验证数据展示
经过测试的应用
| Positive WB detected in | HEK-293 cells, human skeletal muscle tissue, mouse skeletal muscle tissue |
| Positive IP detected in | mouse skeletal muscle tissue |
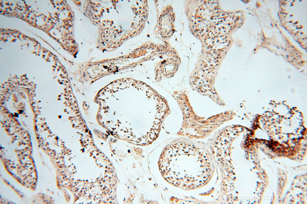
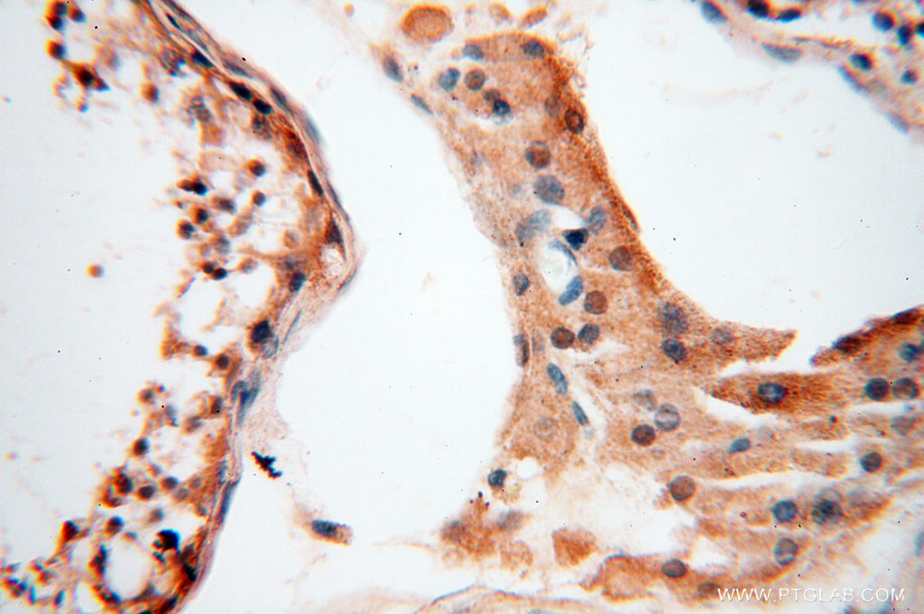
| Positive IHC detected in | human kidney tissue, human lung tissue, human skeletal muscle tissue, human testis tissue, human brain tissue, human skin tissue Note: suggested antigen retrieval with TE buffer pH 9.0; (*) Alternatively, antigen retrieval may be performed with citrate buffer pH 6.0 |
| Positive IF/ICC detected in | HeLa cells |
推荐稀释比
| 应用 | 推荐稀释比 |
|---|---|
| Western Blot (WB) | WB : 1:1000-1:4000 |
| Immunoprecipitation (IP) | IP : 0.5-4.0 ug for 1.0-3.0 mg of total protein lysate |
| Immunohistochemistry (IHC) | IHC : 1:20-1:200 |
| Immunofluorescence (IF)/ICC | IF/ICC : 1:50-1:500 |
| It is recommended that this reagent should be titrated in each testing system to obtain optimal results. | |
| Sample-dependent, Check data in validation data gallery. | |
产品信息
11821-1-AP targets ANKRD2 in WB, IHC, IF/ICC, IP, ELISA applications and shows reactivity with human, mouse, rat samples.
| 经测试应用 | WB, IHC, IF/ICC, IP, ELISA Application Description |
| 文献引用应用 | WB, IHC, IF |
| 经测试反应性 | human, mouse, rat |
| 文献引用反应性 | human, mouse |
| 免疫原 |
CatNo: Ag2389 Product name: Recombinant human ANKRD2 protein Source: e coli.-derived, PGEX-4T Tag: GST Domain: 1-303 aa of BC020817 Sequence: EAVMDGTMEDSEAVQRATALIEQRLAQEEENEKLRGDARQKLPMDLLVLEDEKHHGAQSAALQKVKGQERVRKTSLDLRREIIDVGGIQNLIELRKKRKQKKRDALAASHEPPPEPEEITGPVDEETFLKAAVEGKMKVIEKFLADGGSADTCDQFRRTALHRASLEGHMEILEKLLDNGATVDFQDRLDCTAMHWACRGGHLEVVKLLQSHGADTNVRDKEGDTALHDAVRLNRYKIIKLLLLHGADMMTKNLAGKTPTDLVQLWQADTRHALEHPEPGAEHNGLEGPNDSGRETPQPVPAQ 种属同源性预测 |
| 宿主/亚型 | Rabbit / IgG |
| 抗体类别 | Polyclonal |
| 产品类型 | Antibody |
| 全称 | ankyrin repeat domain 2 (stretch responsive muscle) |
| 别名 | Ankyrin repeat domain-containing protein 2, ARPP, hArpp |
| 计算分子量 | 37 aa, 2 kDa |
| 观测分子量 | 40 kDa |
| GenBank蛋白编号 | BC020817 |
| 基因名称 | ANKRD2 |
| Gene ID (NCBI) | 26287 |
| RRID | AB_2057858 |
| 偶联类型 | Unconjugated |
| 形式 | Liquid |
| 纯化方式 | Antigen affinity purification |
| UNIPROT ID | Q9GZV1 |
| 储存缓冲液 | PBS with 0.02% sodium azide and 50% glycerol, pH 7.3. |
| 储存条件 | Store at -20°C. Stable for one year after shipment. Aliquoting is unnecessary for -20oC storage. |
背景介绍
ANKRD2 belongs to the conserved muscle ankyrin repeat protein (MARP) family. Expression of MARPs is induced in response to physiologic stress, injury, and hypertrophy. Together with Ankrd1/CARP and DARP, ANKRD2 are members of the MARP mechanosensing proteins that form a complex with titin (N2A)/calpain 3 protease/myopalladin. Ankrd2 is thought to have dual, structural and signaling roles, and could link the elastic I-band region as a stress sensor for transcriptional control in the nucleus
实验方案
| Product Specific Protocols | |
|---|---|
| IF protocol for ANKRD2 antibody 11821-1-AP | Download protocol |
| IHC protocol for ANKRD2 antibody 11821-1-AP | Download protocol |
| IP protocol for ANKRD2 antibody 11821-1-AP | Download protocol |
| WB protocol for ANKRD2 antibody 11821-1-AP | Download protocol |
| Standard Protocols | |
|---|---|
| Click here to view our Standard Protocols |
发表文章
| Species | Application | Title |
|---|---|---|
PLoS BIOLOGY Integrated transcriptomics and epigenomics reveal chamber-specific and species-specific characteristics of human and mouse hearts | ||
Cancers (Basel) Ectopic Expression of Ankrd2 Affects Proliferation, Motility and Clonogenic Potential of Human Osteosarcoma Cells.
| ||
Mol Biol Cell Ankrd2/ARPP is a novel Akt2 specific substrate and regulates myogenic differentiation upon cellular exposure to H(2)O(2). | ||
Pharmaceuticals (Basel) Metronomic 5-Fluorouracil Delivery Primes Skeletal Muscle for Myopathy but Does Not Cause Cachexia. | ||
J Appl Physiol Early depression of Ankrd2 and Csrp3 mRNAs in the polyribosomal and whole tissue fractions in skeletal muscle with decreased voluntary running. |
















