WB Figures
WB analysis of HEK-293 using 11256-1-AP
WB result of Annexin A2 (11256-1-AP, 1:1000) with si-Control and si-Annexin A2 transfected HEK293 cells.
WB analysis using 11256-1-AP
Various lysates were subjected to SDS PAGE followed by western blot with 11256-1-AP (Annexin A2 antibody) at dilution of 1:20000 incubated at room temperature for 1.5 hours.
WB analysis using 11256-1-AP
Various lysates were subjected to SDS PAGE followed by western blot with 11256-1-AP (Annexin A2 antibody) at dilution of 1:20000 incubated at room temperature for 1.5 hours.
WB analysis using 11256-1-AP
Various lysates were subjected to SDS PAGE followed by western blot with 11256-1-AP (Annexin A2 antibody) at dilution of 1:100000 incubated at room temperature for 1.5 hours.
WB analysis using 11256-1-AP
Various lysates were subjected to SDS PAGE followed by western blot with 11256-1-AP (Annexin A2 antibody) at dilution of 1:3000 incubated at room temperature for 1.5 hours.
WB analysis of mouse placenta using 11256-1-AP
mouse placenta tissue were subjected to SDS PAGE followed by western blot with 11256-1-AP (Annexin A2 Antibody) at dilution of 1:1000 incubated at room temperature for 1.5 hours.
WB analysis of rat uterus using 11256-1-AP
rat uterus tissue were subjected to SDS PAGE followed by western blot with 11256-1-AP (Annexin A2 Antibody) at dilution of 1:1000 incubated at room temperature for 1.5 hours.
WB analysis of THP-1 using 11256-1-AP
WB result of Annexin A2 antibody (11256-1-AP; 1:20000; room temperature for 1.5 hours) with wild-type and sg-Annexin A2 transfected THP-1 cells.
IHC staining of human bowen disease using 11256-1-AP
Immunohistochemical analysis of paraffin-embedded human bowen disease slide using 11256-1-AP (Annexin A2 antibody) at dilution of 1:600 (under 20x lens). Heat mediated antigen retrieval with Tris-EDTA buffer (pH 9.0).
IHC staining of human bowen disease using 11256-1-AP
Immunohistochemical analysis of paraffin-embedded human bowen disease slide using 11256-1-AP (Annexin A2 antibody) at dilution of 1:600 (under 20x lens). Heat mediated antigen retrieval with Tris-EDTA buffer (pH 9.0).
IHC staining of human breast cancer using 11256-1-AP
Immunohistochemical analysis of paraffin-embedded human breast cancer tissue slide using 11256-1-AP (Annexin A2 antibody) at dilution of 1:400 (under 10x lens). Heat mediated antigen retrieval with Tris-EDTA buffer (pH 9.0).
IHC staining of human breast cancer using 11256-1-AP
Immunohistochemical analysis of paraffin-embedded human breast cancer tissue slide using 11256-1-AP (Annexin A2 antibody) at dilution of 1:400 (under 40x lens). Heat mediated antigen retrieval with Tris-EDTA buffer (pH 9.0).
IHC staining of human breast cancer using 11256-1-AP
Immunohistochemical analysis of paraffin-embedded human breast cancer tissue slide using 11256-1-AP (Annexin A2 antibody) at dilution of 1:400 (under 10x lens). Heat mediated antigen retrieval with Tris-EDTA buffer (pH 9.0).
IHC staining of human breast cancer using 11256-1-AP
Immunohistochemical analysis of paraffin-embedded human breast cancer tissue slide using 11256-1-AP (Annexin A2 antibody) at dilution of 1:400 (under 40x lens). Heat mediated antigen retrieval with Tris-EDTA buffer (pH 9.0).
