验证数据展示
经过测试的应用
| Positive WB detected in | mouse liver tissue, human testis tissue, mouse ovary tissue, mouse testis tissue, rat liver tissue |
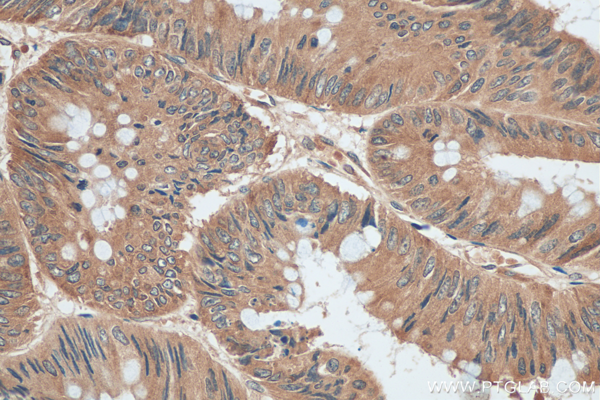
| Positive IHC detected in | human colon cancer tissue, human ovary tumor tissue Note: suggested antigen retrieval with TE buffer pH 9.0; (*) Alternatively, antigen retrieval may be performed with citrate buffer pH 6.0 |
推荐稀释比
| 应用 | 推荐稀释比 |
|---|---|
| Western Blot (WB) | WB : 1:1000-1:6000 |
| Immunohistochemistry (IHC) | IHC : 1:50-1:500 |
| It is recommended that this reagent should be titrated in each testing system to obtain optimal results. | |
| Sample-dependent, Check data in validation data gallery. | |
产品信息
15319-1-AP targets AP3S2 in WB, IHC, ELISA applications and shows reactivity with human, mouse, rat samples.
| 经测试应用 | WB, IHC, ELISA Application Description |
| 经测试反应性 | human, mouse, rat |
| 免疫原 |
CatNo: Ag7565 Product name: Recombinant human AP3S2 protein Source: e coli.-derived, PGEX-4T Tag: GST Domain: 1-193 aa of BC002785 Sequence: MIQAILVFNNHGKPRLVRFYQRFPEEIQQQIVRETFHLVLKRDDNICNFLEGGSLIGGSDYKLIYRHYATLYFVFCVDSSESELGILDLIQVFVETLDKCFENVCELDLIFHMDKVHYILQEVVMGGMVLETNMNEIVAQIEAQNRLEKSEGGLSAAPARAVSAVKNINLPEIPRNINIGDLNIKVPNLSQFV 种属同源性预测 |
| 宿主/亚型 | Rabbit / IgG |
| 抗体类别 | Polyclonal |
| 产品类型 | Antibody |
| 全称 | adaptor-related protein complex 3, sigma 2 subunit |
| 别名 | AP 3 complex subunit sigma 2, AP 3 complex subunit sigma 3B, AP3S2, AP3S3, Sigma 3B adaptin, Sigma adaptin 3b, sigma3b, Sigma3B adaptin |
| 计算分子量 | 22 kDa |
| 观测分子量 | 22 kDa |
| GenBank蛋白编号 | BC002785 |
| 基因名称 | AP3S2 |
| Gene ID (NCBI) | 10239 |
| RRID | AB_2056644 |
| 偶联类型 | Unconjugated |
| 形式 | Liquid |
| 纯化方式 | Antigen affinity purification |
| UNIPROT ID | P59780 |
| 储存缓冲液 | PBS with 0.02% sodium azide and 50% glycerol, pH 7.3. |
| 储存条件 | Store at -20°C. Stable for one year after shipment. Aliquoting is unnecessary for -20oC storage. |
背景介绍
AP3S2 is a 22-kDa protein that belongs to the adaptor complexes small subunit family. AP3S2 is a subunit of the AP-3 complex which is associated with the Golgi region as well as more peripheral structures. Adaptor protein (AP) complexes are cytosolic heterotetramers that mediate the sorting of membrane proteins in the secretory and endocytic pathways. AP-3 complex is composed of two large adaptins (AP3D1 and AP3B1 or AP3B2), a medium adaptin (AP3M1 or AP3M2) and a small adaptin (APS1 or AP3S2).
实验方案
| Product Specific Protocols | |
|---|---|
| IHC protocol for AP3S2 antibody 15319-1-AP | Download protocol |
| WB protocol for AP3S2 antibody 15319-1-AP | Download protocol |
| Standard Protocols | |
|---|---|
| Click here to view our Standard Protocols |








