验证数据展示
经过测试的应用
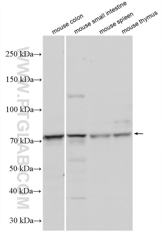
| Positive WB detected in | HeLa cells, L02 cells, mouse spleen tissue, mouse small intestine tissue, mouse thymus tissue |
| Positive IHC detected in | human cervical cancer tissue Note: suggested antigen retrieval with TE buffer pH 9.0; (*) Alternatively, antigen retrieval may be performed with citrate buffer pH 6.0 |
| Positive IF/ICC detected in | HeLa cells |
推荐稀释比
| 应用 | 推荐稀释比 |
|---|---|
| Western Blot (WB) | WB : 1:500-1:1000 |
| Immunohistochemistry (IHC) | IHC : 1:20-1:200 |
| Immunofluorescence (IF)/ICC | IF/ICC : 1:20-1:200 |
| It is recommended that this reagent should be titrated in each testing system to obtain optimal results. | |
| Sample-dependent, Check data in validation data gallery. | |
产品信息
24203-1-AP targets ANKRD55 in WB, IHC, IF/ICC, ELISA applications and shows reactivity with human samples.
| 经测试应用 | WB, IHC, IF/ICC, ELISA Application Description |
| 经测试反应性 | human |
| 免疫原 |
CatNo: Ag21271 Product name: Recombinant human ANKRD55 protein Source: e coli.-derived, PET30a Tag: 6*His Domain: 1-326 aa of BC106914 Sequence: MDSNLRDINESTPLAYALYCGHTACVKLLSQESRTEPTRPPPSQSSRPQKKERRFNVLNQIFCKNKKEEQRAHQKDPSRDRYREEDTSEVNDIITTFDSIVGTNCQEQPGDQVAMVEFKKKTSDNSKYLLPEKKPLARKGLPPIRTQSLPPITLGNNFLTASHRATSHAGLSSAPHHMAQRSQKSRSEQDLLNNRTGCQMLLDNPWKSDSNQVFSYKVWTVSSSDKLLDRLLSVRPGHQEVSVPPHLRHLHNPSSGQNFQHLSPNRHKIRDLPFTRNNLAPLPDQKFLSGEPLRTNRVLPAIPSQRRHSTAAEESEHSANPTSDEN 种属同源性预测 |
| 宿主/亚型 | Rabbit / IgG |
| 抗体类别 | Polyclonal |
| 产品类型 | Antibody |
| 全称 | ankyrin repeat domain 55 |
| 别名 | Ankyrin repeat domain-containing protein 55 |
| 计算分子量 | 614 aa, 68 kDa |
| 观测分子量 | 68 kDa |
| GenBank蛋白编号 | BC106914 |
| 基因名称 | ANKRD55 |
| Gene ID (NCBI) | 79722 |
| RRID | AB_2879456 |
| 偶联类型 | Unconjugated |
| 形式 | Liquid |
| 纯化方式 | Antigen affinity purification |
| UNIPROT ID | Q3KP44 |
| 储存缓冲液 | PBS with 0.02% sodium azide and 50% glycerol, pH 7.3. |
| 储存条件 | Store at -20°C. Stable for one year after shipment. Aliquoting is unnecessary for -20oC storage. |
背景介绍
ANKRD55 also named as Ankyrin repeat domain containing protein 55 is a 614 amino acid protein, which contains 9 ANK repeat. ANKRD55 may exist three alternatively spliced isoforms and belongs to ankyrin family. The function of ANKRD55 is still non-known and need to be further studied. ANKRD55 is a critical regulator of TCR signaling and a key regulator of T cell inflammation in multiple sclerosis (PMID: 41090353).
实验方案
| Product Specific Protocols | |
|---|---|
| IF protocol for ANKRD55 antibody 24203-1-AP | Download protocol |
| IHC protocol for ANKRD55 antibody 24203-1-AP | Download protocol |
| WB protocol for ANKRD55 antibody 24203-1-AP | Download protocol |
| Standard Protocols | |
|---|---|
| Click here to view our Standard Protocols |





