验证数据展示
经过测试的应用
| Positive WB detected in | HEK-293 cells, rat brain tissue, LNCaP cells |
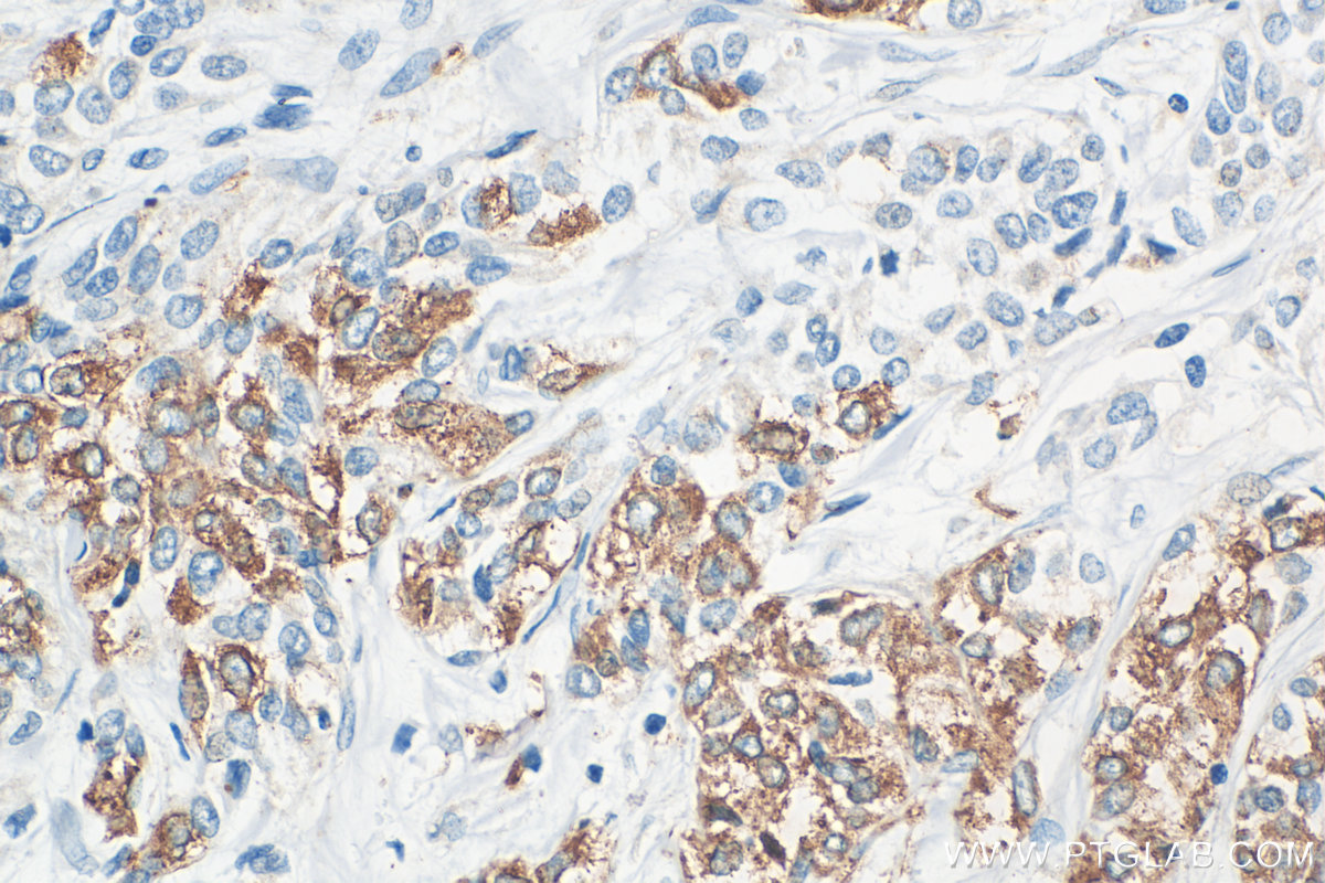
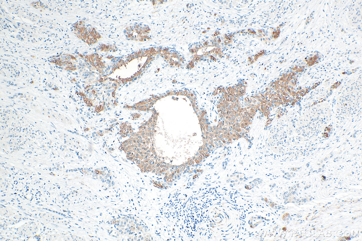
| Positive IHC detected in | human urothelial carcinoma tissue Note: suggested antigen retrieval with TE buffer pH 9.0; (*) Alternatively, antigen retrieval may be performed with citrate buffer pH 6.0 |
| Positive IF/ICC detected in | HEK-293 cells |
推荐稀释比
| 应用 | 推荐稀释比 |
|---|---|
| Western Blot (WB) | WB : 1:5000-1:50000 |
| Immunohistochemistry (IHC) | IHC : 1:750-1:3000 |
| Immunofluorescence (IF)/ICC | IF/ICC : 1:200-1:800 |
| It is recommended that this reagent should be titrated in each testing system to obtain optimal results. | |
| Sample-dependent, Check data in validation data gallery. | |
产品信息
32382-1-AP targets ARHGAP44 in WB, IHC, IF/ICC, ELISA applications and shows reactivity with human, rat samples.
