验证数据展示
经过测试的应用
| Positive WB detected in | mouse liver tissue, HepG2 cells, mouse kidney tissue, rat liver tissue |
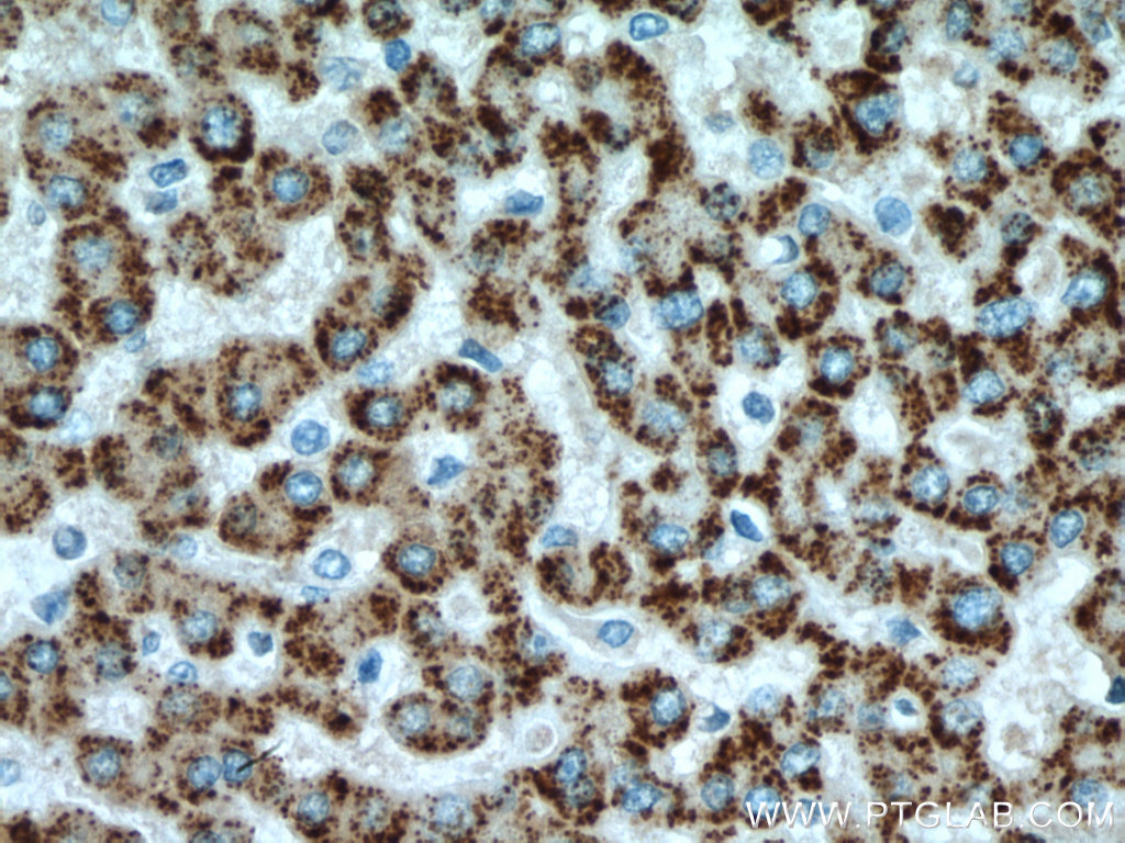
| Positive IHC detected in | human liver cancer tissue Note: suggested antigen retrieval with TE buffer pH 9.0; (*) Alternatively, antigen retrieval may be performed with citrate buffer pH 6.0 |
| Positive IF/ICC detected in | A549 cells |
推荐稀释比
| 应用 | 推荐稀释比 |
|---|---|
| Western Blot (WB) | WB : 1:1000-1:8000 |
| Immunohistochemistry (IHC) | IHC : 1:50-1:500 |
| Immunofluorescence (IF)/ICC | IF/ICC : 1:50-1:500 |
| It is recommended that this reagent should be titrated in each testing system to obtain optimal results. | |
| Sample-dependent, Check data in validation data gallery. | |
产品信息
10957-1-AP targets ACOX1 in WB, IHC, IF/ICC, ELISA applications and shows reactivity with human, mouse, rat samples.