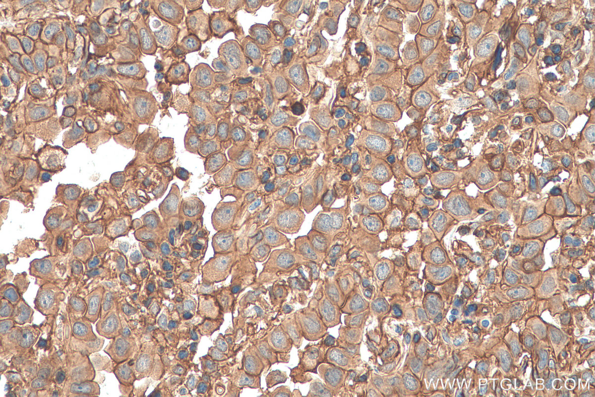
IHC staining of human colon cancer using 11256-1-AP
Immunohistochemical analysis of paraffin-embedded human colon cancer tissue slide using 11256-1-AP (Annexin A2 antibody) at dilution of 1:400 (under 10x lens). Heat mediated antigen retrieval with Tris-EDTA buffer (pH 9.0).
IHC staining of human colon cancer using 11256-1-AP
Immunohistochemical analysis of paraffin-embedded human colon cancer tissue slide using 11256-1-AP (Annexin A2 antibody) at dilution of 1:400 (under 40x lens). Heat mediated antigen retrieval with Tris-EDTA buffer (pH 9.0).
IHC staining of human hepatocirrhosis using 11256-1-AP
Immunohistochemical analysis of paraffin-embedded human hepatocirrhosis tissue slide using 11256-1-AP (Annexin A2 antibody) at dilution of 1:200 (under 10x lens). Heat mediated antigen retrieval with Tris-EDTA buffer (pH 9.0).
IHC staining of human hepatocirrhosis using 11256-1-AP
Immunohistochemical analysis of paraffin-embedded human hepatocirrhosis tissue slide using 11256-1-AP (Annexin A2 antibody) at dilution of 1:200 (under 40x lens). Heat mediated antigen retrieval with Tris-EDTA buffer (pH 9.0).
IHC staining of human liver using 11256-1-AP
Immunohistochemical analysis of paraffin-embedded human liver tissue slide using 11256-1-AP (Annexin A2 Antibody) at dilution of 1:200 (under 10x lens).
IHC staining of human liver using 11256-1-AP
Immunohistochemical analysis of paraffin-embedded human liver tissue slide using 11256-1-AP (Annexin A2 Antibody) at dilution of 1:200 (under 40x lens).
IHC staining of human lung cancer using 11256-1-AP
Immunohistochemical analysis of paraffin-embedded human lung cancer tissue slide using 11256-1-AP (Annexin A2 antibody) at dilution of 1:600 (under 40x lens). Heat mediated antigen retrieval with Tris-EDTA buffer (pH 9.0).
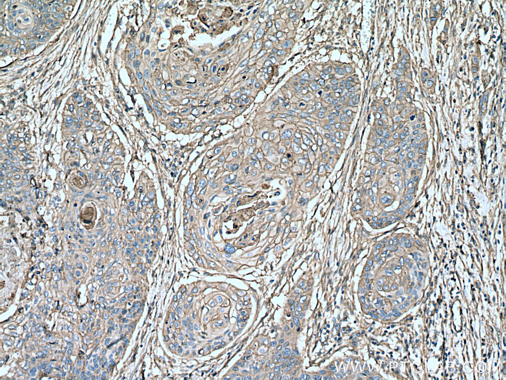
IHC staining of human oesophagus cancer using 11256-1-AP
Immunohistochemical analysis of paraffin-embedded human oesophagus cancer tissue slide using 11256-1-AP (Annexin A2 antibody) at dilution of 1:400 (under 10x lens). Heat mediated antigen retrieval with Tris-EDTA buffer (pH 9.0).
IHC staining of human oesophagus cancer using 11256-1-AP
Immunohistochemical analysis of paraffin-embedded human oesophagus cancer tissue slide using 11256-1-AP (Annexin A2 antibody) at dilution of 1:400 (under 40x lens). Heat mediated antigen retrieval with Tris-EDTA buffer (pH 9.0).
IHC staining of human prostate cancer using 11256-1-AP
Immunohistochemical analysis of paraffin-embedded human prostate cancer tissue slide using 11256-1-AP (Annexin A2 antibody) at dilution of 1:400 (under 10x lens). Heat mediated antigen retrieval with Tris-EDTA buffer (pH 9.0).
IHC staining of human prostate cancer using 11256-1-AP
Immunohistochemical analysis of paraffin-embedded human prostate cancer tissue slide using 11256-1-AP (Annexin A2 antibody) at dilution of 1:400 (under 40x lens). Heat mediated antigen retrieval with Tris-EDTA buffer (pH 9.0).
