验证数据展示
经过测试的应用
| Positive WB detected in | U2OS cells, HepG2 cells, HeLa cells |
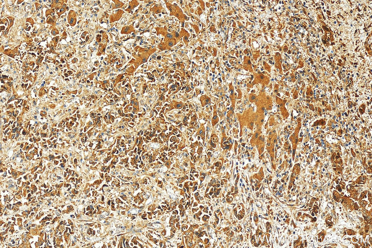
| Positive IHC detected in | human intrahepatic cholangiocarcinoma tissue Note: suggested antigen retrieval with TE buffer pH 9.0; (*) Alternatively, antigen retrieval may be performed with citrate buffer pH 6.0 |
推荐稀释比
| 应用 | 推荐稀释比 |
|---|---|
| Western Blot (WB) | WB : 1:500-1:2000 |
| Immunohistochemistry (IHC) | IHC : 1:200-1:800 |
| It is recommended that this reagent should be titrated in each testing system to obtain optimal results. | |
| Sample-dependent, Check data in validation data gallery. | |
产品信息
11694-1-AP targets ARL5B in WB, IHC, IF, IP, ELISA applications and shows reactivity with human samples.
| 经测试应用 | WB, IHC, ELISA Application Description |
| 文献引用应用 | WB, IF, IP |
| 经测试反应性 | human |
| 文献引用反应性 | human, mouse |
| 免疫原 |
CatNo: Ag2309 Product name: Recombinant human ARL5B protein Source: e coli.-derived, PGEX-4T Tag: GST Domain: 1-179 aa of BC024163 Sequence: MGLIFAKLWSLFCNQEHKVIIVGLDNAGKTTILYQFLMNEVVHTSPTIGSNVEEIVVKNTHFLMWDIGGQESLRSSWNTYYSNTEFIILVVDSIDRERLAITKEELYRMLAHEDLRKAAVLIFANKQDMKGCMTAAEISKYLTLSSIKDHPWHIQSCCALTGEGLCQGLEWMTSRIGVR 种属同源性预测 |
| 宿主/亚型 | Rabbit / IgG |
| 抗体类别 | Polyclonal |
| 产品类型 | Antibody |
| 全称 | ADP-ribosylation factor-like 5B |
| 别名 | ARL8, ADP-ribosylation factor-like protein 8, ADP-ribosylation factor-like protein 5B |
| 计算分子量 | 179 aa, 20 kDa |
| 观测分子量 | 20 kDa |
| GenBank蛋白编号 | BC024163 |
| 基因名称 | ARL5B |
| Gene ID (NCBI) | 221079 |
| RRID | AB_2058835 |
| 偶联类型 | Unconjugated |
| 形式 | Liquid |
| 纯化方式 | Antigen affinity purification |
| UNIPROT ID | Q96KC2 |
| 储存缓冲液 | PBS with 0.02% sodium azide and 50% glycerol, pH 7.3. |
| 储存条件 | Store at -20°C. Stable for one year after shipment. Aliquoting is unnecessary for -20oC storage. |
背景介绍
ARL5B, also known as ADP ribosylation factor-like GTPase 5B, is a small G protein that is localized to the trans-Golgi network (TGN) in mammalian cells. It plays a significant role in the regulation of retrograde membrane transport from endosomes back to the TGN. This function is particularly important for the maintenance of cellular membrane traffic and the organization of the Golgi apparatus.
实验方案
| Product Specific Protocols | |
|---|---|
| IHC protocol for ARL5B antibody 11694-1-AP | Download protocol |
| WB protocol for ARL5B antibody 11694-1-AP | Download protocol |
| Standard Protocols | |
|---|---|
| Click here to view our Standard Protocols |
发表文章
| Species | Application | Title |
|---|---|---|
Adv Sci (Weinh) ARL5B Drives Esophageal Squamous Cell Carcinoma Progression via ROCK1-SREBP1-Mediated Lipid Metabolic Reprogramming | ||
J Biol Chem Negative regulation of MDA5-dependent antiviral innate immune responses by Arl-like protein 5B.
| ||
J Cell Biochem GTPases Arf5 and Arl2 function partially distinctly during oocyte meiosis. | ||
Biomed Environ Sci Synaptic Vesicle Glycoprotein 2A Slows down Amyloidogenic Processing of Amyloid Precursor Protein via Regulating Its Intracellular Trafficking |


