验证数据展示
经过测试的应用
| Positive WB detected in | A549 cells, A431 cells, HeLa cells |
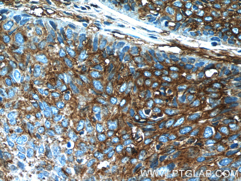
| Positive IHC detected in | human lung cancer tissue Note: suggested antigen retrieval with TE buffer pH 9.0; (*) Alternatively, antigen retrieval may be performed with citrate buffer pH 6.0 |
| Positive IF/ICC detected in | HeLa cells |
推荐稀释比
| 应用 | 推荐稀释比 |
|---|---|
| Western Blot (WB) | WB : 1:1000-1:4000 |
| Immunohistochemistry (IHC) | IHC : 1:20-1:200 |
| Immunofluorescence (IF)/ICC | IF/ICC : 1:200-1:800 |
| It is recommended that this reagent should be titrated in each testing system to obtain optimal results. | |
| Sample-dependent, Check data in validation data gallery. | |
发表文章中的应用
| KD/KO | See 1 publications below |
| WB | See 4 publications below |
产品信息
25925-1-AP targets APOL2 in WB, IHC, IF/ICC, ELISA applications and shows reactivity with human samples.
| 经测试应用 | WB, IHC, IF/ICC, ELISA Application Description |
| 文献引用应用 | WB |
| 经测试反应性 | human |
| 文献引用反应性 | human, mouse |
| 免疫原 |
CatNo: Ag7622 Product name: Recombinant human APOL2 protein Source: e coli.-derived, PET28a Tag: 6*His Domain: 1-337 aa of BC004395 Sequence: MNPESSIFIEDYLKYFQDQVSRENLLQLLTDDEAWNGFVAAAELPRDEADELRKALNKLASHMVMKDKNRHDKDQQHRQWFLKEFPRLKRELEDHIRKLRALAEEVEQVHRGTTIANVVSNSVGTTSGILTLLGLGLAPFTEGISFVLLDTGMGLGAAAAVAGITCSVVELVNKLRARAQARNLDQSGTNVAKVMKEFVGGNTPNVLTLVDNWYQVTQGIGRNIRAIRRARANPQLGAYAPPPHVIGRISAEGGEQVERVVEGPAQAMSRGTMIVGAATGGILLLLDVVSLAYESKHLLEGAKSESAEELKKRAQELEGKLNFLTKIHEMLQPGQDQ 种属同源性预测 |
| 宿主/亚型 | Rabbit / IgG |
| 抗体类别 | Polyclonal |
| 产品类型 | Antibody |
| 全称 | apolipoprotein L, 2 |
| 别名 | Apolipoprotein L-II, ApoL-II, APOL3, APOL II |
| 计算分子量 | 37 kDa |
| 观测分子量 | 37 kDa |
| GenBank蛋白编号 | BC004395 |
| 基因名称 | APOL2 |
| Gene ID (NCBI) | 23780 |
| RRID | AB_2880297 |
| 偶联类型 | Unconjugated |
| 形式 | Liquid |
| 纯化方式 | Protein A purification |
| UNIPROT ID | Q9BQE5 |
| 储存缓冲液 | PBS with 0.02% sodium azide and 50% glycerol, pH 7.3. |
| 储存条件 | Store at -20°C. Stable for one year after shipment. Aliquoting is unnecessary for -20oC storage. |
实验方案
| Product Specific Protocols | |
|---|---|
| IF protocol for APOL2 antibody 25925-1-AP | Download protocol |
| IHC protocol for APOL2 antibody 25925-1-AP | Download protocol |
| WB protocol for APOL2 antibody 25925-1-AP | Download protocol |
| Standard Protocols | |
|---|---|
| Click here to view our Standard Protocols |
发表文章
| Species | Application | Title |
|---|---|---|
Chem Commun (Camb) Competitive affinity-based proteome profiling and imaging to reveal potential cellular targets of betulinic acid.
| ||
Aging (Albany NY) TMT-based quantitative proteomic analysis revealed that FBLN2 and NPR3 are involved in the early osteogenic differentiation of mesenchymal stem cells (MSCs) | ||
Nat Chem Biol A natural small molecule alleviates liver fibrosis by targeting apolipoprotein L2 | ||
Adv Sci (Weinh) APOL2 Stabilizes Ku80 to Confer NHEJ-Mediated Radioresistance in Gastric Cancer |





