验证数据展示
经过测试的应用
| Positive WB detected in | HEK-293 cells, SH-SY5Y cells, mouse heart tissue |
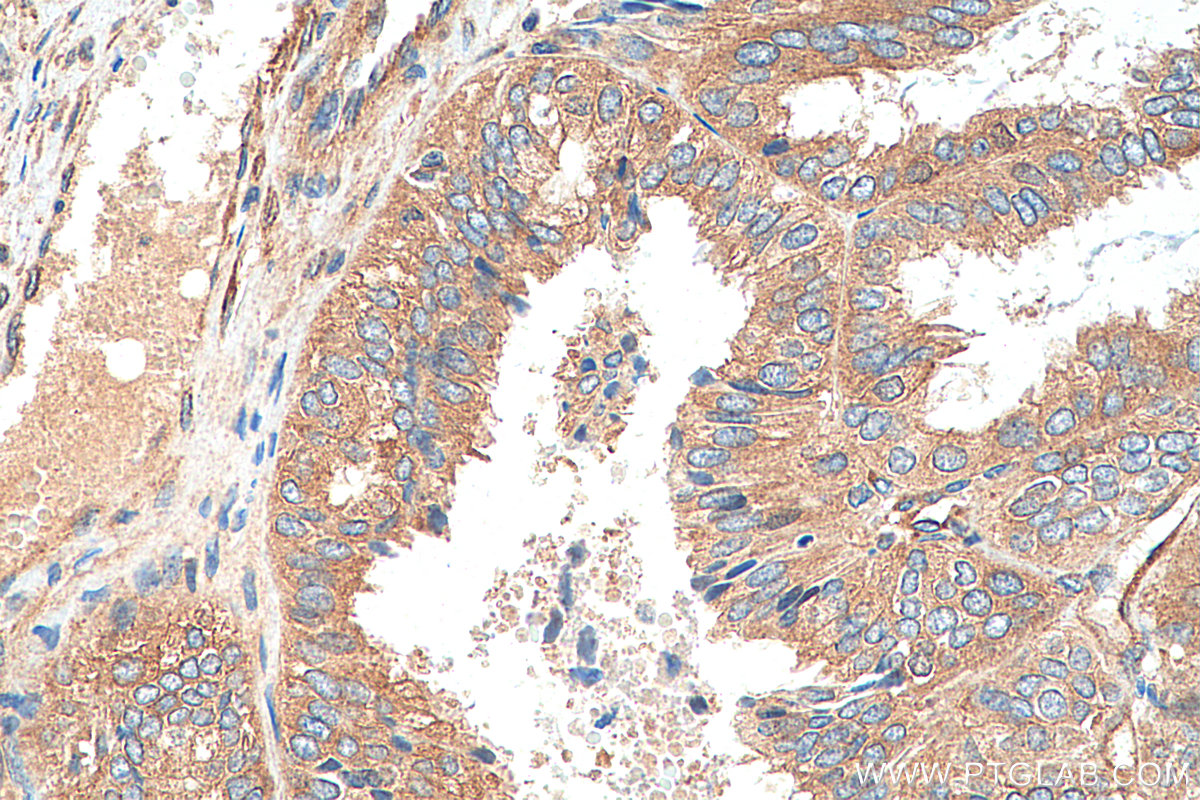
| Positive IHC detected in | human ovary tumor tissue Note: suggested antigen retrieval with TE buffer pH 9.0; (*) Alternatively, antigen retrieval may be performed with citrate buffer pH 6.0 |
| Positive IF/ICC detected in | SH-SY5Y cells, HeLa cells |
推荐稀释比
| 应用 | 推荐稀释比 |
|---|---|
| Western Blot (WB) | WB : 1:2000-1:10000 |
| Immunohistochemistry (IHC) | IHC : 1:250-1:1000 |
| Immunofluorescence (IF)/ICC | IF/ICC : 1:200-1:800 |
| It is recommended that this reagent should be titrated in each testing system to obtain optimal results. | |
| Sample-dependent, Check data in validation data gallery. | |
发表文章中的应用
| WB | See 3 publications below |
| IF | See 1 publications below |
产品信息
29887-1-AP targets AP2A1 in WB, IHC, IF/ICC, ELISA applications and shows reactivity with Human, mouse samples.
