验证数据展示
经过测试的应用
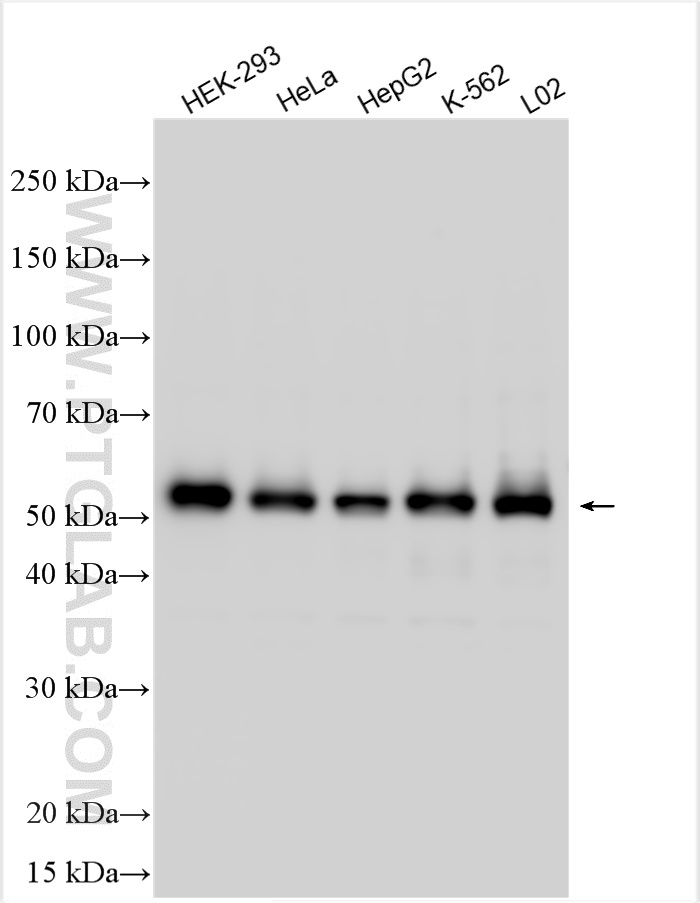
| Positive WB detected in | HEK-293 cells, HeLa cells, HepG2 cells, K-562 cells, L02 cells |
| Positive IP detected in | L02 cells |
| Positive IF/ICC detected in | MDCK cells |
推荐稀释比
| 应用 | 推荐稀释比 |
|---|---|
| Western Blot (WB) | WB : 1:5000-1:50000 |
| Immunoprecipitation (IP) | IP : 0.5-4.0 ug for 1.0-3.0 mg of total protein lysate |
| Immunofluorescence (IF)/ICC | IF/ICC : 1:50-1:500 |
| It is recommended that this reagent should be titrated in each testing system to obtain optimal results. | |
| Sample-dependent, Check data in validation data gallery. | |
发表文章中的应用
| IF | See 1 publications below |
产品信息
30332-1-AP targets ARL13B in WB, IF/ICC, IP, ELISA applications and shows reactivity with human samples.
| 经测试应用 | WB, IF/ICC, IP, ELISA Application Description |
| 文献引用应用 | IF |
| 经测试反应性 | human |
| 文献引用反应性 | human |
| 免疫原 |
CatNo: Ag12015 Product name: Recombinant human ARL13B protein Source: e coli.-derived, PGEX-4T Tag: GST Domain: 1-321 aa of BC094725 Sequence: MFSLMASCCGWFKRWREPVRLANKQDKEGALGEADVIECLSLEKLVNEHKCLCQIEPCSAISGYGKKIDKSIKKGLYWLLHVIARDFDALNERIQKETTEQRALEEQEKQERAERVRKLREERKQNEQEQAELDGTSGLAELDPEPTNPFQPIASVIIENEGKLEREKKNQKMEKDSDGCHLKHKMEHEQIETQGQVNHNGQKNNEFGLVENYKEALTQQLKNEDETDRPSLESANGKKKTKKLRMKRNHRVEPLNIDDCAPESPTPPPPPPPVGWGTPKVTRLPKLEPLGETHHNDFYRKPLPPLAVPQRPNSDAHDVIS 种属同源性预测 |
| 宿主/亚型 | Guinea Pig / IgG |
| 抗体类别 | Polyclonal |
| 产品类型 | Antibody |
| 全称 | ADP-ribosylation factor-like 13B |
| 别名 | ARL2-like protein 1, ARL2L1, ARL2 like protein 1, ADP-ribosylation factor-like protein 2-like 1, ADP-ribosylation factor-like protein 13B |
| 计算分子量 | 48 kDa |
| 观测分子量 | 48-55 kDa |
| GenBank蛋白编号 | BC094725 |
| 基因名称 | ARL13B |
| Gene ID (NCBI) | 200894 |
| RRID | AB_3086296 |
| 偶联类型 | Unconjugated |
| 形式 | Liquid |
| 纯化方式 | Antigen affinity purification |
| UNIPROT ID | Q3SXY8 |
| 储存缓冲液 | PBS with 0.02% sodium azide and 50% glycerol, pH 7.3. |
| 储存条件 | Store at -20°C. Stable for one year after shipment. Aliquoting is unnecessary for -20oC storage. |
背景介绍
ARL13B, also named as ARL2L1, is a small ciliary G protein of the Ras superfamily. Localized in the cilia, it is required for cilium biogenesis and sonic hedgehog signaling. Defects in ARL13B are the cause of Joubert syndrome (JS) which is an autosomal recessive disorder characterized by a distinctive cerebellar malformation (PMID: 19906870).This antibody detects two specific bands at 60 kDa and 48 kDa. Arl13b is predicted to be a 48 kDa protein, and the 60 kDa band is likely to represent a modified form of Arl13b. ARL13B can be used to mark the cilia (PMID:22072986). The second antibody is used against guinea pigs.
实验方案
| Product Specific Protocols | |
|---|---|
| IF protocol for ARL13B antibody 30332-1-AP | Download protocol |
| IP protocol for ARL13B antibody 30332-1-AP | Download protocol |
| WB protocol for ARL13B antibody 30332-1-AP | Download protocol |
| Standard Protocols | |
|---|---|
| Click here to view our Standard Protocols |
发表文章
| Species | Application | Title |
|---|---|---|
Curr Biol KIF13B controls ciliary protein content by promoting endocytic retrieval and suppressing release of large extracellular vesicles from cilia | ||


