验证数据展示
经过测试的应用
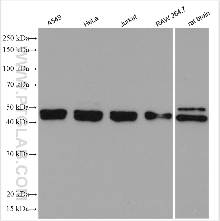
| Positive WB detected in | A549 cells, Jurkat cells, mouse lung tissue, L02 cells, mouse brain tissue, mouse heart tissue, HeLa cells, RAW 264.7 cells, rat brain tissue |
| Positive IP detected in | U-87 MG cells, mouse heart tissue |
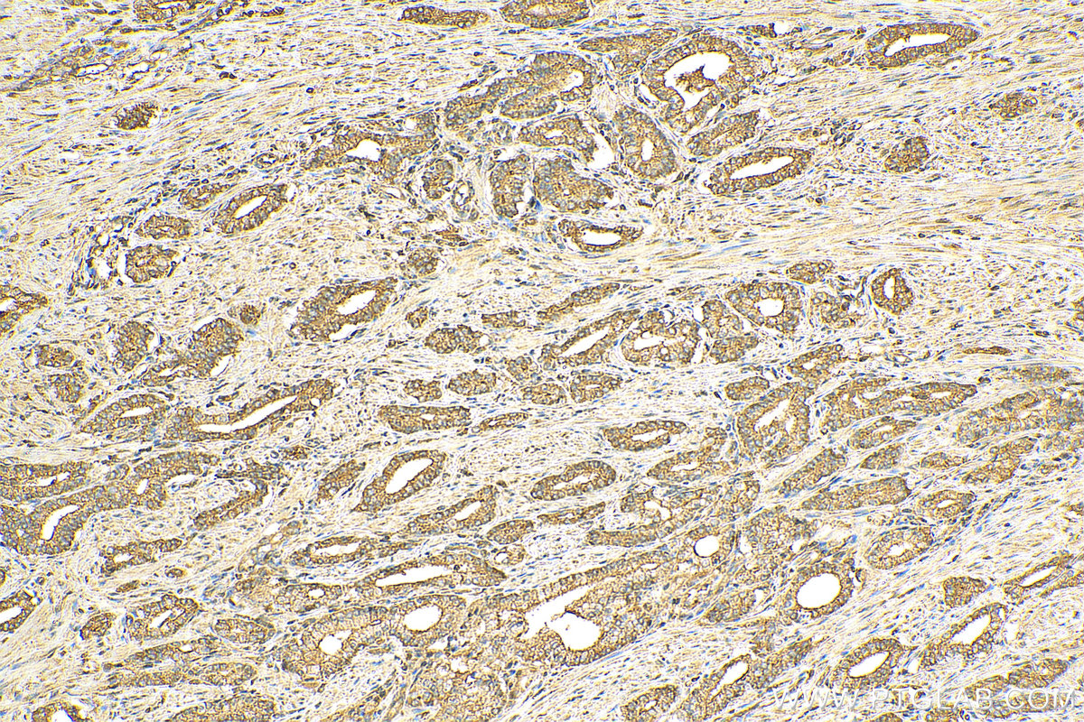
| Positive IHC detected in | mouse heart tissue, human pancreas tissue, human prostate cancer tissue, human stomach tissue, human stomach cancer tissue, mouse stomach tissue, rat stomach tissue Note: suggested antigen retrieval with TE buffer pH 9.0; (*) Alternatively, antigen retrieval may be performed with citrate buffer pH 6.0 |
| Positive FC (Intra) detected in | SH-SY5Y cells |
推荐稀释比
| 应用 | 推荐稀释比 |
|---|---|
| Western Blot (WB) | WB : 1:2000-1:16000 |
| Immunoprecipitation (IP) | IP : 0.5-4.0 ug for 1.0-3.0 mg of total protein lysate |
| Immunohistochemistry (IHC) | IHC : 1:200-1:800 |
| Flow Cytometry (FC) (INTRA) | FC (INTRA) : 0.40 ug per 10^6 cells in a 100 µl suspension |
| It is recommended that this reagent should be titrated in each testing system to obtain optimal results. | |
| Sample-dependent, Check data in validation data gallery. | |
产品信息
10154-2-AP targets Annexin A7 in WB, IHC, IF, FC (Intra), IP, ELISA applications and shows reactivity with human, mouse, rat samples.
