验证数据展示
经过测试的应用
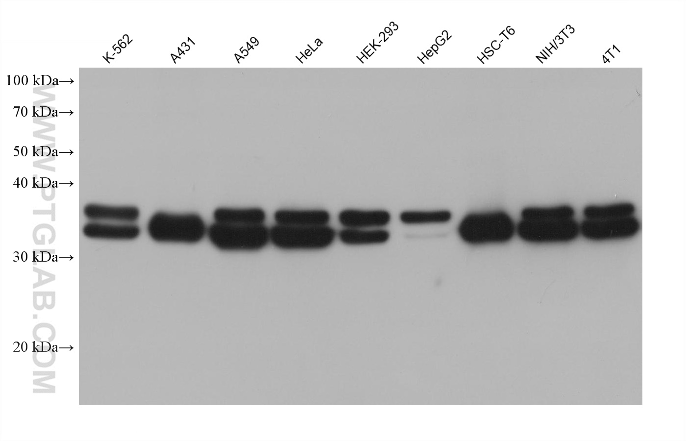
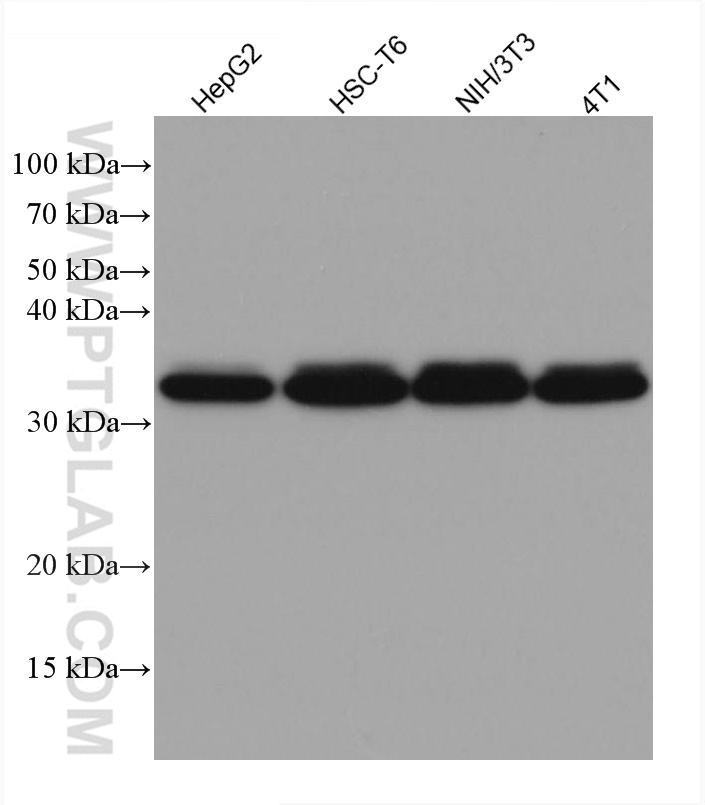
| Positive WB detected in | K-562 cells, MCF-7 cells, human brain tissue, HepG2 cells, HEK-293 cells, A549 cells, HeLa cells, A431 cells, HSC-T6 cells, NIH/3T3 cells, 4T1 cells |
| Positive IHC detected in | human breast cancer tissue, human skin cancer tissue Note: suggested antigen retrieval with TE buffer pH 9.0; (*) Alternatively, antigen retrieval may be performed with citrate buffer pH 6.0 |
| Positive IF/ICC detected in | T-47D cells, HeLa cells |
| Positive FC (Intra) detected in | HeLa cells |
推荐稀释比
| 应用 | 推荐稀释比 |
|---|---|
| Western Blot (WB) | WB : 1:5000-1:50000 |
| Immunohistochemistry (IHC) | IHC : 1:5000-1:20000 |
| Immunofluorescence (IF)/ICC | IF/ICC : 1:250-1:1000 |
| Flow Cytometry (FC) (INTRA) | FC (INTRA) : 0.25 ug per 10^6 cells in a 100 µl suspension |
| It is recommended that this reagent should be titrated in each testing system to obtain optimal results. | |
| Sample-dependent, Check data in validation data gallery. | |
产品信息
66035-1-Ig targets Annexin A2 in WB, IHC, IF/ICC, FC (Intra), IP, CoIP, ELISA applications and shows reactivity with human, mouse, rat samples.