| 经测试应用 | WB, IHC, IF/ICC, ELISA Application Description |
| 文献引用应用 | WB, IHC, IF |
| 经测试反应性 | human, mouse, rat |
| 文献引用反应性 | human, mouse, rat, chicken, bovine |
| 免疫原 |
CatNo: Ag1405 Product name: Recombinant human AOX protein Source: e coli.-derived, PGEX-4T Tag: GST Domain: 275-660 aa of BC010425 Sequence: YGTMVFVRSFLVGEAARALSKACTIAIRYSAVRHQSEMKPGEPEPQILDFQTQQYKLFPLLATAYAFQFVGAYMKETYHRINEGIGQGDLSELPELHALTAGLKAFTSWTANTGIEACRMACGGHGYSHCSGLPNIYVNFTPSCTFEGENTVMMLQTARFLMKSYDQVHSGKLVCGMVSYLNDLPSQRIQPQQVAVWPTMVDINSPESLTEAYKLRAARLVEIAAKNLQKEVIHRKSKEVAWNLTSVDLVRASEAHCHYVVVKLFSEKLLKIQDKAIQAVLRSLCLLYSLYGISQNAGDFLQGSIMTEPQITQVNQRVKELLTLIRSDAVALVDAFDFQDVTLGSVLGRYDGNVYENLFEWAKNSPLNKAEVHESYKHLKSLQSKL 种属同源性预测 |
| 宿主/亚型 | Rabbit / IgG |
| 抗体类别 | Polyclonal |
| 产品类型 | Antibody |
| 全称 | acyl-Coenzyme A oxidase 1, palmitoyl |
| 别名 | Peroxisomal acyl-CoA oxidase 1, A chain, Palmitoyl-CoA oxidase, EC:1.3.3.6, AOX, ACOX 1 |
| 计算分子量 | 74 kDa |
| 观测分子量 | 70-74kDa, 50 kDa, 22kDa |
| GenBank蛋白编号 | BC010425 |
| 基因名称 | ACOX1 |
| Gene ID (NCBI) | 51 |
| RRID | AB_2221670 |
| 偶联类型 | Unconjugated |
| 形式 | Liquid |
| 纯化方式 | Antigen affinity purification |
| UNIPROT ID | Q15067 |
| 储存缓冲液 | PBS with 0.02% sodium azide and 50% glycerol, pH 7.3. |
| 储存条件 | Store at -20°C. Stable for one year after shipment. Aliquoting is unnecessary for -20oC storage. |
背景介绍
ACOX1(Peroxisomal acyl-coenzyme A oxidase 1) is the first and rate-limiting enzyme in the peroxisomal fatty acid beta-oxidation pathway and catalyzes the desaturation of acyl-CoAs to 2-trans-enoyl-CoAs. It belongs to the acyl-CoA oxidase family and also named as ACOX, AOX, SCOX. It has 3 isoforms produced by alternative splicing with the molecular mass of 70-74 kDa and can be cleaved post-translationally into a 50-kDa and a 22-kDa subunit between Val468 and Ala469 (PMID: 10672038). Defects in ACOX1 are the cause of adrenoleukodystrophy pseudoneonatal (Pseudo-NALD).
实验方案
| Product Specific Protocols | |
|---|---|
| IF protocol for ACOX1 antibody 10957-1-AP | Download protocol |
| IHC protocol for ACOX1 antibody 10957-1-AP | Download protocol |
| WB protocol for ACOX1 antibody 10957-1-AP | Download protocol |
| Standard Protocols | |
|---|---|
| Click here to view our Standard Protocols |
发表文章
| Species | Application | Title |
|---|---|---|
J Hematol Oncol Proteogenomic insights into the biology and treatment of pancreatic ductal adenocarcinoma | ||
Gastroenterology Intestinal PPARα Protects Against Colon Carcinogenesis via Regulation of Methyltransferases DNMT1 and PRMT6. | ||
Adv Sci (Weinh) α-Lipoic Acid Ameliorates Arsenic-Induced Lipid Disorders by Promoting Peroxisomal β-Oxidation and Reducing Lipophagy in Chicken Hepatocyte | ||
Mol Cell Acetyl-CoA Derived from Hepatic Peroxisomal β-Oxidation Inhibits Autophagy and Promotes Steatosis via mTORC1 Activation.
| ||
J Clin Invest Peroxisome-derived lipids regulate adipose thermogenesis by mediating cold-induced mitochondrial fission.
| ||






