验证数据展示
经过测试的应用
| Positive WB detected in | fetal human brain tissue, human brain tissue, mouse brain tissue, NIH/3T3 cells |
| Positive IP detected in | A431 cells |
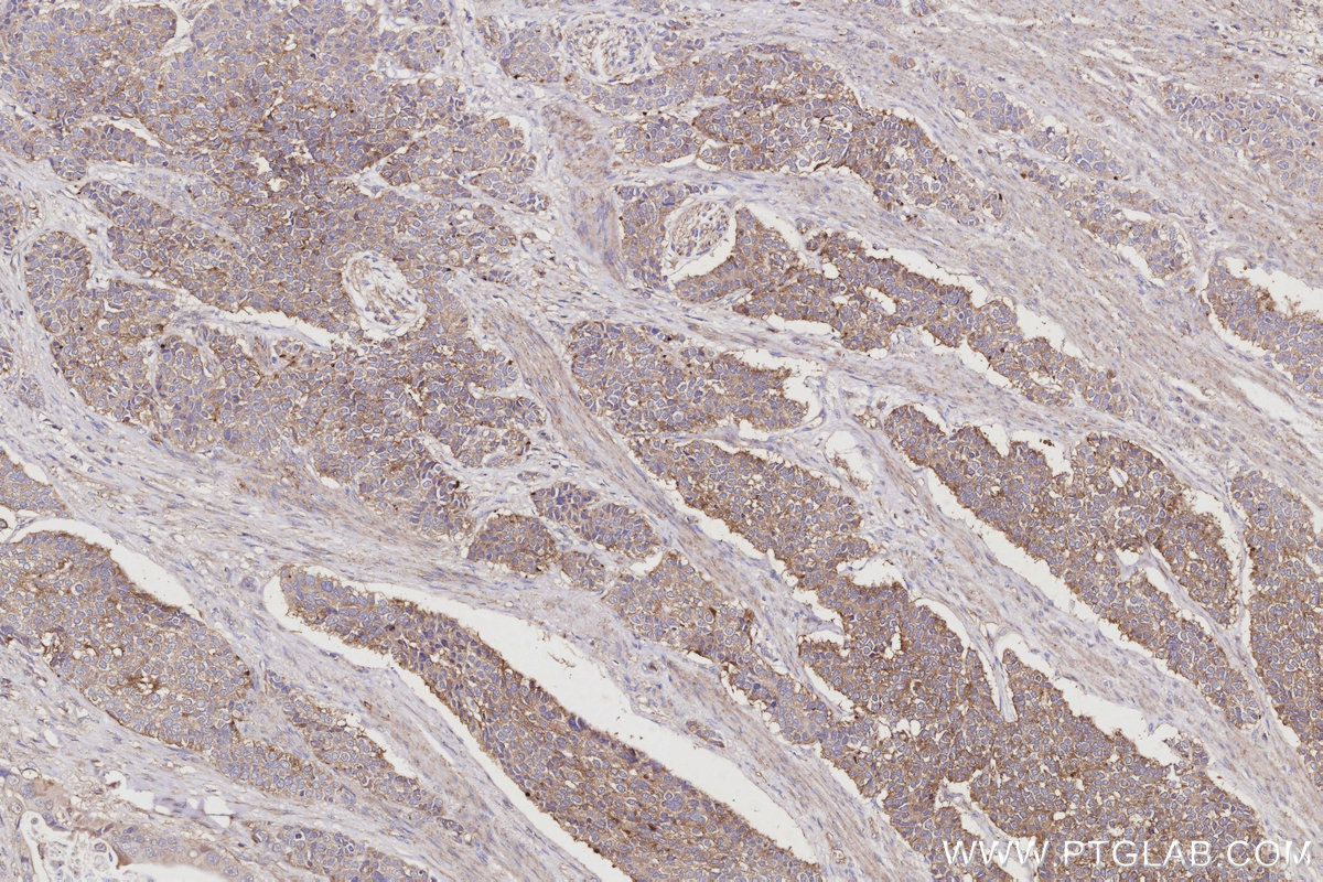
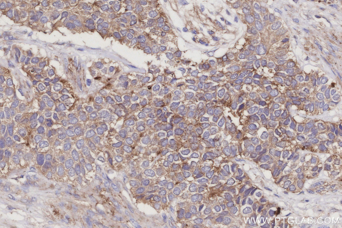
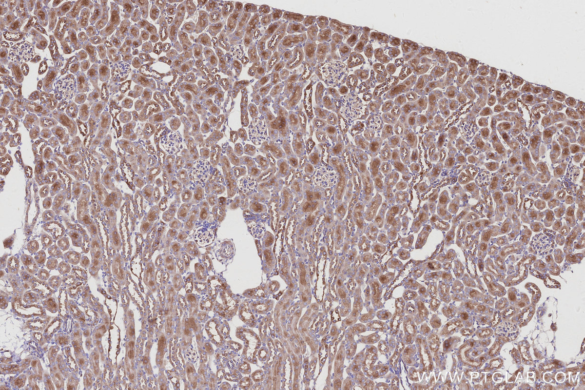
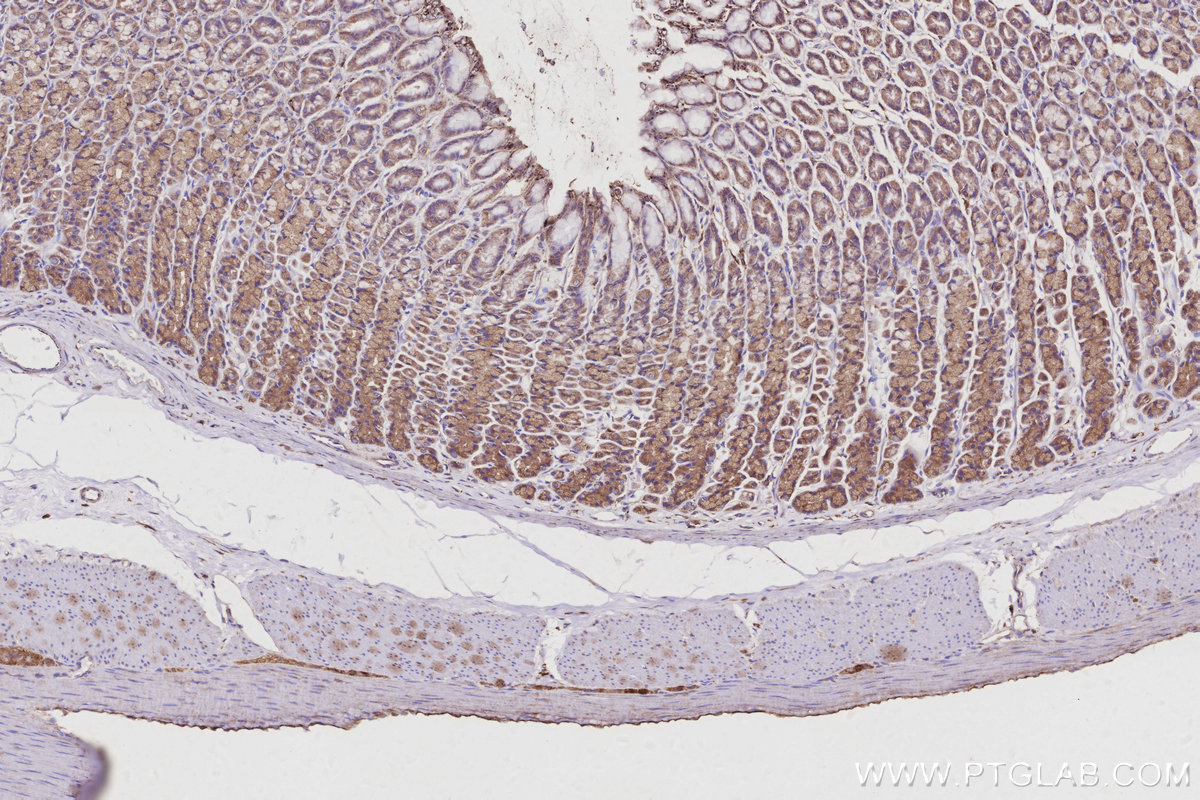
| Positive IHC detected in | mouse brain tissue, human stomach cancer tissue, mouse kidney tissue, rat pancreas tissue, rat stomach tissue Note: suggested antigen retrieval with TE buffer pH 9.0; (*) Alternatively, antigen retrieval may be performed with citrate buffer pH 6.0 |
| Positive IF/ICC detected in | A549 cells |
推荐稀释比
| 应用 | 推荐稀释比 |
|---|---|
| Western Blot (WB) | WB : 1:500-1:1000 |
| Immunoprecipitation (IP) | IP : 0.5-4.0 ug for 1.0-3.0 mg of total protein lysate |
| Immunohistochemistry (IHC) | IHC : 1:50-1:500 |
| Immunofluorescence (IF)/ICC | IF/ICC : 1:50-1:500 |
| It is recommended that this reagent should be titrated in each testing system to obtain optimal results. | |
| Sample-dependent, Check data in validation data gallery. | |
产品信息
13049-1-AP targets ARL8B in WB, IHC, IF/ICC, IP, CoIP, ELISA applications and shows reactivity with human, mouse, rat samples.