| 经测试应用 | WB, IHC, IF/ICC, ELISA Application Description |
| 文献引用应用 | WB, IF |
| 经测试反应性 | Human, mouse |
| 文献引用反应性 | human |
| 免疫原 |
CatNo: Ag31809 Product name: Recombinant human AP2A1 protein Source: e coli.-derived, PET28a Tag: 6*His Domain: 623-977 aa of NM_014203 Sequence: GAGSALDDGRRDPSSNDINGGMEPTPSTVSTPSPSADLLGLRAAPPPAAPPASAGAGNLLVDVFDGPAAQPSLGPTPEEAFLSELEPPAPESPMALLADPAPAADPGPEDIGPPIPEADELLNKFVCKNNGVLFENQLLQIGVKSEFRQNLGRMYLFYGNKTSVQFQNFSPTVVHPGDLQTQLAVQTKRVAAQVDGGAQVQQVLNIECLRDFLTPPLLSVRFRYGGAPQALTLKLPVTINKFFQPTEMAAQDFFQRWKQLSLPQQEAQKIFKANHPMDAEVTKAKLLGFGSALLDNVDPNPENFVGAGIIQTKALQVGCLLRLEPNAQAQMYRLTLRTSKEPVSRHLCELLAQQF 种属同源性预测 |
| 宿主/亚型 | Rabbit / IgG |
| 抗体类别 | Polyclonal |
| 产品类型 | Antibody |
| 全称 | adaptor-related protein complex 2, alpha 1 subunit |
| 别名 | ADTAA, Alpha adaptin A, Alpha1 adaptin, AP 2 complex subunit alpha 1, AP2 ALPHA, AP2A1, CLAPA1 |
| 计算分子量 | 108KD |
| 观测分子量 | 100-108 kDa |
| GenBank蛋白编号 | NM_014203 |
| 基因名称 | AP2A1 |
| Gene ID (NCBI) | 160 |
| RRID | AB_2918351 |
| 偶联类型 | Unconjugated |
| 形式 | Liquid |
| 纯化方式 | Antigen affinity purification |
| UNIPROT ID | O95782 |
| 储存缓冲液 | PBS with 0.02% sodium azide and 50% glycerol, pH 7.3. |
| 储存条件 | Store at -20°C. Aliquoting is unnecessary for -20oC storage. |
背景介绍
AP2A1 encodes adaptor protein complex 2 (AP-2) subunit alpha-1, which is a 100 kDa coated vesicle protein. Adaptor protein (AP) complexes are cytosolic heterotetramers that mediate the sorting of membrane proteins in the secretory and endocytic pathways. AP complexes are involved in the formation of clathrin-coated vesicles (CCVs) by recruiting the scaffold protein, clathrin. AP complexes also play a pivotal role in the cargo selection by recognizing the sorting signals within the cytoplasmic tail of integral membrane proteins. AP-2 is involved in clathrin-dependent endocytosis.
实验方案
| Product Specific Protocols | |
|---|---|
| IF protocol for AP2A1 antibody 29887-1-AP | Download protocol |
| IHC protocol for AP2A1 antibody 29887-1-AP | Download protocol |
| WB protocol for AP2A1 antibody 29887-1-AP | Download protocol |
| Standard Protocols | |
|---|---|
| Click here to view our Standard Protocols |
发表文章
| Species | Application | Title |
|---|---|---|
J Biol Chem The GPCR adaptor protein Norbin controls the trafficking of C5aR1 and CXCR4 in mouse neutrophils | ||
Biomed Pharmacother Drug target proteome profiling identifies HES1-driven mitotic catastrophe in ovarian serous carcinoma. | ||
bioRxiv Interactome mapping in human excitatory neurons reveals novel risk genes and pathways in Alzheimer's disease. |




