验证数据展示
经过测试的应用
| Positive WB detected in | HeLa cells, LNCaP cells, HepG2 cells, mouse heart tissue, rat heart tissue |
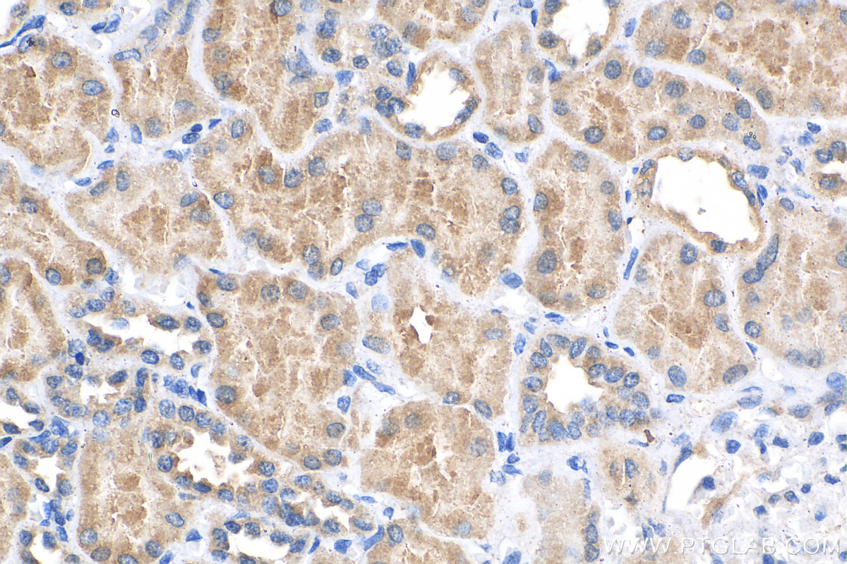
| Positive IHC detected in | human kidney tissue, human placenta tissue Note: suggested antigen retrieval with TE buffer pH 9.0; (*) Alternatively, antigen retrieval may be performed with citrate buffer pH 6.0 |
| Positive IF/ICC detected in | HeLa cells |
推荐稀释比
| 应用 | 推荐稀释比 |
|---|---|
| Western Blot (WB) | WB : 1:1000-1:6000 |
| Immunohistochemistry (IHC) | IHC : 1:150-1:600 |
| Immunofluorescence (IF)/ICC | IF/ICC : 1:200-1:800 |
| It is recommended that this reagent should be titrated in each testing system to obtain optimal results. | |
| Sample-dependent, Check data in validation data gallery. | |
发表文章中的应用
| WB | See 3 publications below |
| IP | See 1 publications below |
产品信息
28514-1-AP targets APOOL in WB, IHC, IF/ICC, IP, ELISA applications and shows reactivity with Human, Mouse, Rat samples.
| 经测试应用 | WB, IHC, IF/ICC, ELISA Application Description |
| 文献引用应用 | WB, IP |
| 经测试反应性 | Human, Mouse, Rat |
| 文献引用反应性 | human, mouse |
| 免疫原 |
CatNo: Ag29392 Product name: Recombinant human APOOL protein Source: e coli.-derived, PGEX-4T Tag: GST Domain: 127-268 aa of BC107096 Sequence: VSARKGSKFKKITYPLGLATLGATVCYPVQSVIIAKVTAKKVYATSQQIFGAVKSLWTKSSKEESLPKPKEKTKLGSSSEIEVPAKTTHVLKHSVPLPTELSSEAKTKSESTSGATQFMPDPKLMDHGQSHPEDIDMYSTRS 种属同源性预测 |
| 宿主/亚型 | Rabbit / IgG |
| 抗体类别 | Polyclonal |
| 产品类型 | Antibody |
| 全称 | apolipoprotein O-like |
| 别名 | apolipoprotein O like, APOOL, CXorf33, FAM121A, MIC27, Protein FAM121A, UNQ8193 |
| 计算分子量 | 268 aa, 29 kDa |
| 观测分子量 | 30 kDa |
| GenBank蛋白编号 | BC107096 |
| 基因名称 | APOOL |
| Gene ID (NCBI) | 139322 |
| RRID | AB_3086061 |
| 偶联类型 | Unconjugated |
| 形式 | Liquid |
| 纯化方式 | Antigen affinity purification |
| UNIPROT ID | Q6UXV4 |
| 储存缓冲液 | PBS with 0.02% sodium azide and 50% glycerol, pH 7.3. |
| 储存条件 | Store at -20°C. Stable for one year after shipment. Aliquoting is unnecessary for -20oC storage. |
背景介绍
APOOL, the component of the MICOS complex, is a large protein complex of the mitochondrial inner membrane that plays crucial roles in the maintenance of crista junctions, inner membrane architecture, and formation of contact sites to the outer membrane. Specifically binds to cardiolipin (in vitro) but not to the precursor lipid phosphatidylglycerol. Plays a crucial role in crista junction formation and mitochondrial function (PubMed:23704930), (PubMed:25764979). Its molecular weight is about 30 kDa.
实验方案
| Product Specific Protocols | |
|---|---|
| IF protocol for APOOL antibody 28514-1-AP | Download protocol |
| IHC protocol for APOOL antibody 28514-1-AP | Download protocol |
| WB protocol for APOOL antibody 28514-1-AP | Download protocol |
| Standard Protocols | |
|---|---|
| Click here to view our Standard Protocols |
发表文章
| Species | Application | Title |
|---|---|---|
Cell Rep Mitochondrial GCN5L1 coordinates with YME1L and MICOS to remodel mitochondrial cristae in white adipocytes and modulate obesity | ||
Cells Heart-Specific and Conditional Deletion of the Immt Gene Reveals Its Role in Regulating Mitochondrial Structure and Total Heart Metabolism. | ||