| 经测试应用 | WB, IHC, IF/ICC, FC (Intra), ELISA Application Description |
| 文献引用应用 | WB, IHC, IF, IP, CoIP |
| 经测试反应性 | human, mouse, rat |
| 文献引用反应性 | human, mouse, rat |
| 免疫原 |
CatNo: Ag16654 Product name: Recombinant human Annexin A2 protein Source: e coli.-derived, PET28a Tag: 6*His Domain: 1-339 aa of BC016774 Sequence: MSTVHEILCKLSLEGDHSTPPSAYGSVKAYTNFDAERDALNIETAIKTKGVDEVTIVNILTNRSNAQRQDIAFAYQRRTKKELASALKSALSGHLETVILGLLKTPAQYDASELKASMKGLGTDEDSLIEIICSRTNQELQEINRVYKEMYKTDLEKDIISDTSGDFRKLMVALAKGRRAEDGSVIDYELIDQDARDLYDAGVKRKGTDVPKWISIMTERSVPHLQKVFDRYKSYSPYDMLESIRKEVKGDLENAFLNLVQCIQNKPLYFADRLYDSMKGKGTRDKVLIRIMVSRSEVDMLKIRSEFKRKYGKSLYYYIQQDTKGDYQKALLYLCGGDD 种属同源性预测 |
| 宿主/亚型 | Mouse / IgG2a |
| 抗体类别 | Monoclonal |
| 产品类型 | Antibody |
| 全称 | annexin A2 |
| 别名 | ANXA2, ANX2L4, ANX2, Annexin-2, Annexin II |
| 计算分子量 | 339 aa, 39 kDa |
| 观测分子量 | 39 kDa |
| GenBank蛋白编号 | BC016774 |
| 基因名称 | Annexin A2 |
| Gene ID (NCBI) | 302 |
| ENSEMBL Gene ID | ENSG00000182718 |
| RRID | AB_11045659 |
| 偶联类型 | Unconjugated |
| 形式 | Liquid |
| 纯化方式 | Protein A purification |
| UNIPROT ID | P07355 |
| 储存缓冲液 | PBS with 0.02% sodium azide and 50% glycerol, pH 7.3. |
| 储存条件 | Store at -20°C. Stable for one year after shipment. Aliquoting is unnecessary for -20oC storage. |
背景介绍
Annexin A2 (ANXA2), also named Annexin-2 or Lipocortin II, is a Ca2+ binding protein that is up-regulated in virally transformed cell lines and human tumors. This calcium-regulated membrane-binding protein, whose affinity for calcium is greatly enhanced by anionic phospholipids, may cross-link plasma membrane phospholipids with actin and the cytoskeleton and be involved with exocytosis. Heat-stress response may also involve Annexin-2.
实验方案
| Product Specific Protocols | |
|---|---|
| FC protocol for Annexin A2 antibody 66035-1-Ig | Download protocol |
| IF protocol for Annexin A2 antibody 66035-1-Ig | Download protocol |
| IHC protocol for Annexin A2 antibody 66035-1-Ig | Download protocol |
| WB protocol for Annexin A2 antibody 66035-1-Ig | Download protocol |
| Standard Protocols | |
|---|---|
| Click here to view our Standard Protocols |
发表文章
| Species | Application | Title |
|---|---|---|
Oncogene Hypoxia-induced circADAMTS6 in a TDP43-dependent manner accelerates glioblastoma progression via ANXA2/ NF-κB pathway
| ||
J Exp Clin Cancer Res Expression and clinical significance of annexin A2 and human epididymis protein 4 in endometrial carcinoma. | ||
Biomed Pharmacother Chlorogenic acid inhibits the proliferation of human lung cancer A549 cell lines by targeting annexin A2 in vitro and in vivo. | ||
Biosci Rep Role of Annexin A2 isoform2 on the aggregative growth of dermal papillae cells.
| ||
Analyst An iTRAQ based quantitative proteomic strategy to explore novel secreted proteins in metastatic hepatocellular carcinoma cell lines. |