| 经测试应用 | WB, IHC, FC (Intra), IP, ELISA Application Description |
| 文献引用应用 | WB, IHC, IF, IP |
| 经测试反应性 | human, mouse, rat |
| 文献引用反应性 | human, mouse, rat |
| 免疫原 |
CatNo: Ag0206 Product name: Recombinant human ANXA7 protein Source: e coli.-derived, PGEX-4T Tag: GST Domain: 236-466 aa of BC002632 Sequence: PTYYDAWSLRKAMQGAGTQERVLIEILCTRTNQEIREIVRCYQSEFGRDLEKDIRSDTSGHFERLLVSMCQGNRDENQSINHQMAQEDAQRLYQAGEGRLGTDESCFNMILATRSFPQLRATMEAYSRMANRDLLSSVSREFSGYVESGLKTILQCALNRPAFFAERLYYAMKGAGTDDSTLVRIVVTRSEIDLVQIKQMFAQMYQKTLGTMIAGDTSGDYRRLLLAIVGQ 种属同源性预测 |
| 宿主/亚型 | Rabbit / IgG |
| 抗体类别 | Polyclonal |
| 产品类型 | Antibody |
| 全称 | annexin A7 |
| 别名 | ANXA7, Annexin 7, Annexin VII, Annexin-7, ANX7 |
| 计算分子量 | 50 kDa |
| 观测分子量 | 47 kDa, 51 kDa |
| GenBank蛋白编号 | BC002632 |
| 基因名称 | Annexin A7 |
| Gene ID (NCBI) | 310 |
| RRID | AB_2227386 |
| 偶联类型 | Unconjugated |
| 形式 | Liquid |
| 纯化方式 | Antigen affinity purification |
| UNIPROT ID | P20073 |
| 储存缓冲液 | PBS with 0.02% sodium azide and 50% glycerol, pH 7.3. |
| 储存条件 | Store at -20°C. Stable for one year after shipment. Aliquoting is unnecessary for -20oC storage. |
背景介绍
Annexin A7 (Anx7) belongs to a ubiquitous and relatively abundant family of Ca2+-dependent membrane-binding proteins, which are thought to be involved in multiple aspects of cell biology including membrane trafficking, mediation of cell-matrix interactions and membrane organization within cells. Anx7, migrated as a 50 kDa protein in SDS-PAGE, has been proposed to function in the fusion of vesicles, acting as a Ca++ channel and as Ca++ -activated GTPase, thus inducing Ca++ /GTP-dependent secretory events.
实验方案
| Product Specific Protocols | |
|---|---|
| FC protocol for Annexin A7 antibody 10154-2-AP | Download protocol |
| IHC protocol for Annexin A7 antibody 10154-2-AP | Download protocol |
| IP protocol for Annexin A7 antibody 10154-2-AP | Download protocol |
| WB protocol for Annexin A7 antibody 10154-2-AP | Download protocol |
| Standard Protocols | |
|---|---|
| Click here to view our Standard Protocols |
发表文章
| Species | Application | Title |
|---|---|---|
Matrix Biol Proteome-wide and matrisome-specific atlas of the human ovary computes fertility biomarker candidates and open the way for precision oncofertility. | ||
Am J Physiol Endocrinol Metab Differential expression of the regulated catecholamine secretory pathway in different hereditary forms of pheochromocytoma. | ||
J Proteome Res Quantitative Mitochondrial Proteomics Reveals ANXA7 as a Crucial Factor in Mitophagy.
| ||
Am J Transl Res Downregulation of annexin A7 decreases proliferation, migration, and invasion of gastric cancer cells by reducing matrix metalloproteinase 1 and 9 expression. | ||
Biofactors Ezrin as a possible diagnostic and/or prognostic biomarker in mice lymphatic metastatic hepatocellular carcinoma in vivo. | ||
FEBS Lett Annexins A1 and A2 are recruited to larger lysosomal injuries independently of ESCRTs to promote repair. |



















