验证数据展示
经过测试的应用
| Positive WB detected in | A549 cells, HEK-293 cells, Calu-1 cells |
| Positive IP detected in | HEK-293T cells |
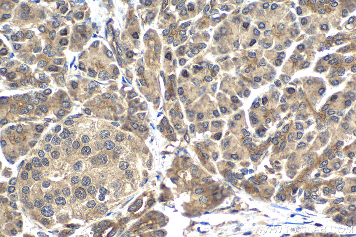
| Positive IHC detected in | human pancreas cancer tissue Note: suggested antigen retrieval with TE buffer pH 9.0; (*) Alternatively, antigen retrieval may be performed with citrate buffer pH 6.0 |
推荐稀释比
| 应用 | 推荐稀释比 |
|---|---|
| Western Blot (WB) | WB : 1:1000-1:5000 |
| Immunoprecipitation (IP) | IP : 0.5-4.0 ug for 1.0-3.0 mg of total protein lysate |
| Immunohistochemistry (IHC) | IHC : 1:250-1:1000 |
| It is recommended that this reagent should be titrated in each testing system to obtain optimal results. | |
| Sample-dependent, Check data in validation data gallery. | |
产品信息
10090-2-AP targets ARL2BP in WB, IHC, IF, IP, ELISA applications and shows reactivity with human, mouse, rat samples.
| 经测试应用 | WB, IHC, IP, ELISA Application Description |
| 文献引用应用 | WB, IF, IP |
| 经测试反应性 | human, mouse, rat |
| 文献引用反应性 | human, mouse |
| 免疫原 |
CatNo: Ag0138 Product name: Recombinant human ARL2BP protein Source: e coli.-derived, PGEX-4T Tag: GST Domain: 1-163 aa of BC003087 Sequence: MDALEGESFALSFSSASDAEFDAVVGYLEDIIMDDEFQLLQRNFMDKYYLEFEDTEENKLIYTPIFNEYISLVEKYIEEQLLQRIPEFNMAAFTTTLQHHKDEVAGDIFDMLLTFTDFLAFKEMFLDYRAEKEGRGLDLSSGLVVTSLCKSSSLPASQNNLRH 种属同源性预测 |
| 宿主/亚型 | Rabbit / IgG |
| 抗体类别 | Polyclonal |
| 产品类型 | Antibody |
| 全称 | ADP-ribosylation factor-like 2 binding protein |
| 别名 | ADP-ribosylation factor-like protein 2-binding protein, ARF-like 2-binding protein, BART, BART1, RP66 |
| 计算分子量 | 19 kDa |
| 观测分子量 | 19-21 kDa |
| GenBank蛋白编号 | BC003087 |
| 基因名称 | ARL2BP |
| Gene ID (NCBI) | 23568 |
| RRID | AB_2058518 |
| 偶联类型 | Unconjugated |
| 形式 | Liquid |
| 纯化方式 | Antigen affinity purification |
| UNIPROT ID | Q9Y2Y0 |
| 储存缓冲液 | PBS with 0.02% sodium azide and 50% glycerol, pH 7.3. |
| 储存条件 | Store at -20°C. Stable for one year after shipment. Aliquoting is unnecessary for -20oC storage. |
背景介绍
ARF-like proteins (ARLs) belong to a group of incompletely characterized members in the ARF family of RAS-related GTPases. A 19-kDa protein (BART, Binder of Arl Two) was identified to bind specifically to ARL2.GDP with high affinity but not with ARL2.GDP. In human, the 489-base pair BART open reading frame encodes a novel 163-amino acid protein with a predicted molecular mass of 18,822 Da. Data from Northern and Western analyses indicated BART is expressed in many tissues.
实验方案
| Product Specific Protocols | |
|---|---|
| IHC protocol for ARL2BP antibody 10090-2-AP | Download protocol |
| IP protocol for ARL2BP antibody 10090-2-AP | Download protocol |
| WB protocol for ARL2BP antibody 10090-2-AP | Download protocol |
| Standard Protocols | |
|---|---|
| Click here to view our Standard Protocols |
发表文章
| Species | Application | Title |
|---|---|---|
Am J Hum Genet Mutations in ARL2BP, Encoding ADP-Ribosylation-Factor-Like 2 Binding Protein, Cause Autosomal-Recessive Retinitis Pigmentosa.
| ||
Cancer Res Intracellular CD24 inhibits cell invasion by posttranscriptional regulation of BART through interaction with G3BP. | ||
Neoplasia BART inhibits pancreatic cancer cell invasion by Rac1 inactivation through direct binding to active Rac1.
| ||
PLoS One BART inhibits pancreatic cancer cell invasion by PKCα inactivation through binding to ANX7.
| ||
Invest Ophthalmol Vis Sci Truncation mutation in HRG4 (UNC119) leads to mitochondrial ANT-1-mediated photoreceptor synaptic and retinal degeneration by apoptosis. | ||
Int J Oncol BART inhibits pancreatic cancer cell invasion by inhibiting ARL2-mediated RhoA inactivation. |




