验证数据展示
经过测试的应用
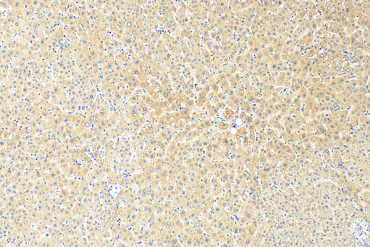
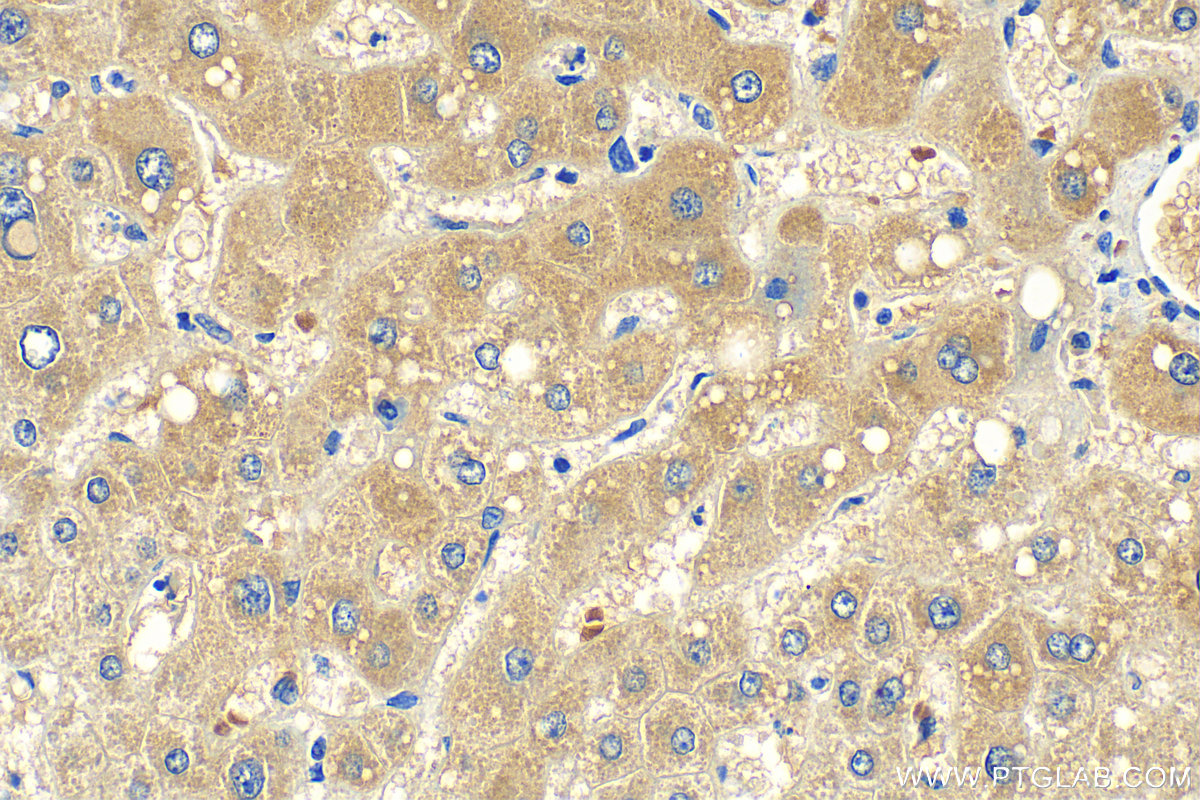
| Positive IHC detected in | human liver tissue Note: suggested antigen retrieval with TE buffer pH 9.0; (*) Alternatively, antigen retrieval may be performed with citrate buffer pH 6.0 |
推荐稀释比
| 应用 | 推荐稀释比 |
|---|---|
| Immunohistochemistry (IHC) | IHC : 1:50-1:500 |
| It is recommended that this reagent should be titrated in each testing system to obtain optimal results. | |
| Sample-dependent, Check data in validation data gallery. | |
产品信息
20021-1-AP targets ARHGEF17 in IHC, ELISA applications and shows reactivity with human, mouse, rat samples.
| 经测试应用 | IHC, ELISA Application Description |
| 经测试反应性 | human, mouse, rat |
| 免疫原 |
Peptide 种属同源性预测 |
| 宿主/亚型 | Rabbit / IgG |
| 抗体类别 | Polyclonal |
| 产品类型 | Antibody |
| 全称 | Rho guanine nucleotide exchange factor (GEF) 17 |
| 别名 | 164 kDa Rho-specific guanine-nucleotide exchange factor, KIAA0337, p164 RhoGEF, p164RhoGEF, p164-RhoGEF |
| 计算分子量 | 222 kDa |
| GenBank蛋白编号 | NM_014786 |
| 基因名称 | ARHGEF17 |
| Gene ID (NCBI) | 9828 |
| 偶联类型 | Unconjugated |
| 形式 | Liquid |
| 纯化方式 | Antigen affinity purification |
| UNIPROT ID | Q96PE2 |
| 储存缓冲液 | PBS with 0.02% sodium azide and 50% glycerol, pH 7.3. |
| 储存条件 | Store at -20°C. Stable for one year after shipment. Aliquoting is unnecessary for -20oC storage. |
背景介绍
ARHGEF17, also named as KIAA0337, TEM4 and p164RhoGEF, acts as guanine nucleotide exchange factor (GEF) for RhoA GTPases. The antibody recognizes the C-term of ARHGEF17.
实验方案
| Product Specific Protocols | |
|---|---|
| IHC protocol for ARHGEF17 antibody 20021-1-AP | Download protocol |
| Standard Protocols | |
|---|---|
| Click here to view our Standard Protocols |

