验证数据展示
经过测试的应用
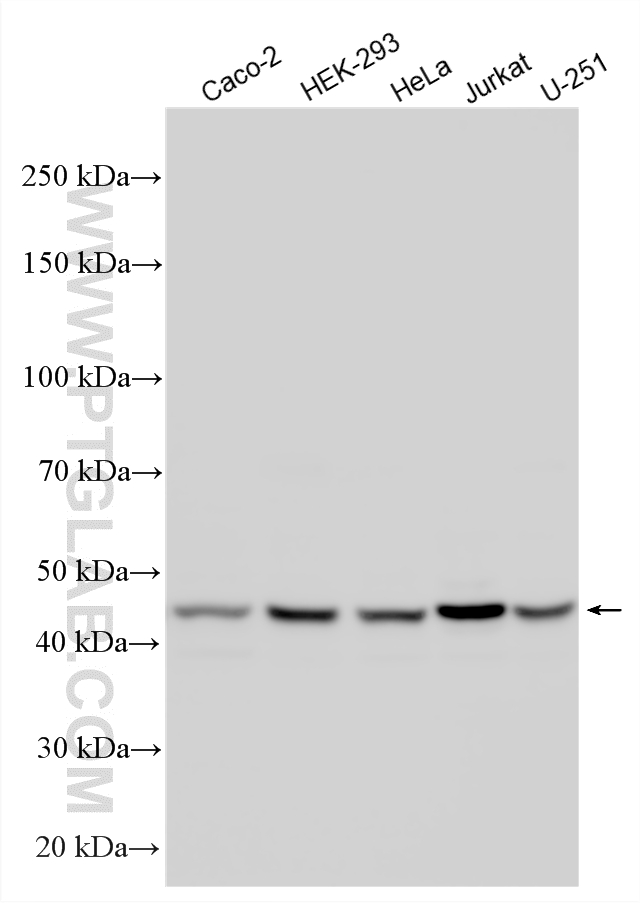
| Positive WB detected in | Caco-2 cells, COLO 320 cells, HEK-293 cells, HeLa cells, Jurkat cells, U-251 cells |
| Positive IF/ICC detected in | HeLa cells |
推荐稀释比
| 应用 | 推荐稀释比 |
|---|---|
| Western Blot (WB) | WB : 1:5000-1:50000 |
| Immunofluorescence (IF)/ICC | IF/ICC : 1:50-1:500 |
| It is recommended that this reagent should be titrated in each testing system to obtain optimal results. | |
| Sample-dependent, Check data in validation data gallery. | |
产品信息
25558-1-AP targets ARMC6 in WB, IF/ICC, ELISA applications and shows reactivity with human samples.
| 经测试应用 | WB, IF/ICC, ELISA Application Description |
| 经测试反应性 | human |
| 免疫原 |
CatNo: Ag22278 Product name: Recombinant human ARMC6 protein Source: e coli.-derived, PGEX-4T Tag: GST Domain: 127-476 aa of BC067125 Sequence: QGLLLQSLNALSVLTDGQPDLLDAQGLQLLVATLTQNADEADLTCSGIRCVRHACLKHEQNRQDLVKAGVLPLLTGAITHHGHHTDVVREACWALRVMTFDDDIRVPFGHAHNHAKMIVQENKGLKVLIEATKAFLDNPGILSELCGTLSRLAIRNEFCQEVVDLGGLSILVSLLADCNDHQMRDQSGVQELVKQVLSTLRAIAGNDDVKDAIVRAGGTESIVAAMTQHLTSPQVCEQSCAALCFLALRKPDNSRIIVEGGGAVAALQAMKAHPQKAGVQKQACMLIRNLVAHGQAFSKPILDLGAEALIMQARSAHRDCEDVAKAALRDLGCHVELRELWTGQRGNLAP 种属同源性预测 |
| 宿主/亚型 | Rabbit / IgG |
| 抗体类别 | Polyclonal |
| 产品类型 | Antibody |
| 全称 | armadillo repeat containing 6 |
| 别名 | Armadillo repeat-containing protein 6, R30923_1 |
| 计算分子量 | 501 aa, 54 kDa |
| 观测分子量 | 40-50 kDa |
| GenBank蛋白编号 | BC067125 |
| 基因名称 | ARMC6 |
| Gene ID (NCBI) | 93436 |
| RRID | AB_3085804 |
| 偶联类型 | Unconjugated |
| 形式 | Liquid |
| 纯化方式 | Antigen affinity purification |
| UNIPROT ID | Q6NXE6 |
| 储存缓冲液 | PBS with 0.02% sodium azide and 50% glycerol, pH 7.3. |
| 储存条件 | Store at -20°C. Stable for one year after shipment. Aliquoting is unnecessary for -20oC storage. |
背景介绍
ARMC6 (Armadillo repeat-containing protein 6) is a Protein Coding gene. Diseases associated with ARMC6 include Leber Congenital Amaurosis 1. The function of this gene's protein product has not been determined.
实验方案
| Product Specific Protocols | |
|---|---|
| IF protocol for ARMC6 antibody 25558-1-AP | Download protocol |
| WB protocol for ARMC6 antibody 25558-1-AP | Download protocol |
| Standard Protocols | |
|---|---|
| Click here to view our Standard Protocols |


