验证数据展示
经过测试的应用
| Positive WB detected in | BxPC-3 cells, COLO 320 cells, HeLa cells, HepG2 cells, MCF-7 cells |
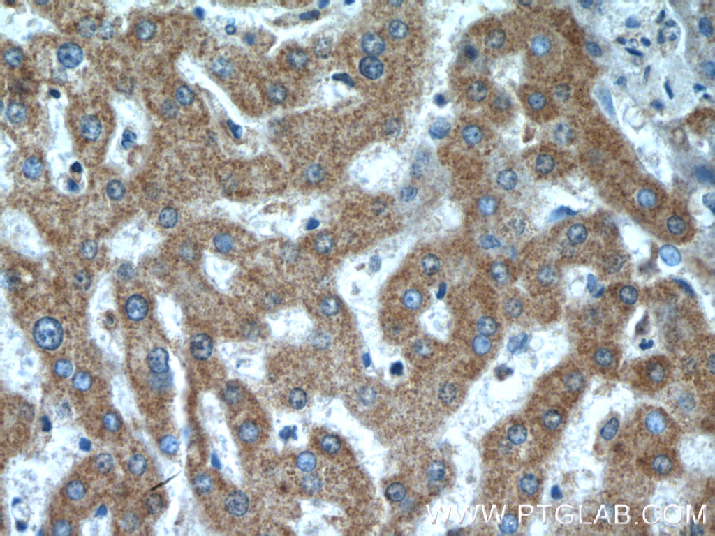
| Positive IHC detected in | human liver tissue Note: suggested antigen retrieval with TE buffer pH 9.0; (*) Alternatively, antigen retrieval may be performed with citrate buffer pH 6.0 |
推荐稀释比
| 应用 | 推荐稀释比 |
|---|---|
| Western Blot (WB) | WB : 1:1000-1:4000 |
| Immunohistochemistry (IHC) | IHC : 1:50-1:500 |
| It is recommended that this reagent should be titrated in each testing system to obtain optimal results. | |
| Sample-dependent, Check data in validation data gallery. | |
产品信息
20447-1-AP targets ANKZF1 in WB, IHC, IF, ELISA applications and shows reactivity with human samples.
| 经测试应用 | WB, IHC, ELISA Application Description |
| 文献引用应用 | WB, IHC, IF |
| 经测试反应性 | human |
| 文献引用反应性 | human |
| 免疫原 |
CatNo: Ag14285 Product name: Recombinant human ANKZF1 protein Source: e coli.-derived, PGEX-4T Tag: GST Domain: 377-726 aa of BC000238 Sequence: TEEEIRKICRDEKEALGQNEESPKQGSGSEGEDGFQVELELVELTVGTLDLCESEVLPKRRRRKRNKKEKSRDQEAGAHRTLLQQTQEEEPSTQSSQAVAAPLGPLLDEAKAPGQPELWNALLAACRAGDVGVLKLQLAPSPADPRVLSLLSAPLGSGGFTLLHAAAAAGRGSVVRLLLEAGADPTVQDSRARPPYTVAADKSTRNEFRRFMEKNPDAYDYNKAQVPGPLTPEMEARQATRKREQKAARRQREEQQQRQQEQEEREREEQRRFAALSDREKRALAAERRLAAQLGAPTSPIPDSAIVNTRRCWSCGASLQGLTPFHYLDFSFCSTRCLQDHRRQAGRPSS 种属同源性预测 |
| 宿主/亚型 | Rabbit / IgG |
| 抗体类别 | Polyclonal |
| 产品类型 | Antibody |
| 全称 | ankyrin repeat and zinc finger domain containing 1 |
| 别名 | ANKZF1, Zinc finger protein 744, ZNF744 |
| 计算分子量 | 726 aa, 81 kDa |
| 观测分子量 | 81 kDa |
| GenBank蛋白编号 | BC000238 |
| 基因名称 | ANKZF1 |
| Gene ID (NCBI) | 55139 |
| RRID | AB_2878688 |
| 偶联类型 | Unconjugated |
| 形式 | Liquid |
| 纯化方式 | Antigen affinity purification |
| UNIPROT ID | Q9H8Y5 |
| 储存缓冲液 | PBS with 0.02% sodium azide and 50% glycerol, pH 7.3. |
| 储存条件 | Store at -20°C. Stable for one year after shipment. Aliquoting is unnecessary for -20oC storage. |
实验方案
| Product Specific Protocols | |
|---|---|
| IHC protocol for ANKZF1 antibody 20447-1-AP | Download protocol |
| WB protocol for ANKZF1 antibody 20447-1-AP | Download protocol |
| Standard Protocols | |
|---|---|
| Click here to view our Standard Protocols |
发表文章
| Species | Application | Title |
|---|---|---|
Nat Commun Stalled translation by mitochondrial stress upregulates a CNOT4-ZNF598 ribosomal quality control pathway important for tissue homeostasis | ||
Acta Neuropathol Commun Inefficient quality control of ribosome stalling during APP synthesis generates CAT-tailed species that precipitate hallmarks of Alzheimer's disease | ||
bioRxiv Ribosomal quality control factors inhibit repeat-associated non-AUG translation from GC-rich repeats | ||
Nucleic Acids Res Ribosomal quality control factors inhibit repeat-associated non-AUG translation from GC-rich repeats | ||
Oncol Rep Overexpression of ZNF169 promotes the growth and proliferation of colorectal cancer cells via the upregulation of ANKZF1 | ||
EMBO J The coordinated action of UFMylation and the RQC pathways clears arrested polypeptides at the ER.
|








