验证数据展示
经过测试的应用
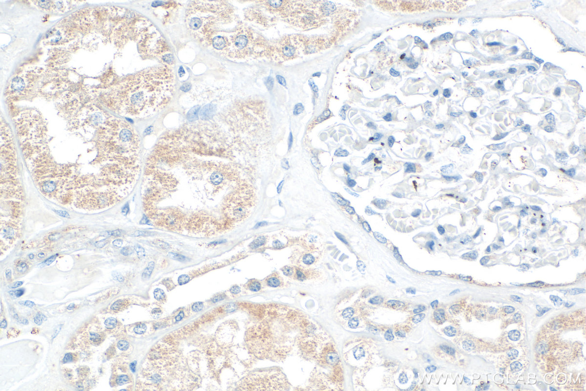
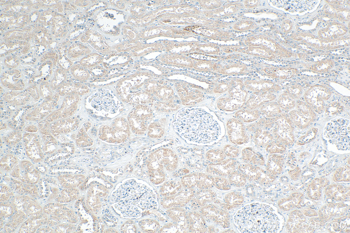
| Positive IHC detected in | human kidney tissue, mouse cerebellum tissue, mouse kidney tissue Note: suggested antigen retrieval with TE buffer pH 9.0; (*) Alternatively, antigen retrieval may be performed with citrate buffer pH 6.0 |
| Positive IF-P detected in | mouse cerebellum tissue, rat kidney tissue |
推荐稀释比
| 应用 | 推荐稀释比 |
|---|---|
| Immunohistochemistry (IHC) | IHC : 1:50-1:500 |
| Immunofluorescence (IF)-P | IF-P : 1:200-1:800 |
| It is recommended that this reagent should be titrated in each testing system to obtain optimal results. | |
| Sample-dependent, Check data in validation data gallery. | |
产品信息
17855-1-AP targets ARHGAP12 in IHC, IF-P, ELISA applications and shows reactivity with human, mouse samples.
| 经测试应用 | IHC, IF-P, ELISA Application Description |
| 经测试反应性 | human, mouse |
| 免疫原 |
CatNo: Ag12309 Product name: Recombinant human ARHGAP12 protein Source: e coli.-derived, PGEX-4T Tag: GST Domain: 486-841 aa of BC094719 Sequence: AVLQGSSLLFTKTQGSSTSWFGSNQSKPEFTVDLKGATIEMASKDKSSKKNVFELKTRQGTELLIQSDNDTVINDWFKVLSSTINNQAVETDEGIEEEIPDSPGIEKHDKEKEQKDPKKLRSFKVSSIDSSEQKKTKKNLKKFLTRRPTLQAVREKGYIKDQVFGSNLANLCQRENGTVPKFVKLCIEHVEEHGLDIDGIYRVSGNLAVIQKLRFAVNHDEKLDLNDSKWEDIHVITGALKMFFRELPEPLFTFNHFNDFVNAIKQEPRQRVAAVKDLIRQLPKPNQDTMQILFRHLRRVIENGEKNRMTYQSIAIVFGPTLLKPEKETGNIAVHTVYQNQIVELILLELSSIFGR 种属同源性预测 |
| 宿主/亚型 | Rabbit / IgG |
| 抗体类别 | Polyclonal |
| 产品类型 | Antibody |
| 全称 | Rho GTPase activating protein 12 |
| 别名 | Rho GTPase-activating protein 12, Rho-type GTPase-activating protein 12 |
| 计算分子量 | 841 aa, 96 kDa |
| GenBank蛋白编号 | BC094719 |
| 基因名称 | ARHGAP12 |
| Gene ID (NCBI) | 94134 |
| 偶联类型 | Unconjugated |
| 形式 | Liquid |
| 纯化方式 | Antigen affinity purification |
| UNIPROT ID | Q8IWW6 |
| 储存缓冲液 | PBS with 0.02% sodium azide and 50% glycerol, pH 7.3. |
| 储存条件 | Store at -20°C. Stable for one year after shipment. Aliquoting is unnecessary for -20oC storage. |
背景介绍
ARHGAP12 belongs to the Rho GTPase-activating protein (RhoGAP) family. RhoGAP is a key regulatory factor of the small GTPase Rho family and serves as a molecular switch that regulates various cellular processes. ARHGAP12 is involved in suppressing tumor formation by regulating cell invasion and adhesion.
实验方案
| Product Specific Protocols | |
|---|---|
| IF protocol for ARHGAP12 antibody 17855-1-AP | Download protocol |
| IHC protocol for ARHGAP12 antibody 17855-1-AP | Download protocol |
| Standard Protocols | |
|---|---|
| Click here to view our Standard Protocols |





