验证数据展示
经过测试的应用
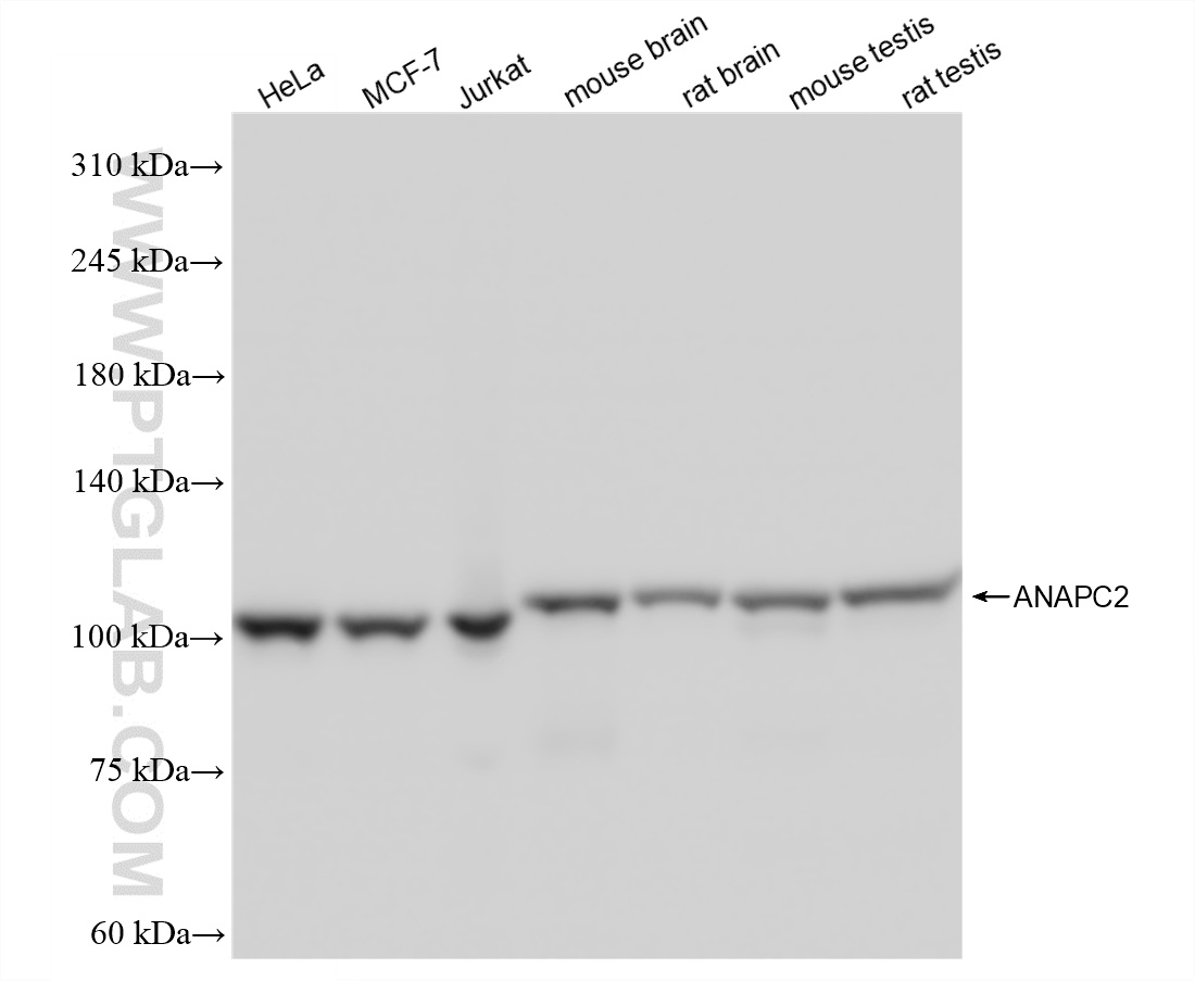
| Positive WB detected in | HeLa cells, MCF-7 cells, Jurkat cells, mouse brain tissue, rat brain tissue, mouse testis tissue, rat testis tissue |
推荐稀释比
| 应用 | 推荐稀释比 |
|---|---|
| Western Blot (WB) | WB : 1:5000-1:50000 |
| It is recommended that this reagent should be titrated in each testing system to obtain optimal results. | |
| Sample-dependent, Check data in validation data gallery. | |
产品信息
86653-1-RR targets APC2 in WB, ELISA applications and shows reactivity with human, mouse, rat samples.
| 经测试应用 | WB, ELISA Application Description |
| 经测试反应性 | human, mouse, rat |
| 免疫原 |
CatNo: Ag4427 Product name: Recombinant human ANAPC2 protein Source: e coli.-derived, PGEX-4T Tag: GST Domain: 524-822 aa of BC032503 Sequence: ADRLLHQFSFSPEREIRNVELLKLRFGEAPMHFCEVMLKDMADSRRINANIREEDEKRPAEEQPPFGVYAVILSSEFWPPFKDEKLEVPEDIRAALEAYCKKYEQLKAMRTLSWKHTLGLVTMDVELADRTLSVAVTPVQAVILLYFQDQASWTLEELSKAVKMPVALLRRRMSVWLQQGVLREEPPGTFSVIEEERPQDRDNMVLIDSDDESDSGMASQADQKEEELLLFWTYIQAMLTNLESLSLDRIYNMLRMFVVTGPALAEIDLQELQGYLQKKVRDQQLVYSAGVYRLPKNCS 种属同源性预测 |
| 宿主/亚型 | Rabbit / IgG |
| 抗体类别 | Recombinant |
| 产品类型 | Antibody |
| 全称 | anaphase promoting complex subunit 2 |
| 别名 | ANAPC 2, ANAPC2, Anaphase-promoting complex subunit 2 |
| 计算分子量 | 822 aa, 94 kDa |
| 观测分子量 | 100 kDa |
| GenBank蛋白编号 | BC032503 |
| 基因名称 | APC2 |
| Gene ID (NCBI) | 29882 |
| 偶联类型 | Unconjugated |
| 形式 | Liquid |
| 纯化方式 | Protein A purification |
| UNIPROT ID | Q9UJX6 |
| 储存缓冲液 | PBS with 0.02% sodium azide and 50% glycerol, pH 7.3. |
| 储存条件 | Store at -20°C. Stable for one year after shipment. Aliquoting is unnecessary for -20oC storage. |
实验方案
| Product Specific Protocols | |
|---|---|
| WB protocol for APC2 antibody 86653-1-RR | Download protocol |
| Standard Protocols | |
|---|---|
| Click here to view our Standard Protocols |

