验证数据展示
经过测试的应用
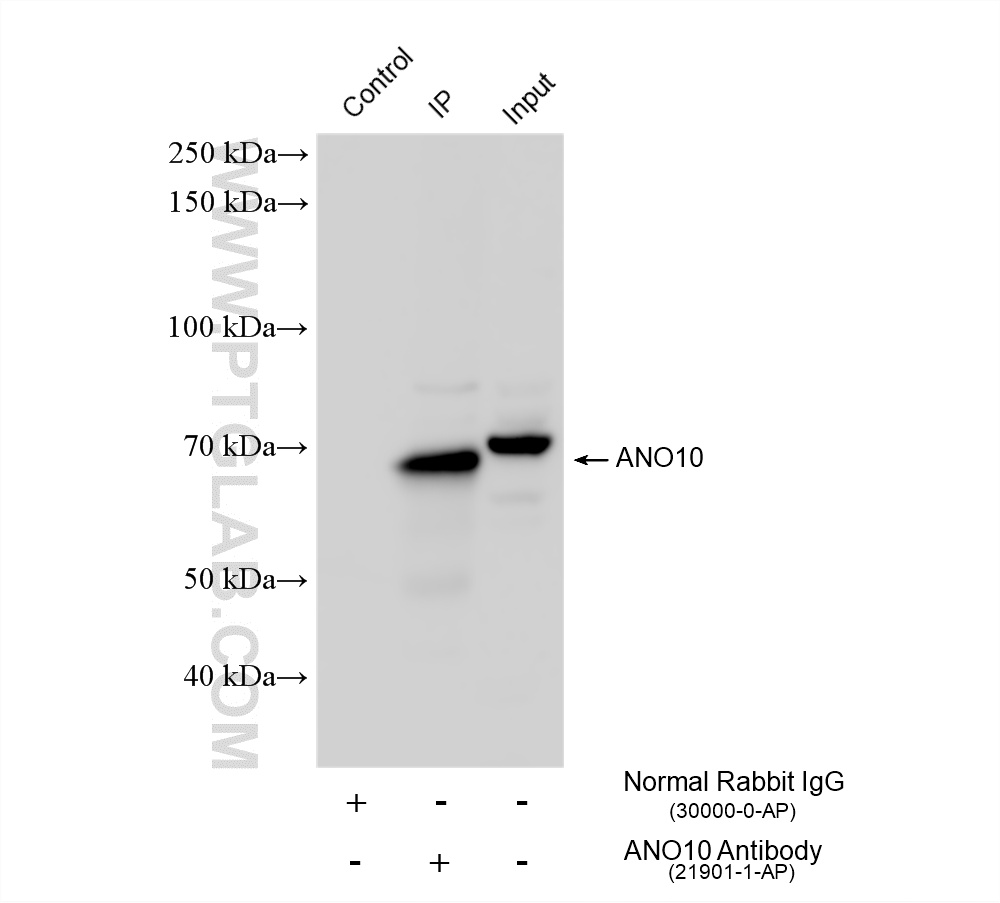
| Positive WB detected in | mouse brain tissue |
| Positive IP detected in | mouse brain tissue |
| Positive IHC detected in | human testis tissue Note: suggested antigen retrieval with TE buffer pH 9.0; (*) Alternatively, antigen retrieval may be performed with citrate buffer pH 6.0 |
推荐稀释比
| 应用 | 推荐稀释比 |
|---|---|
| Western Blot (WB) | WB : 1:1000-1:4000 |
| Immunoprecipitation (IP) | IP : 0.5-4.0 ug for 1.0-3.0 mg of total protein lysate |
| Immunohistochemistry (IHC) | IHC : 1:50-1:500 |
| It is recommended that this reagent should be titrated in each testing system to obtain optimal results. | |
| Sample-dependent, Check data in validation data gallery. | |
发表文章中的应用
| IHC | See 1 publications below |
产品信息
21901-1-AP targets ANO10 in WB, IHC, IP, ELISA applications and shows reactivity with human, mouse samples.
| 经测试应用 | WB, IHC, IP, ELISA Application Description |
| 文献引用应用 | IHC |
| 经测试反应性 | human, mouse |
| 文献引用反应性 | human |
| 免疫原 |
CatNo: Ag13983 Product name: Recombinant human ANO10 protein Source: e coli.-derived, PET28a Tag: 6*His Domain: 1-119 aa of BC038855 Sequence: MLLGAEAVGLVKECNDNTMRAFTYRTRQNFKGFDDNNDDFLTMAECQFIIKHELENLRAKDEKMIPGYPQAKLYPGKSLLRRLLTSGIVIQVFPLHDSEALKKLEDTWYTRFALKYQPI 种属同源性预测 |
| 宿主/亚型 | Rabbit / IgG |
| 抗体类别 | Polyclonal |
| 产品类型 | Antibody |
| 全称 | anoctamin 10 |
| 别名 | anoctamin 10, Anoctamin-10, TMEM16K, Transmembrane protein 16K |
| 计算分子量 | 660 aa, 76 kDa |
| 观测分子量 | 68 kDa |
| GenBank蛋白编号 | BC038855 |
| 基因名称 | ANO10 |
| Gene ID (NCBI) | 55129 |
| RRID | AB_2878940 |
| 偶联类型 | Unconjugated |
| 形式 | Liquid |
| 纯化方式 | Antigen affinity purification |
| UNIPROT ID | Q9NW15 |
| 储存缓冲液 | PBS with 0.02% sodium azide and 50% glycerol, pH 7.3. |
| 储存条件 | Store at -20°C. Stable for one year after shipment. Aliquoting is unnecessary for -20oC storage. |
背景介绍
ANO10, also named as TMEM16K, is 660 amino acid protein, which belongs to the anoctamin family. ANO10 does not exhibit calcium-activated chloride channel activity and can inhibit the activity of ANO1. ANO10 is Highly expressed in the brain. ANO10 may have an association with Spinocerebellar ataxia, autosomal recessive, 10.
实验方案
| Product Specific Protocols | |
|---|---|
| IHC protocol for ANO10 antibody 21901-1-AP | Download protocol |
| IP protocol for ANO10 antibody 21901-1-AP | Download protocol |
| WB protocol for ANO10 antibody 21901-1-AP | Download protocol |
| Standard Protocols | |
|---|---|
| Click here to view our Standard Protocols |