| 经测试应用 | WB, IHC, IF/ICC, ELISA Application Description |
| 经测试反应性 | human, rat |
| 免疫原 |
CatNo: Ag38196 Product name: Recombinant human ARHGAP44 protein Source: e coli.-derived, PGEX-4T Tag: GST Domain: 580-772 aa of NM_001321166 Sequence: LQPGPERTSTTKSKELSPGSAQKGSPGSSQGTACAGTQPGAQPGAQPGASPSPSQPPADQSPHTLRKVSKKLAPIPPKVPFGQPGAMADQSAGQPSPVSLSPTPPSTPSPYGLSYPQGYSLASGQLSPAAAPPLASPSVFTSTLSKSRPTPKPRQRPTLPPPQPPTVNLSASSPQSTEAPMLDGMSPGESMST 种属同源性预测 |
| 宿主/亚型 | Rabbit / IgG |
| 抗体类别 | Polyclonal |
| 产品类型 | Antibody |
| 全称 | Rho-type GTPase-activating protein RICH2 |
| 别名 | KIAA0672, NPC-A-10, Rho GTPase Activating Protein 44, Rho GTPase-activating protein 44, Rho GTPase-Activating Protein RICH2 |
| 计算分子量 | 818aa, 89 kDa |
| 观测分子量 | 80-100 kDa |
| GenBank蛋白编号 | NM_001321166 |
| 基因名称 | RICH2 |
| Gene ID (NCBI) | 9912 |
| 偶联类型 | Unconjugated |
| 形式 | Liquid |
| 纯化方式 | Antigen affinity Purification |
| UNIPROT ID | Q17R89 |
| 储存缓冲液 | PBS with 0.02% sodium azide and 50% glycerol, pH 7.3. |
| 储存条件 | Store at -20°C. Stable for one year after shipment. Aliquoting is unnecessary for -20oC storage. |
背景介绍
Rho GTPase-activating protein 44 (ARHGAP44) belongs to the Rho GTPase-activating protein (RhoGAP) family, also known as Rich2.ARHGAP44 plays an important role in cytoskeletal dynamics, cellular motility and signaling. Its high expression in osteosarcoma correlates with tumor malignancy, suggesting its potential as a potential therapeutic target. In addition, ARHGAP44 may also be involved in the pathogenesis of diabetes and cardiovascular diseases, and its specific role in these diseases needs to be further investigated in the future.
实验方案
| Product Specific Protocols | |
|---|---|
| IF protocol for ARHGAP44 antibody 32382-1-AP | Download protocol |
| IHC protocol for ARHGAP44 antibody 32382-1-AP | Download protocol |
| WB protocol for ARHGAP44 antibody 32382-1-AP | Download protocol |
| Standard Protocols | |
|---|---|
| Click here to view our Standard Protocols |