| 经测试应用 | WB, IHC, IF/ICC, IP, ELISA Application Description |
| 文献引用应用 | WB, IHC, IF, CoIP |
| 经测试反应性 | human, mouse, rat |
| 文献引用反应性 | human, mouse, rat, monkey, chicken |
| 免疫原 |
CatNo: Ag3711 Product name: Recombinant human ARL8B protein Source: e coli.-derived, PGEX-4T Tag: GST Domain: 1-186 aa of BC013131 Sequence: MLALISRLLDWFRSLFWKEEMELTLVGLQYSGKTTFVNVIASGQFSEDMIPTVGFNMRKVTKGNVTIKIWDIGGQPRFRSMWERYCRGVNAIVYMIDAADREKIEASRNELHNLLDKPQLQGIPVLVLGNKRDLPNALDEKQLIEKMNLSAIQDREICCYSISCKEKDNIDITLQWLIQHSKSRRS 种属同源性预测 |
| 宿主/亚型 | Rabbit / IgG |
| 抗体类别 | Polyclonal |
| 产品类型 | Antibody |
| 全称 | ADP-ribosylation factor-like 8B |
| 别名 | ADP-ribosylation factor-like protein 10C, ADP-ribosylation factor-like protein 8B, ARL10C, EC:3.6.5.2, GIE1 |
| 计算分子量 | 186 aa, 22 kDa |
| 观测分子量 | 22 kDa |
| GenBank蛋白编号 | BC013131 |
| 基因名称 | ARL8B |
| Gene ID (NCBI) | 55207 |
| RRID | AB_2059000 |
| 偶联类型 | Unconjugated |
| 形式 | Liquid |
| 纯化方式 | Antigen affinity purification |
| UNIPROT ID | Q9NVJ2 |
| 储存缓冲液 | PBS with 0.02% sodium azide and 50% glycerol, pH 7.3. |
| 储存条件 | Store at -20°C. Stable for one year after shipment. Aliquoting is unnecessary for -20oC storage. |
背景介绍
ARL8B ( ADP-ribosylation factor-like 8B) , also known as ARL10C or GIE1, is a small GTPase of the Arl-family, that is associated with the lysosome. ARL8A interacts with Tubulin, and plays a role in lysosome motility, as well as in chromosomal segregation. ARL8B plays a role in the spatial distribution and positioning of lysosomes. ARL8B is regarded as a regulator of endosome to lysosome trafficking pathways of special significance for host defense.
实验方案
| Product Specific Protocols | |
|---|---|
| IF protocol for ARL8B antibody 13049-1-AP | Download protocol |
| IHC protocol for ARL8B antibody 13049-1-AP | Download protocol |
| IP protocol for ARL8B antibody 13049-1-AP | Download protocol |
| WB protocol for ARL8B antibody 13049-1-AP | Download protocol |
| Standard Protocols | |
|---|---|
| Click here to view our Standard Protocols |
发表文章
| Species | Application | Title |
|---|---|---|
Nat Commun DENND6A links Arl8b to a Rab34/RILP/dynein complex, regulating lysosomal positioning and autophagy | ||
Nat Commun Spatiotemporal proteomics reveals the biosynthetic lysosomal membrane protein interactome in neurons
| ||
Sci Adv The structure and global distribution of the endoplasmic reticulum network are actively regulated by lysosomes.
| ||
Sci Adv Endosomal sorting drives the formation of axonal prion protein endoggresomes.
| ||
Nat Commun RUFY3 and RUFY4 are ARL8 effectors that promote coupling of endolysosomes to dynein-dynactin. |











