献引用应用 | WB, IHC, IF, FC, IP, CoIP, Blocking assay |
| 经测试反应性 | human, mouse, rat |
| 文献引用反应性 | human, mouse, pig, monkey |
| 免疫原 |
CatNo: Ag2310 Product name: Recombinant human ASGR1 protein Source: e coli.-derived, PGEX-4T Tag: GST Domain: 1-291 aa of BC032130 Sequence: MTKEYQDLQHLDNEESDHHQLRKGPPPPQPLLQRLCSGPRLLLLSLGLSLLLLVVVCVIGSQNSQLQEELRGLRETFSNFTASTEAQVKGLSTQGGNVGRKMKSLESQLEKQQKDLSEDHSSLLLHVKQFVSDLRSLSCQMAALQGNGSERTCCPVNWVEHERSCYWFSRSGKAWADADNYCRLEDAHLVVVTSWEEQKFVQHHIGPVNTWMGLHDQNGPWKWVDGTDYETGFKNWRPEQPDDWYGHGLGGGEDCAHFTDDGRWNDDVCQRPYRWVCETELDKASQEPPLL 种属同源性预测 |
| 宿主/亚型 | Rabbit / IgG |
| 抗体类别 | Polyclonal |
| 产品类型 | Antibody |
| 全称 | asialoglycoprotein receptor 1 |
| 别名 | asialoglycoprotein receptor 1, HL-1, ASGP R 1, ASGPR, ASGPR 1 |
| 计算分子量 | 291 aa, 33 kDa |
| 观测分子量 | 38-42 kDa |
| GenBank蛋白编号 | BC032130 |
| 基因名称 | ASGR1 |
| Gene ID (NCBI) | 432 |
| RRID | AB_2059675 |
| 偶联类型 | Unconjugated |
| 形式 | Liquid |
| 纯化方式 | Antigen affinity purification |
| UNIPROT ID | P07306 |
| 储存缓冲液 | PBS with 0.02% sodium azide and 50% glycerol, pH 7.3. |
| 储存条件 | Store at -20°C. Stable for one year after shipment. Aliquoting is unnecessary for -20oC storage. |
背景介绍
Asialoglycoprotein receptor (ASGPR), also known as the hepatic galactose/N-acetylglucosamine (GlcNAc) receptor or Ashwell receptor, is a C-type lectin expressed exclusively in hepatic parenchymal cells. ASGPR consists of two subunits, a major subunit (ASGR1, HL-1) and a minor subunit (ASGR2, HL-2), and specifically recognizes terminal β-linked galactose or GlcNAc on circulating glycoproteins or cells. This receptor plays a critical role in serum glycoprotein homeostasis by mediating the endocytosis and lysosomal degradation of glycoproteins that contain terminal galactose or GlcNAc residues. ASGPR may facilitate hepatic infection by multiple viruses including hepatitis B, and is also a target for liver-specific drug delivery.(PMID: 24975671; 10891274; 23979840; 22385296; 22571878)
实验方案
| Product Specific Protocols | |
|---|---|
| FC protocol for ASGR1 antibody 11739-1-AP | Download protocol |
| IF protocol for ASGR1 antibody 11739-1-AP | Download protocol |
| IHC protocol for ASGR1 antibody 11739-1-AP | Download protocol |
| IP protocol for ASGR1 antibody 11739-1-AP | Download protocol |
| WB protocol for ASGR1 antibody 11739-1-AP | Download protocol |
| Standard Protocols | |
|---|---|
| Click here to view our Standard Protocols |
发表文章
| Species | Application | Title |
|---|---|---|
Nano Lett A Potent Branched-Tail Lipid Nanoparticle Enables Multiplexed mRNA Delivery and Gene Editing In Vivo. | ||
Acta Biomater Modeling nonalcoholic fatty liver disease on a liver lobule chip with dual blood supply. | ||
Biomaterials Dual targeted delivery of statins and nucleic acids by chitosan-based nanoparticles for enhanced antiatherosclerotic efficacy. | ||
Cancer Res ASO-Based PKM Splice-Switching Therapy Inhibits Hepatocellular Carcinoma Growth. | ||
Mol Ther Enhanced Potency of GalNAc-Conjugated Antisense Oligonucleotides in Hepatocellular Cancer Models. |
