IHC staining of mouse kidney using 11256-1-AP
Immunohistochemical analysis of paraffin-embedded mouse kidney tissue slide using 11256-1-AP (Annexin A2 antibody) at dilution of 1:200 (under 40x lens). Heat mediated antigen retrieval with Tris-EDTA buffer (pH 9.0).
IHC staining of mouse liver using 11256-1-AP
Immunohistochemical analysis of paraffin-embedded mouse liver tissue slide using 11256-1-AP (Annexin A2 antibody) at dilution of 1:200 (under 40x lens). Heat mediated antigen retrieval with Tris-EDTA buffer (pH 9.0).
IHC staining of mouse liver using 11256-1-AP
Immunohistochemical analysis of paraffin-embedded mouse liver tissue slide using 11256-1-AP (Annexin A2 antibody) at dilution of 1:1000 (under 10x lens). Heat mediated antigen retrieval with Tris-EDTA buffer (pH 9.0).
IHC staining of mouse liver using 11256-1-AP
Immunohistochemical analysis of paraffin-embedded mouse liver tissue slide using 11256-1-AP (Annexin A2 antibody) at dilution of 1:1000 (under 40x lens). Heat mediated antigen retrieval with Tris-EDTA buffer (pH 9.0).
IHC staining of mouse placenta using 11256-1-AP
Immunohistochemical analysis of paraffin-embedded mouse placenta tissue slide using 11256-1-AP (Annexin A2 antibody) at dilution of 1:200 (under 40x lens). Heat mediated antigen retrieval with Tris-EDTA buffer (pH 9.0).
IHC staining of mouse placenta using 11256-1-AP
Immunohistochemical analysis of paraffin-embedded mouse placenta tissue slide using 11256-1-AP (Annexin A2 antibody) at dilution of 1:1000 (under 10x lens). Heat mediated antigen retrieval with Tris-EDTA buffer (pH 9.0).
IHC staining of mouse placenta using 11256-1-AP
Immunohistochemical analysis of paraffin-embedded mouse placenta tissue slide using 11256-1-AP (Annexin A2 antibody) at dilution of 1:1000 (under 40x lens). Heat mediated antigen retrieval with Tris-EDTA buffer (pH 9.0).
IF/ICC Figures
IF Staining of HeLa using 11256-1-AP
Immunofluorescent analysis of (-20°C Methanol) fixed HeLa cells using Annexin A2 antibody (11256-1-AP) at dilution of 1:200 and CoraLite®488-Conjugated AffiniPure Goat Anti-Rabbit IgG(H+L).
IF Staining of HeLa using 11256-1-AP
Immunofluorescent analysis of (-20°C Methanol) fixed HeLa cells using Annexin A2 antibody (11256-1-AP) at dilution of 1:200 and CoraLite®488-Conjugated AffiniPure Goat Anti-Rabbit IgG(H+L).
IF Staining of HeLa using 11256-1-AP
Immunofluorescent analysis of (-20°C Ethanol) fixed HeLa cells using Annexin A2 antibody (11256-1-AP) at dilution of 1:200 and CoraLite®594-Conjugated Goat Anti-Rabbit IgG(H+L) (SA00013-4).
IF Staining of MCF-7 using 11256-1-AP
Immunofluorescent analysis of (-20°C Methanol) fixed MCF-7 cells using Annexin A2 antibody (11256-1-AP) at dilution of 1:200 and CoraLite®488-Conjugated Goat Anti-Rabbit IgG(H+L) (SA00013-2).
IF Staining of MCF-7 using 11256-1-AP
Immunofluorescent analysis of (-20°C Ethanol) fixed MCF-7 cells using 11256-1-AP (Annexin A2 antibody) at dilution of 1:100 and CoraLite488-Conjugated AffiniPure Goat Anti-Rabbit IgG(H+L).
IF Staining of MCF-7 using 11256-1-AP
Immunofluorescent analysis of (-20°C Ethanol) fixed MCF-7 cells using Annexin A2 antibody (11256-1-AP) at dilution of 1:200 and CoraLite®488-Conjugated AffiniPure Goat Anti-Rabbit IgG(H+L).