验证数据展示
经过测试的应用
| Positive WB detected in | MOLT-4 cells, mouse brain tissue |
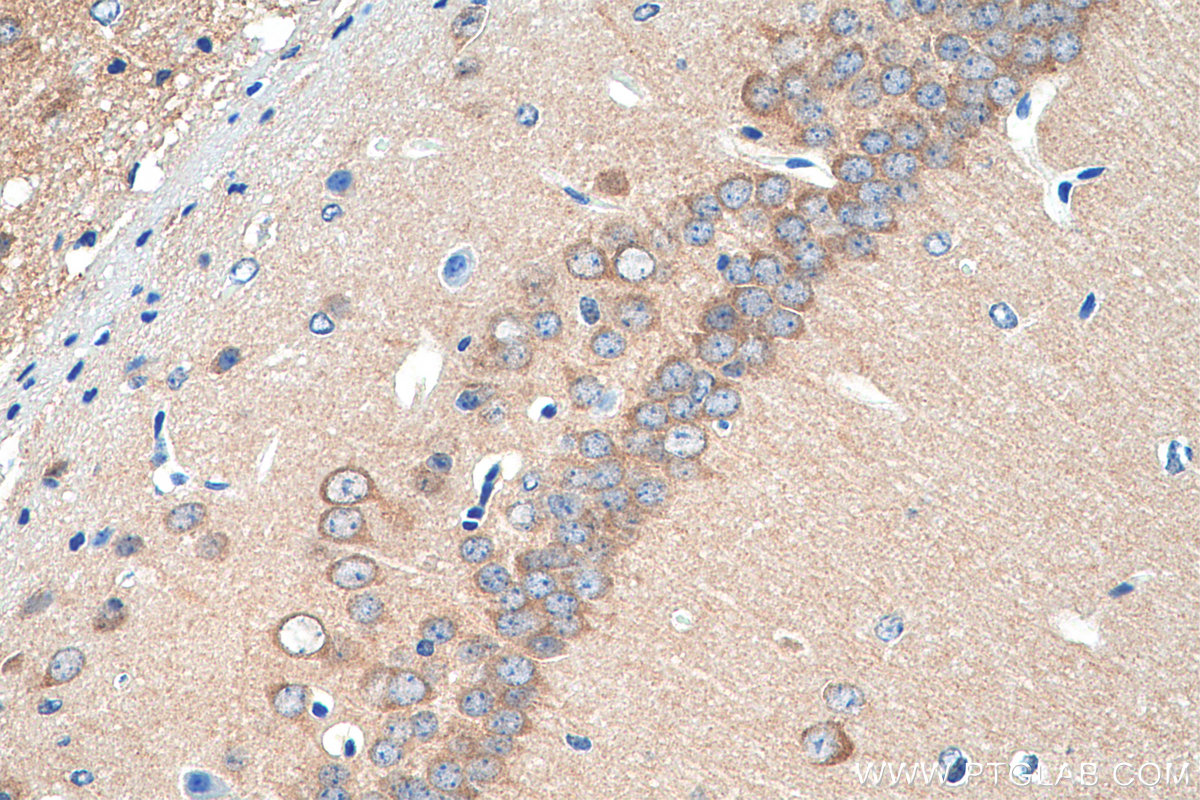
| Positive IHC detected in | mouse brain tissue, human cerebellum tissue Note: suggested antigen retrieval with TE buffer pH 9.0; (*) Alternatively, antigen retrieval may be performed with citrate buffer pH 6.0 |
推荐稀释比
| 应用 | 推荐稀释比 |
|---|---|
| Western Blot (WB) | WB : 1:500-1:2000 |
| Immunohistochemistry (IHC) | IHC : 1:1000-1:4000 |
| It is recommended that this reagent should be titrated in each testing system to obtain optimal results. | |
| Sample-dependent, Check data in validation data gallery. | |
发表文章中的应用
| WB | See 2 publications below |
产品信息
11829-1-AP targets ARPP-21 in WB, IHC, ELISA applications and shows reactivity with human, mouse samples.
| 经测试应用 | WB, IHC, ELISA Application Description |
| 文献引用应用 | WB |
| 经测试反应性 | human, mouse |
| 文献引用反应性 | mouse |
| 免疫原 |
CatNo: Ag2399 Product name: Recombinant human ARPP-21 protein Source: e coli.-derived, PGEX-4T Tag: GST Domain: 1-89 aa of BC017805 Sequence: MSEQGDLNQAIAEEGGTEQETATPENGIVKSESLDEEEKLELQRRLEAQNQERRKSKSGAGKGKLTRSLAVCEESSARPGGESLQDQTL 种属同源性预测 |
| 宿主/亚型 | Rabbit / IgG |
| 抗体类别 | Polyclonal |
| 产品类型 | Antibody |
| 全称 | cyclic AMP-regulated phosphoprotein, 21 kD |
| 别名 | ARPP21, ARPP 21, cAMP-regulated phosphoprotein 21, TARPP, Thymocyte cAMP-regulated phosphoprotein |
| 计算分子量 | 89 kDa |
| 观测分子量 | 100 kDa |
| GenBank蛋白编号 | BC017805 |
| 基因名称 | ARPP-21 |
| Gene ID (NCBI) | 10777 |
| RRID | AB_2877798 |
| 偶联类型 | Unconjugated |
| 形式 | Liquid |
| 纯化方式 | Antigen affinity purification |
| UNIPROT ID | Q9UBL0 |
| 储存缓冲液 | PBS with 0.02% sodium azide and 50% glycerol, pH 7.3. |
| 储存条件 | Store at -20°C. Stable for one year after shipment. Aliquoting is unnecessary for -20oC storage. |
背景介绍
ARPP-21 is a neuron-enriched signaling protein that was first purified and characterized from dopamine-rich regions of the mammalian brain, particularly the bovine caudate nucleus. It exists as two isoforms, ARPP-21A and ARPP-21B, generated by alternative splicing.
实验方案
| Product Specific Protocols | |
|---|---|
| IHC protocol for ARPP-21 antibody 11829-1-AP | Download protocol |
| WB protocol for ARPP-21 antibody 11829-1-AP | Download protocol |
| Standard Protocols | |
|---|---|
| Click here to view our Standard Protocols |
发表文章
| Species | Application | Title |
|---|---|---|
Front Cell Dev Biol PERK Signaling Controls Myoblast Differentiation by Regulating MicroRNA Networks. | ||
Nat Commun The thymocyte-specific RNA-binding protein Arpp21 provides TCR repertoire diversity by binding to the 3'-UTR and promoting Rag1 mRNA expression |




