验证数据展示
经过测试的应用
| Positive WB detected in | HeLa cells, human brain tissue, human heart tissue, human liver tissue, mouse pancreas tissue |
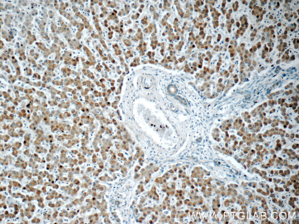
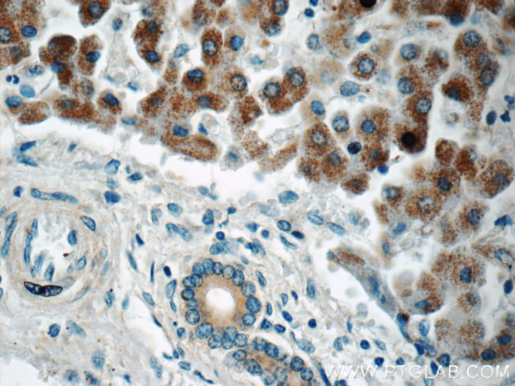
| Positive IHC detected in | human liver tissue, human pancreas tissue Note: suggested antigen retrieval with TE buffer pH 9.0; (*) Alternatively, antigen retrieval may be performed with citrate buffer pH 6.0 |
| Positive IF/ICC detected in | Hela cells, HepG2 cells |
推荐稀释比
| 应用 | 推荐稀释比 |
|---|---|
| Western Blot (WB) | WB : 1:1000-1:4000 |
| Immunohistochemistry (IHC) | IHC : 1:20-1:200 |
| Immunofluorescence (IF)/ICC | IF/ICC : 1:10-1:100 |
| It is recommended that this reagent should be titrated in each testing system to obtain optimal results. | |
| Sample-dependent, Check data in validation data gallery. | |
产品信息
14548-1-AP targets ARFIP2 in WB, IHC, IF/ICC, ELISA applications and shows reactivity with human, mouse, rat samples.
| 经测试应用 | WB, IHC, IF/ICC, ELISA Application Description |
| 文献引用应用 | WB, IHC, IF |
| 经测试反应性 | human, mouse, rat |
| 文献引用反应性 | human, mouse |
| 免疫原 |
CatNo: Ag6076 Product name: Recombinant human ARFIP2 protein Source: e coli.-derived, PET28a Tag: 6*His Domain: 138-341 aa of BC000392 Sequence: RKYESVLQLGRALTAHLYSLLQTQHALGDAFADLSQKSPELQEEFGYNAETQKLLCKNGETLLGAVNFFVSSINTLVTKTMEDTLMTVKQYEAARLEYDAYRTDLEELSLGPRDAGTRGRLESAQATFQAHRDKYEKLRGDVAIKLKFLEENKIKVMHKQLLLFHNAVSAYFAGNQKQLEQTLQQFNIKLRPPGAEKPSWLEEQ 种属同源性预测 |
| 宿主/亚型 | Rabbit / IgG |
| 抗体类别 | Polyclonal |
| 产品类型 | Antibody |
| 全称 | ADP-ribosylation factor interacting protein 2 |
| 别名 | POR1, Arfaptin-2, Arfaptin 2, ADP-ribosylation factor-interacting protein 2 |
| 计算分子量 | 38 kDa |
| 观测分子量 | 38 kDa, 45 kDa |
| GenBank蛋白编号 | BC000392 |
| 基因名称 | ARFIP2 |
| Gene ID (NCBI) | 23647 |
| RRID | AB_2242930 |
| 偶联类型 | Unconjugated |
| 形式 | Liquid |
| 纯化方式 | Antigen affinity purification |
| UNIPROT ID | P53365 |
| 储存缓冲液 | PBS with 0.02% sodium azide and 50% glycerol, pH 7.3. |
| 储存条件 | Store at -20°C. Stable for one year after shipment. Aliquoting is unnecessary for -20oC storage. |
实验方案
| Product Specific Protocols | |
|---|---|
| WB protocol for ARFIP2 antibody 14548-1-AP | Download protocol |
| IHC protocol for ARFIP2 antibody 14548-1-AP | Download protocol |
| IF protocol for ARFIP2 antibody 14548-1-AP | Download protocol |
| Standard Protocols | |
|---|---|
| Click here to view our Standard Protocols |
发表文章
| Species | Application | Title |
|---|---|---|
Cell Signal Deciphering the immunological and prognostic features of hepatocellular carcinoma through ADP-ribosylation-related genes analysis and identify potential therapeutic target ARFIP2 | ||
J Hepatocell Carcinoma ARFIP2 Regulates EMT and Autophagy in Hepatocellular Carcinoma in Part Through the PI3K/Akt Signalling Pathway |











