验证数据展示
经过测试的应用
| Positive WB detected in | human plasma tissue, human blood, human plasma, T-47D cells, HepG2 cells, Caco-2 cells |
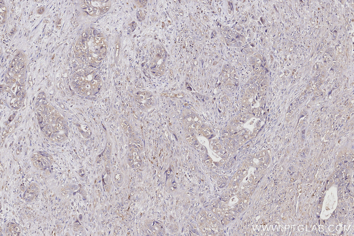
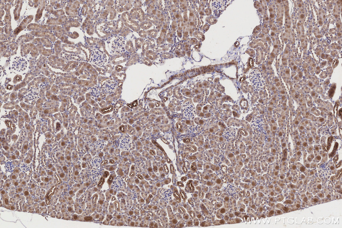
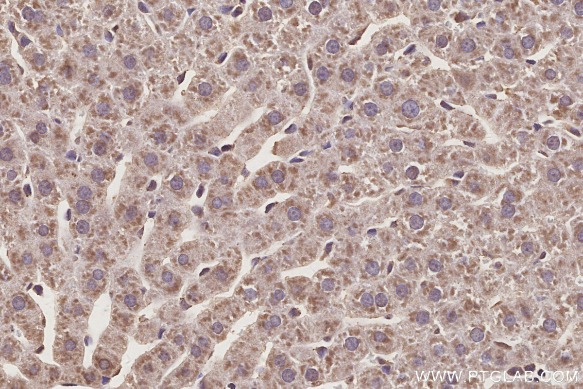
| Positive IHC detected in | human pancreas cancer tissue, mouse kidney tissue, rat liver tissue Note: suggested antigen retrieval with TE buffer pH 9.0; (*) Alternatively, antigen retrieval may be performed with citrate buffer pH 6.0 |
| Positive IF/ICC detected in | HepG2 cells |
| Positive FC (Intra) detected in | HepG2 cells |
推荐稀释比
| 应用 | 推荐稀释比 |
|---|---|
| Western Blot (WB) | WB : 1:3000-1:20000 |
| Immunohistochemistry (IHC) | IHC : 1:500-1:2000 |
| Immunofluorescence (IF)/ICC | IF/ICC : 1:400-1:1600 |
| Flow Cytometry (FC) (INTRA) | FC (INTRA) : 0.80 ug per 10^6 cells in a 100 µl suspension |
| It is recommended that this reagent should be titrated in each testing system to obtain optimal results. | |
| Sample-dependent, Check data in validation data gallery. | |
产品信息
66830-1-Ig targets APOE in WB, IHC, IF/ICC, FC (Intra), ELISA applications and shows reactivity with human, mouse, rat samples.
| 经测试应用 | WB, IHC, IF/ICC, FC (Intra), ELISA Application Description |
| 文献引用应用 | WB, IHC, IF |
| 经测试反应性 | human, mouse, rat |
| 文献引用反应性 | human, mouse |
| 免疫原 |
CatNo: Ag28186 Product name: Recombinant human APOE protein Source: e coli.-derived, PET28a Tag: 6*His Domain: 66-317 aa of BC003557 Sequence: QEELLSSQVTQELRALMDETMKELKAYKSELEEQLTPVAEETRARLSKELQAAQARLGADMEDVCGRLVQYRGEVQAMLGQSTEELRVRLASHLRKLRKRLLRDADDLQKRLAVYQAGAREGAERGLSAIRERLGPLVEQGRVRAATVGSLAGQPLQERAQAWGERLRARMEEMGSRTRDRLDEVKEQVAEVRAKLEEQAQQIRLQAEAFQARLKSWFEPLVEDMQRQWAGLVEKVQAAVGTSAAPVPSDNH 种属同源性预测 |
| 宿主/亚型 | Mouse / IgG1 |
| 抗体类别 | Monoclonal |
| 产品类型 | Antibody |
| 全称 | Apolipoprotein E |
| 别名 | 1B2C9, Apo E, Apo-E, apoe4, apolipoprotein E |
| 计算分子量 | 36 kDa |
| 观测分子量 | 34-36 kDa |
| GenBank蛋白编号 | BC003557 |
| 基因名称 | APOE |
| Gene ID (NCBI) | 348 |
| RRID | AB_2882173 |
| 偶联类型 | Unconjugated |
| 形式 | Liquid |
| 纯化方式 | Protein G purification |
| UNIPROT ID | P02649 |
| 储存缓冲液 | PBS with 0.02% sodium azide and 50% glycerol, pH 7.3. |
| 储存条件 | Store at -20°C. Stable for one year after shipment. Aliquoting is unnecessary for -20oC storage. |
背景介绍
The apolipoprotein E (APOE) is a 299-amino acid polypeptide that mediates the binding, internalization, and catabolism of lipoprotein particles, and also serve as a ligand for the LDL (APO B/E) receptor and for the specific APOE receptor (chylomicron remnant) of hepatic tissues. The very strong association of the APOE ɛ4 allele with AD risk and its role in the accumulation of amyloid β in brains of people and animal models solidify the biological relevance of APOE isoforms but do not provide mechanistic insight.
实验方案
| Product Specific Protocols | |
|---|---|
| IF protocol for APOE antibody 66830-1-Ig | Download protocol |
| IHC protocol for APOE antibody 66830-1-Ig | Download protocol |
| WB protocol for APOE antibody 66830-1-Ig | Download protocol |
| Standard Protocols | |
|---|---|
| Click here to view our Standard Protocols |
发表文章
| Species | Application | Title |
|---|---|---|
Nat Aging Single-cell and spatial RNA sequencing identify divergent microenvironments and progression signatures in early- versus late-onset prostate cancer | ||
Brain Behav Immun Egln3 expression in microglia enhances the neuroinflammatory responses in Alzheimer's disease | ||
EMBO J Rab2A-mediated Golgi-lipid droplet interactions support very-low-density lipoprotein secretion in hepatocytes | ||
J Biol Chem Lack of ApoE inhibits ADan amyloidosis in a mouse model of Familial Danish Dementia | ||
Front Immunol Binding of Macrophage Receptor MARCO, LDL, and LDLR to Disease-Associated Crystalline Structures. |










